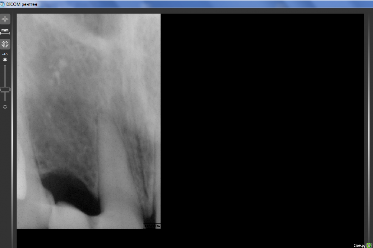
Evgen-Vozhd Опубликовано 12 мая, 2016 Поделиться Опубликовано 12 мая, 2016 (изменено) Пациентка после неудачной имплантации ходит около года с временным адгезивным мостом 13-11. Сегодня на приеме: жалобы на дискомфорт и побеление!!! 11 зуба. что это ?11зуб витальный, на прицельном снимке вроде всё спокойно Изменено 12 мая, 2016 пользователем Evgen-Vozhd Ссылка на комментарий
bugel Опубликовано 12 мая, 2016 Поделиться Опубликовано 12 мая, 2016 Может21 в цвете изменился? Ссылка на комментарий
Evgen-Vozhd Опубликовано 12 мая, 2016 Автор Поделиться Опубликовано 12 мая, 2016 Может21 в цвете изменился?нет, 21 витальный в норме Ссылка на комментарий
gum Опубликовано 12 мая, 2016 Поделиться Опубликовано 12 мая, 2016 Что значит дискомфорт?Дайте снимок посмотретьНа счет побеления пациенты часто не всегда сразу что-либо замечают, возможно так было всегда? Или просто потемнел со временем 12 (енто же композит) и на его фоне 11 белее стал казаться. 1 Ссылка на комментарий
Evgen-Vozhd Опубликовано 13 мая, 2016 Автор Поделиться Опубликовано 13 мая, 2016 Что значит дискомфорт?Дайте снимок посмотретьНа счет побеления пациенты часто не всегда сразу что-либо замечают, возможно так было всегда? Или просто потемнел со временем 12 (енто же композит) и на его фоне 11 белее стал казаться. зуб белее по сравнению со своим "братом" 21-м. он тоже интактный Ссылка на комментарий
Рекомендуемые сообщения
Для публикации сообщений создайте учётную запись или авторизуйтесь
Вы должны быть пользователем, чтобы оставить комментарий
Создать аккаунт
Зарегистрируйте новый аккаунт в нашем сообществе. Это очень просто!
Регистрация нового пользователяВойти
Уже есть аккаунт? Войти в систему.
Войти