КДБ Опубликовано 12 мая, 2016 Поделиться Опубликовано 12 мая, 2016 У Адин np очень дохлый фиксирующий винт, чуть перетянул 20-25 и кирдык.В Вашей практике как часто это случается? Ссылка на комментарий
Fibez Опубликовано 12 мая, 2016 Поделиться Опубликовано 12 мая, 2016 Павел_Псков, присоединяюсь к вопросу. То есть Вы их фиксируете на 20? Ссылка на комментарий
Карен Аванесов Опубликовано 16 мая, 2016 Поделиться Опубликовано 16 мая, 2016 Почему не все сразу? Ссылка на комментарий
Alexey Doc Опубликовано 23 мая, 2016 Поделиться Опубликовано 23 мая, 2016 Bier, то есть площадь импланта уже не имеет значения?Основная нагрузка приходится на первые(корональные) 4-6 мм имплантата, и именно в этой области важна величина площади контакта имплантата с костью. Ссылка на комментарий
Pavel-Pskov Опубликовано 23 мая, 2016 Поделиться Опубликовано 23 мая, 2016 Павел_Псков, присоединяюсь к вопросу. То есть Вы их фиксируете на 20?Я ими не долго поработал, перешёл на с-tech. Пару раз сломался, еле достал. А у ситеков я проверял на абатменте на модели держит больше 35.З.ы. не забуду в своей теме кину рг и фотки через 2 года. Ссылка на комментарий
doca Опубликовано 24 мая, 2016 Поделиться Опубликовано 24 мая, 2016 У Адин np очень дохлый фиксирующий винт, чуть перетянул 20-25 и кирдык.НИЧЕГО НЕ ПУТАЕТЕ? я закручиваю 25-30 ичего не ломается. Ксведению- у Нобеля 3,0 нельзя закручивать больше чем на 15 Н и тоже не раскручивается Ссылка на комментарий
Pavel-Pskov Опубликовано 24 мая, 2016 Поделиться Опубликовано 24 мая, 2016 НИЧЕГО НЕ ПУТАЕТЕ? я закручиваю 25-30 ичего не ломается. Ксведению- у Нобеля 3,0 нельзя закручивать больше чем на 15 Н и тоже не раскручМожет и путаю, я их 3 года назад ставил. Ссылка на комментарий
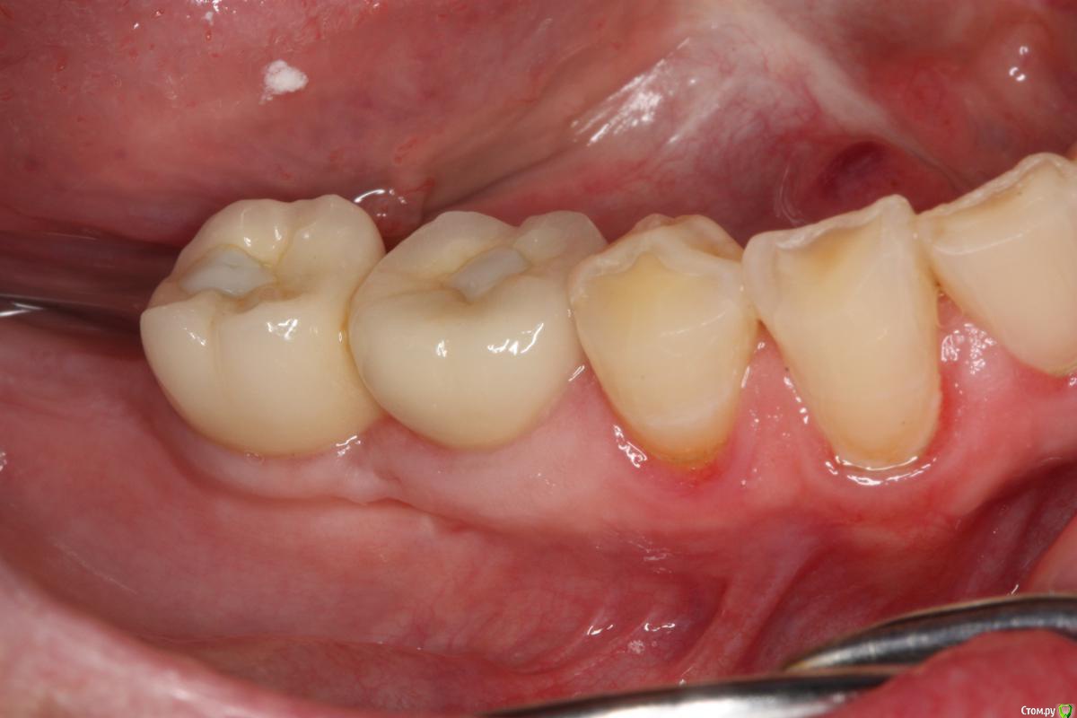
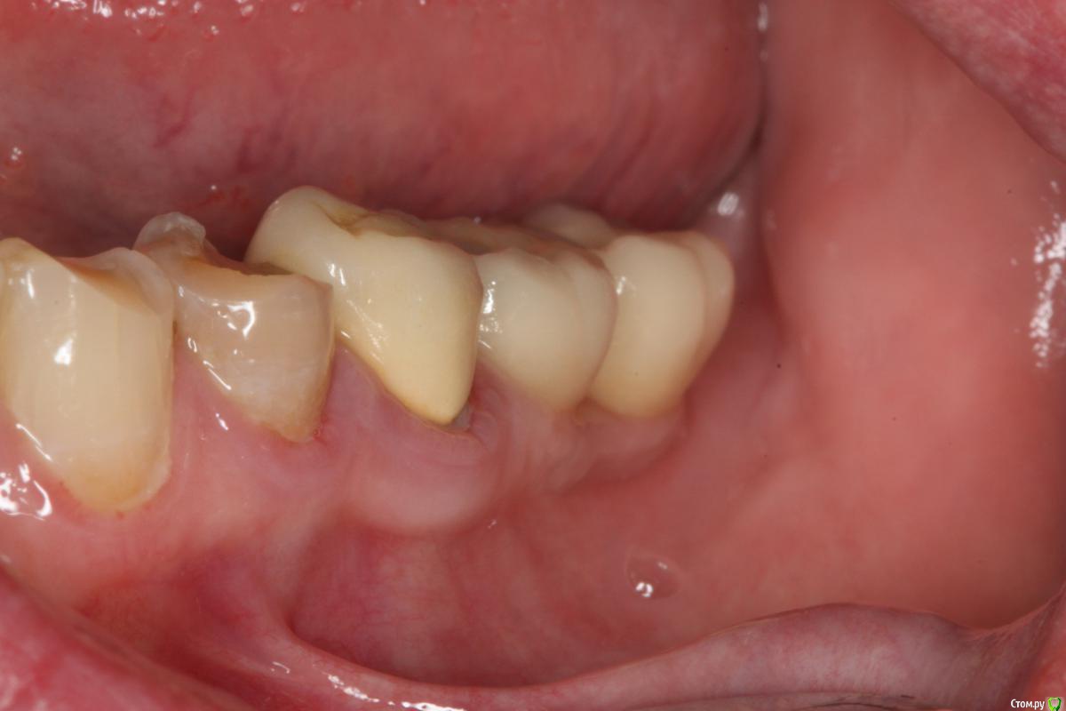
Pavel-Pskov Опубликовано 24 мая, 2016 Поделиться Опубликовано 24 мая, 2016 В момент снятия слепков май 2014 г.Неделя назад Ссылка на комментарий
Рекомендуемые сообщения
Для публикации сообщений создайте учётную запись или авторизуйтесь
Вы должны быть пользователем, чтобы оставить комментарий
Создать аккаунт
Зарегистрируйте новый аккаунт в нашем сообществе. Это очень просто!
Регистрация нового пользователяВойти
Уже есть аккаунт? Войти в систему.
Войти