qwert12345 Опубликовано 15 мая, 2016 Поделиться Опубликовано 15 мая, 2016 Добрый вечер!Почти год назад были установлены две металлокерамические коронки на 6/7 зубы. Уже через три месяца начались проблемы - периодическое воспаление на границе 6 и 7 зубов - в месте их соединения. Сейчас ситуация ухудшилась - воспаление ещё как будто идет из 6-го зуба. Болит. Возможно как-то исправить эту проблему, не снимая коронки? спасибо Ссылка на комментарий
qwert12345 Опубликовано 15 мая, 2016 Автор Поделиться Опубликовано 15 мая, 2016 http://s017.radikal.ru/i428/1605/83/151b87c44a93.jpg Ссылка на комментарий
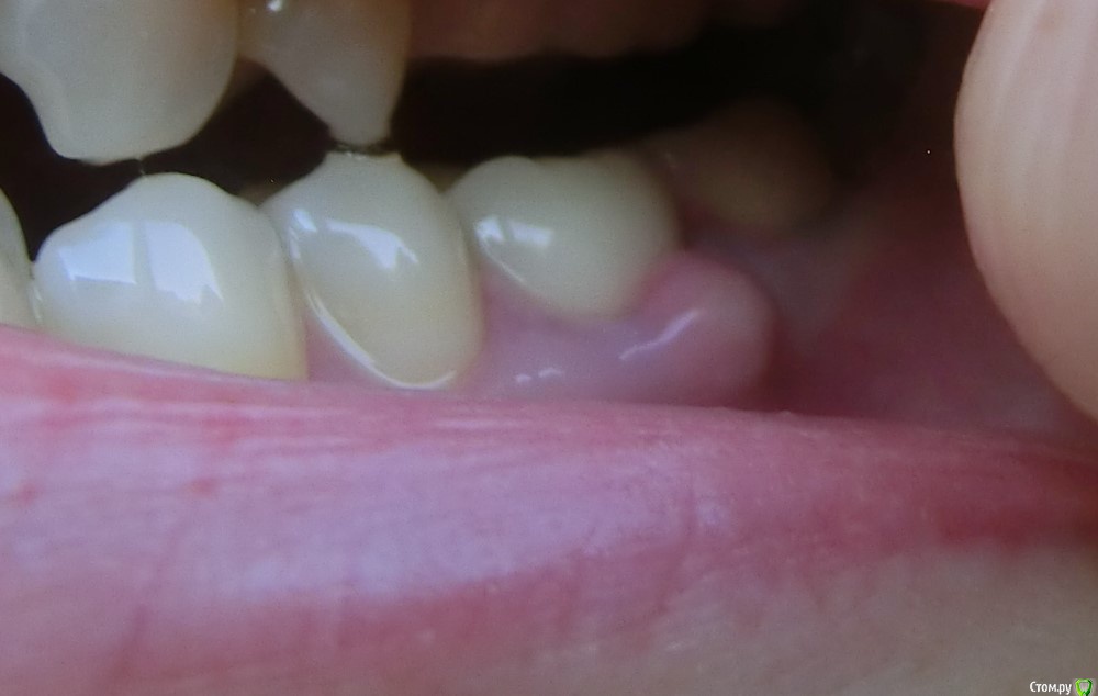
qwert12345 Опубликовано 15 мая, 2016 Автор Поделиться Опубликовано 15 мая, 2016 http://s018.radikal.ru/i504/1605/1a/3bb3104ae429.jpg Ссылка на комментарий
Doc Опубликовано 15 мая, 2016 Поделиться Опубликовано 15 мая, 2016 Фотографий достаточно. Нужен рентгеновский снимок. Ссылка на комментарий
qwert12345 Опубликовано 15 мая, 2016 Автор Поделиться Опубликовано 15 мая, 2016 http://s017.radikal.ru/i422/1605/a4/c2608a10c0d7.jpg слева 7-й зуб справа - 6. фото неверно было загружено.прошу прощения за неудобство. Ссылка на комментарий
art700 Опубликовано 15 мая, 2016 Поделиться Опубликовано 15 мая, 2016 Нельзя. Снимать перелечивать. Протезировать заново одиночными конструкциями 2 Ссылка на комментарий
St. Опубликовано 15 мая, 2016 Поделиться Опубликовано 15 мая, 2016 . Возможно как-то исправить эту проблему, не снимая коронки? Нет. Коронки придется снимать, перелечивать каналы в обоих зубах, полечить десну в этой области и переделывать коронки. В 7 зубе похоже есть перфорация корня. 2 Ссылка на комментарий
Doc Опубликовано 16 мая, 2016 Поделиться Опубликовано 16 мая, 2016 У седьмого вообще целый букет: перфорация, бифуркация, анкерный штифт (правда легко должен выйти, вроде). Со всем этим хозяйством гарантированное лечение вряд ли возможно, но попытка не пытка... 1 Ссылка на комментарий
qwert12345 Опубликовано 18 мая, 2016 Автор Поделиться Опубликовано 18 мая, 2016 (изменено) Доброго утра, уважаемые консульттанты!Спасибо за ответы!Подскажите, пожалуйста, к какому специалисту мне на данный момент необходимо обратиться - к хирургу или ортопеду? http://i042.radikal.ru/1605/d7/415e21dbdf71.jpg Изменено 18 мая, 2016 пользователем qwert12345 Ссылка на комментарий
Гарриевич Опубликовано 18 мая, 2016 Поделиться Опубликовано 18 мая, 2016 К терапевту Ссылка на комментарий
red_butler Опубликовано 18 мая, 2016 Поделиться Опубликовано 18 мая, 2016 К ортопеду а потом хирургу 1 Ссылка на комментарий
qwert12345 Опубликовано 18 мая, 2016 Автор Поделиться Опубликовано 18 мая, 2016 Это свищ??? Ссылка на комментарий
IvanK Опубликовано 19 мая, 2016 Поделиться Опубликовано 19 мая, 2016 Это свищ???это что-то меняет?) Ссылка на комментарий
Гарриевич Опубликовано 19 мая, 2016 Поделиться Опубликовано 19 мая, 2016 К ортопеду а потом хирургуютерапевт сам коронку не снимет?) Ссылка на комментарий
red_butler Опубликовано 19 мая, 2016 Поделиться Опубликовано 19 мая, 2016 ютерапевт сам коронку не снимет?)конечно снимет, но работе год. Как минимум нужно показаться тому кто это делал. + здесь маячит как минимум одно удаление 2 Ссылка на комментарий
Рекомендуемые сообщения