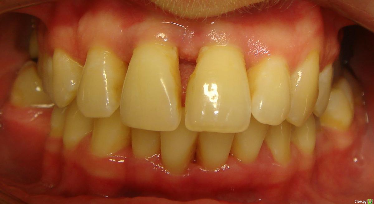
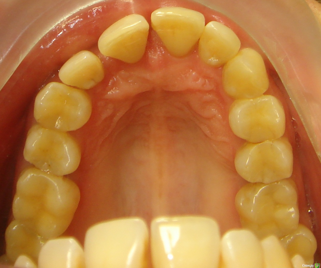
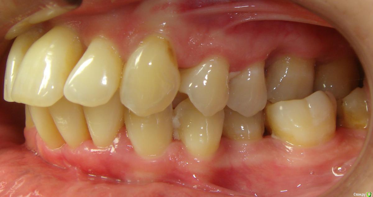
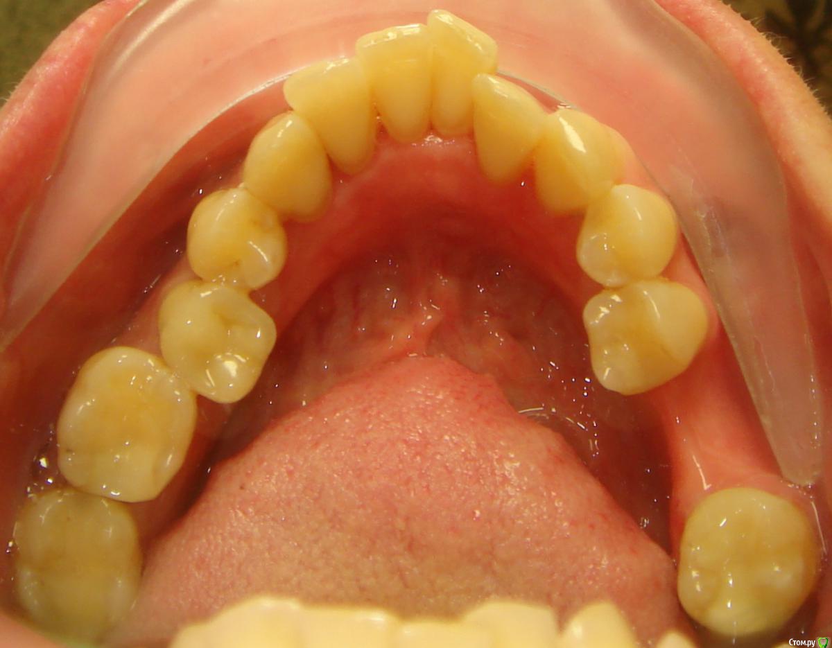
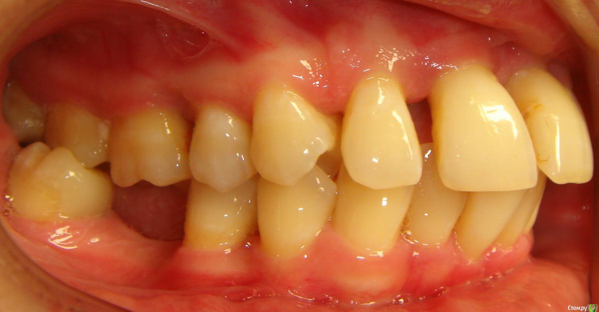
Opdihatop Опубликовано 9 мая, 2016 Поделиться Опубликовано 9 мая, 2016 (изменено) Здравствуйте, коллеги! Хотел бы представить вашему вниманию вот такой вот случай и спросить совета. В принципе, по окклюзии ничего особенного по лечению нет, но вот проблемы с пародонтом (на КТ по кости все заметно хуже, чем на орто), делают невозможным все, продуманные мной варианты. Может у кого-то было что-то подобное? Может поделитесь советом, а то помочь человеку надо, а я в тупике. Буду заранее очень благодарен за помощь! Изменено 9 мая, 2016 пользователем Opdihatop Ссылка на комментарий
m.d.n Опубликовано 11 мая, 2016 Поделиться Опубликовано 11 мая, 2016 сделайте сетап, чтоб посмотреть куда надо переместить зубы, а потом думать как перемещать- без орто будет еще хуже. Силы надо просто малые использовать и контролировать опору 1 Ссылка на комментарий
Opdihatop Опубликовано 11 мая, 2016 Автор Поделиться Опубликовано 11 мая, 2016 Благодарю за ответ! без орто будет еще хуже Без орто чего, ортогнатии (в смысле операции), или ортопозиции зубов? А что Вы в данном случае подразумеваете под малыми силами, технику Твида? Ссылка на комментарий
Opdihatop Опубликовано 11 мая, 2016 Автор Поделиться Опубликовано 11 мая, 2016 Я думал сделать тут SARPE и поставить небный расширитель, который крепится не к зубам, а к кости под слизистой (не помню, как называется), на н/ч планировал удалять один резец и работать на самолигах, но вот боюсь еще большей потери кости. А Вы как думаете? Ссылка на комментарий
Yana guapa Опубликовано 12 мая, 2016 Поделиться Опубликовано 12 мая, 2016 показаний к сарпе здесь нет. дать разобщение и перебросить боковые зубы кросс тягой. внизу бы не удаляла. на самолигах итак места достаточно будет. ну максимум стриппинг. были такие пациенты, что думала зубы с лигатурами вылетят ... но ничего! к концу лечения укрепились даже! все на месте! просто у таких пациентов еще нежнее надо 1 Ссылка на комментарий
Opdihatop Опубликовано 12 мая, 2016 Автор Поделиться Опубликовано 12 мая, 2016 (изменено) И что, кросс тяги и простое расширение на самолигах не вызовет, при таком пародонте, полного разрушения системы (я про кость)? Изменено 12 мая, 2016 пользователем Opdihatop Ссылка на комментарий
Opdihatop Опубликовано 12 мая, 2016 Автор Поделиться Опубликовано 12 мая, 2016 Плюс, получится ли вывести первый класс по клыкам, дистализировать-то нельзя, да и от премоляров промежутки не закроются... Ссылка на комментарий
CRAZYDUCK Опубликовано 13 мая, 2016 Поделиться Опубликовано 13 мая, 2016 плюс Яне и m.d.n.Попов СА на своих семинарах показывал много случаев подобных , лечил самолигирующимися , начинал с малых дуг 12 или 13, только просил кт и заключение пародонтолога , что пациент в стадии ремиссии. Ссылка на комментарий
CRAZYDUCK Опубликовано 13 мая, 2016 Поделиться Опубликовано 13 мая, 2016 орто , скорее всего , имелось ввиду ортодонтическое лечение.поправьте m.d.n., если неправильно Вас поняла Ссылка на комментарий
Yana guapa Опубликовано 13 мая, 2016 Поделиться Опубликовано 13 мая, 2016 И что, кросс тяги и простое расширение на самолигах не вызовет, при таком пародонте, полного разрушения системы (я про кость)? а почему оно должно вызвать? Вы же будете работать силами второго порядка а не четвертого. Ссылка на комментарий
Yana guapa Опубликовано 13 мая, 2016 Поделиться Опубликовано 13 мая, 2016 Плюс, получится ли вывести первый класс по клыкам, дистализировать-то нельзя, да и от премоляров промежутки не закроются... чтобы вывести в первый класс, для этого надо челюсть поставить в первый класс. (проблема не в положении зубов, а положении челюсти), что вам мешает это сделать? какие промежутки? вообще здесь не поняла Ссылка на комментарий
Yana guapa Опубликовано 13 мая, 2016 Поделиться Опубликовано 13 мая, 2016 Благодарю за ответ! Без орто чего, ортогнатии (в смысле операции), или ортопозиции зубов? А что Вы в данном случае подразумеваете под малыми силами, технику Твида? Я извиняюсь, а Вы ортодонт? или , возможно стоматолог другой специальности? по мне, так у ортодонта, здесь не должно возникнуть особых трудностей, вполне банальная ситуация. Ссылка на комментарий
Opdihatop Опубликовано 13 мая, 2016 Автор Поделиться Опубликовано 13 мая, 2016 (изменено) Ортодонт, просто вы даже не представляете себе, сколько интерпретаций термина "малые силы" я уже слышал... вот и переспрашиваю. какие промежутки? вообще здесь не поняла Имел ввиду, что премоляры удалять нельзя. Изменено 13 мая, 2016 пользователем Opdihatop Ссылка на комментарий
Opdihatop Опубликовано 13 мая, 2016 Автор Поделиться Опубликовано 13 мая, 2016 плюс Яне и m.d.n.Попов СА на своих семинарах показывал много случаев подобных , лечил самолигирующимися , начинал с малых дуг 12 или 13, только просил кт и заключение пародонтолога , что пациент в стадии ремиссии. А не могли бы скинуть его протокол (никогда его семинаров не слушал), ну или ссылку хотя бы. Ссылка на комментарий
Opdihatop Опубликовано 13 мая, 2016 Автор Поделиться Опубликовано 13 мая, 2016 чтобы вывести в первый класс, для этого надо челюсть поставить в первый класс. (проблема не в положении зубов, а положении челюсти), что вам мешает это сделать? Да нет, тут как раз проблема в зубах, так как из-за вторичной адентии 13 зуба фронт верха уехал вправо, да и правый боковой сегмент немного мезиализировался. Как тут поможет постановка челюсти в первый класс? Даже если бы вышеупомянутой проблемы по зубам не было бы, то для постановки челюсти эластиков скорее всего не хватило бы, а корректоры второго класса с таким пародонтом я ставить не рискнул бы.Вот в связи с этим и возник вопрос по первому классу, так как дистализировать не получится и удалять нельзя, потому что с таким пародонтом промежутки не закроются... Ссылка на комментарий
Yana guapa Опубликовано 13 мая, 2016 Поделиться Опубликовано 13 мая, 2016 Ортодонт, просто вы даже не представляете себе, сколько интерпретаций термина "малые силы" я уже слышал... вот и переспрашиваю. Имел ввиду, что премоляры удалять нельзя.удалять , конечно, ничего нельзя и не нужно. даже интересно, сколько может быть интерпретаций?)) поделитесь? меня в институте учили только одной - силы по Шварцу, относительно капиллярного давления. Ссылка на комментарий
Yana guapa Опубликовано 13 мая, 2016 Поделиться Опубликовано 13 мая, 2016 А не могли бы скинуть его протокол (никогда его семинаров не слушал), ну или ссылку хотя бы. врядли у Оксаны будет ссылка. потому что Попова слушают на его лекциях , я лично нигде в интернете не встречала его видеозаписей (кроме как на диске - работа с минивинтами) Ссылка на комментарий
Yana guapa Опубликовано 13 мая, 2016 Поделиться Опубликовано 13 мая, 2016 Да нет, тут как раз проблема в зубах, так как из-за вторичной адентии 13 зуба фронт верха уехал вправо, да и правый боковой сегмент немного мезиализировался. Как тут поможет постановка челюсти в первый класс? Даже если бы вышеупомянутой проблемы по зубам не было бы, то для постановки челюсти эластиков скорее всего не хватило бы, а корректоры второго класса с таким пародонтом я ставить не рискнул бы.Вот в связи с этим и возник вопрос по первому классу, так как дистализировать не получится и удалять нельзя, потому что с таким пародонтом промежутки не закроются... Здесь чистый второй класс. Расчет ТРГ и индекс APDI Вам ясно это дают понять. конечно об эластиках речь не идет (я из вообще не применяю, только корректоры). Но не всегда первый класс - панацея. Зависит от того, какую вообще цель преследуете. Иногда можно оставить в привычном втором классе и со спокойной совестью отпустить)))))) Ссылка на комментарий
Opdihatop Опубликовано 13 мая, 2016 Автор Поделиться Опубликовано 13 мая, 2016 (изменено) Попова послушать лично не смогу. Я живу в Украине и он к нам, по понятным причинам, не приезжает (был когда-то на конгрессе, но там лекция по минивинтам была). 1) По ТРГ про второй класс я с Вами абсолютно согласен. Здесь главное, что волнует пациентку, это создание места под 13 зуб. Да, она согласна корректировать все остальные проблемы, но не пойдет на лечение, если "ее" цель не будет достигнута. И да, я понимаю, что идеала тут достичь у меня не получится.2) Так уж сложилось, что кросс-эластиками я не так уж много работал, как то пациенты не подворачивались. По-этому позвольте в связи с этим вопрос: а не навредит ли нам тут вестибулярный наклон верхних моляров, который несомненно возникнет за счет тяги (они наклонены орально незначительно)? Да, я понимаю, что и нижние наклонятся орально, но все же.3) Почему Вы против, пусть даже не сарпе, так хоть послабления небного шва в этом случае? С трудом верится, что в этом возрасте, пусть даже на самолигах, получится получить стабильное расширение.И последнее 4) Я встречал в литературе успешное применение, при подобном пародонте, дистализации на в/ч при непрямом анкораже на м/и. Подобное лечение (с нормальной костью) неоднократно производил и успешно. Как Вы считаете, рискнуть или успех маловероятен? Простите за сумбур, просто много мыслей в голове. Изменено 13 мая, 2016 пользователем Opdihatop Ссылка на комментарий
Yana guapa Опубликовано 13 мая, 2016 Поделиться Опубликовано 13 мая, 2016 1) Здесь главное, что волнует пациентку, это создание места под 13 зуб. Да, она согласна корректировать все остальные проблемы, но не пойдет на лечение, если "ее" цель не будет достигнута. И да, я понимаю, что идеала тут достичь у меня не получится. под 1.3. зуб место создадите без проблем. Но если Ваша пациентка мечтает о голливуде (может еще и о новом пародонте?) , то лучше ее вообще не брать. Пусть радуется хоть тому, что вообще можно слепить. 2) Так уж сложилось, что кросс-эластиками я не так уж много работал, как то пациенты не подворачивались. По-этому позвольте в связи с этим вопрос: а не навредит ли нам тут вестибулярный наклон верхних моляров, который несомненно возникнет за счет тяги (они наклонены орально незначительно)? Да, я понимаю, что и нижние наклонятся орально, но все же. у вас не будет чистого вестибулярного наклона верхних моляров, потому что помимо кросс-эластиков у вас будут хорошие расширяющие дуги, придающие нужную форму зубному ряду. плюс кросс-тяги. и конечно хорошее разобщение. 3) Почему Вы против, пусть даже не сарпе, так хоть послабления небного шва в этом случае? С трудом верится, что в этом возрасте, пусть даже на самолигах, получится получить стабильное расширение. если Вам там хочется поставить RPE поставьте) но вы всегда можете это успеть сделать, в случае неудачи кросс тяг. заранее обговаривается. (тем более это дополнительные финансовые траты) 4) Я встречал в литературе успешное применение, при подобном пародонте, дистализации на в/ч при непрямом анкораже на м/и. Подобное лечение (с нормальной костью) неоднократно производил и успешно. Как Вы считаете, рискнуть или успех маловероятен? а что Вы дистализировать здесь хотите? Ссылка на комментарий
Opdihatop Опубликовано 13 мая, 2016 Автор Поделиться Опубликовано 13 мая, 2016 Благодарю за ответы! а что Вы дистализировать здесь хотите? под 1.3. зуб место создадите без проблем. Но если Ваша пациентка мечтает о голливуде (может еще и о новом пародонте?) , то лучше ее вообще не брать. Пусть радуется хоть тому, что вообще можно слепить. Видимо опыта у меня мало... А как место под 13, да еще и без проблем, создать? :-) Существующие тремы уйдут за счет ретрузии фронта, а одного расширения, пусть даже с РПЕ для 13 не хватит, вот для этого и думал дистализировать оба боковых сегмента в/ч хотя бы на 2 мм. Еще раз спасибо! :-) Ссылка на комментарий
Opdihatop Опубликовано 13 мая, 2016 Автор Поделиться Опубликовано 13 мая, 2016 у вас будут хорошие расширяющие дуги Кстати, вы какие предпочитаете, Damon (и брекеты и дуги)? Просто я смартклипами работаю, так уж исторически сложилось. :-) Ссылка на комментарий
Yana guapa Опубликовано 13 мая, 2016 Поделиться Опубликовано 13 мая, 2016 Благодарю за ответы! Видимо опыта у меня мало... А как место под 13, да еще и без проблем, создать? :-) Существующие тремы уйдут за счет ретрузии фронта, а одного расширения, пусть даже с РПЕ для 13 не хватит, вот для этого и думал дистализировать оба боковых сегмента в/ч хотя бы на 2 мм. Еще раз спасибо! :-)завтра отвечу с фото. п.с. брекеты могут быть любыми. но самые нелюбимые - это смартклип!!! если пациент приходит на долечивание - то просто снимаю и ставлю свои))))))) ну не люблю я их))))) 1 Ссылка на комментарий
Opdihatop Опубликовано 14 мая, 2016 Автор Поделиться Опубликовано 14 мая, 2016 (изменено) завтра отвечу с фото. ждемс :-) Изменено 14 мая, 2016 пользователем Opdihatop Ссылка на комментарий
m.d.n Опубликовано 14 мая, 2016 Поделиться Опубликовано 14 мая, 2016 орто , скорее всего , имелось ввиду ортодонтическое лечение.поправьте m.d.n., если неправильно Вас понялатак точно. Ссылка на комментарий
Рекомендуемые сообщения
Для публикации сообщений создайте учётную запись или авторизуйтесь
Вы должны быть пользователем, чтобы оставить комментарий
Создать аккаунт
Зарегистрируйте новый аккаунт в нашем сообществе. Это очень просто!
Регистрация нового пользователяВойти
Уже есть аккаунт? Войти в систему.
Войти