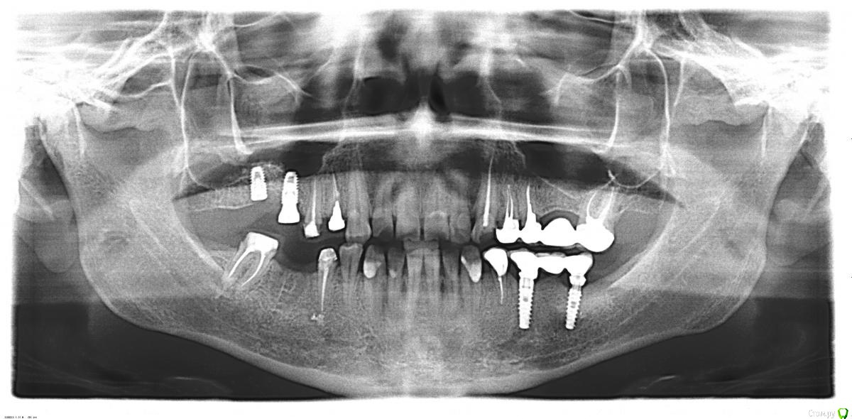
Петр Бриньковский Опубликовано 16 мая, 2016 Поделиться Опубликовано 16 мая, 2016 Пациентка уезжает через месяц далеко, просит отремонтировать весь рот. Снизу слева- импланты установлены 7 лет назад( производителя не знает)- сколы керамики, сверху справа импланты установлены в декабре прошлого года(судя по всему альфа-био), причем один с формирователем. Места для конструкций нет-завышение прикуса, жевательную часть хочет сделать металлокерамику, фронт -виниры Емах. Подскажите советом коллеги, у кого какие мнения по этому поводу Ссылка на комментарий
АнтонТЛТ Опубликовано 16 мая, 2016 Поделиться Опубликовано 16 мая, 2016 (изменено) Это не альфа, это что-то с конусным соединением Изменено 16 мая, 2016 пользователем АнтонТЛТ Ссылка на комментарий
kriokov Опубликовано 16 мая, 2016 Поделиться Опубликовано 16 мая, 2016 Это не альфа, это что-то с конусным соединением+100, верх- или имплантиум или импро ( из этой оперы, по соединению и фдм похоже) Ссылка на комментарий
AndyAndy Опубликовано 17 мая, 2016 Поделиться Опубликовано 17 мая, 2016 В её привычной окклюзии делать работу нельзя, учитывая стираемость, снижение высоты и сколы. Поэтому исходите из того, успеваете ли вы сделать все в ЦС и чтобы пациент адаптировался. Если сделать "на глазок", то сколы с большой вероятностью повторятся, но уже на вашей керамике и винирах и в другой стране. Ссылка на комментарий
chervoncevdaniil Опубликовано 17 мая, 2016 Поделиться Опубликовано 17 мая, 2016 Всегда "радуют" такие пациенты,чем угодно занимаются,а перед отъездом за месяц или за неделю просят все сделать.А если допустить,что пациентке форма не понравится на примерке или еще что то,а на переделку времени нет,что тогда? 3 Ссылка на комментарий
Петр Бриньковский Опубликовано 17 мая, 2016 Автор Поделиться Опубликовано 17 мая, 2016 Верх-Osstem,низ- Mis. Подскажите кто работает на этих системах что необходимо купить для завершения работы(формировали, винты, ключи), абатменты думаю индивидуальные сделать. Ссылка на комментарий
Петр Бриньковский Опубликовано 17 мая, 2016 Автор Поделиться Опубликовано 17 мая, 2016 Всегда "радуют" такие пациенты,чем угодно занимаются,а перед отъездом за месяц или за неделю просят все сделать.А если допустить,что пациентке форма не понравится на примерке или еще что то,а на переделку времени нет,что тогда?А вариантов больше нету))-либо с такими либо без них)) Ссылка на комментарий
chervoncevdaniil Опубликовано 17 мая, 2016 Поделиться Опубликовано 17 мая, 2016 (изменено) Верх-Osstem,низ- Mis. Подскажите кто работает на этих системах что необходимо купить для завершения работы(формировали, винты, ключи), абатменты думаю индивидуальные сделать. вы для одной работы хотите весь расходник на две системы купить?Попросите в Волгограде отвертку и ключ мисовский,город у вас не маленький,может кто с форума одолжит(альфа био тоже подойдет),нужен будет трансфер,аналог(тут скорее всего стандартная платформа,так что для стандартной платформы).Насчет индивидульного абатмента не понимаю,как вы за месяц успеете и профиль прорезования на времянках вывести и в постоянную конструкцию перевсти.,но если хотите заморочиться то в каталоге есть различные варианты для индивид абатментов Изменено 17 мая, 2016 пользователем chervoncevdaniil Ссылка на комментарий
Петр Бриньковский Опубликовано 17 мая, 2016 Автор Поделиться Опубликовано 17 мая, 2016 вы для одной работы хотите весь расходник на две системы купить?Попросите в Волгограде отвертку и ключ мисовский,город у вас не маленький,может кто с форума одолжит(альфа био тоже подойдет),нужен будет трансфер,аналог(тут скорее всего стандартная платформа,так что для стандартной платформы).Насчет индивидульного абатмента не понимаю,как вы за месяц успеете и профиль прорезования на времянках вывести и в постоянную конструкцию перевсти.,но если хотите заморочиться то в каталоге есть различные варианты для индивид абатментовСпасибо! Думаю что-нибудь придумаем) Ссылка на комментарий
Доктор Хаус Опубликовано 17 мая, 2016 Поделиться Опубликовано 17 мая, 2016 Зря вы введетесь на " сделать все за месяц" . 1 Ссылка на комментарий
zubovolok Опубликовано 17 мая, 2016 Поделиться Опубликовано 17 мая, 2016 Всегда "радуют" такие пациенты,чем угодно занимаются,а перед отъездом за месяц или за неделю просят все сделать.А если допустить,что пациентке форма не понравится на примерке или еще что то,а на переделку времени нет,что тогда?Точно, такое чувство что у них годами во рту гранаты взрываются, а доктор должен как сапер безошибочно, быстро и дёшево все исправить! Делайте воскование и хорошие провизорные, вернётся все спокойно сделаете не спеша. Все будут довольны. Ссылка на комментарий
art700 Опубликовано 18 мая, 2016 Поделиться Опубликовано 18 мая, 2016 Зуб за час служит час. Из этой серии. Ссылка на комментарий
gum Опубликовано 18 мая, 2016 Поделиться Опубликовано 18 мая, 2016 +1 за провизорные, можно сделать КАД КАМ времяшки и красиво и точно и быстро и немного заработаете ), по приезду сделаете постоянную работу. Ссылка на комментарий
Evgen-Vozhd Опубликовано 19 мая, 2016 Поделиться Опубликовано 19 мая, 2016 Пациентка уезжает через месяц далеко, просит отремонтировать весь рот. Снизу слева- импланты установлены 7 лет назад( производителя не знает)- сколы керамики, сверху справа импланты установлены в декабре прошлого года(судя по всему альфа-био), причем один с формирователем. Места для конструкций нет-завышение прикуса, жевательную часть хочет сделать металлокерамику, фронт -виниры Емах. Подскажите советом коллеги, у кого какие мнения по этому поводудля начала составить пошаговый план до постоянной конструкции, а потом посмотреть, что из этого успеваете. речь будет идти скорее всего о доустановке имплантатов+ времянки. если уезжает насовсем, за работу не брался бы. Ссылка на комментарий
Рекомендуемые сообщения
Для публикации сообщений создайте учётную запись или авторизуйтесь
Вы должны быть пользователем, чтобы оставить комментарий
Создать аккаунт
Зарегистрируйте новый аккаунт в нашем сообществе. Это очень просто!
Регистрация нового пользователяВойти
Уже есть аккаунт? Войти в систему.
Войти