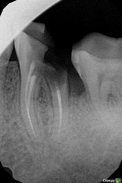
Looking Опубликовано 7 мая, 2016 Поделиться Опубликовано 7 мая, 2016 Доброго времени суток!Зуб на грани - пломба с еще давнишних лет огромная вывалилась, стенка откололась (см.снимок). ходил к местному стоматологу. Она говорит, что шансы маленькие, с ее слов не может нащупать заднюю стенку зуба, чтобы завести за нее пластинку, вроде-как она заросла слизистой, пробовала без анастезии десну расковырять до стенки зуба, но сильно кровит, кровь мешает. В итоге пока поставила временную пломбу на воде, говорит - может десна осядет и стенку зуба станет видно, а на кровь она посадить пломбу не может, нужно чтобы было сухо. Но шансов говорит мало, наверное придется зуб удалять. что скажете? может еще какие варианты есть поэтапные? Например, десну подрезать, подождать пока подживет, а уже затем заводить пластину за заднюю стенку? Или еще какие-то варианты? Или нет смысла и удалять? Если удалять, то что на место удаленного лучше ставить и где? 1 Ссылка на комментарий
red_butler Опубликовано 7 мая, 2016 Поделиться Опубликовано 7 мая, 2016 Удалять. 7 Ссылка на комментарий
IvanK Опубликовано 7 мая, 2016 Поделиться Опубликовано 7 мая, 2016 Она говорит, что шансы маленькие, с шансов нет Ссылка на комментарий
Jurai Опубликовано 8 мая, 2016 Поделиться Опубликовано 8 мая, 2016 Будете пытаться этот зуб сохранить - останетесь без соседнего. Ссылка на комментарий
Looking Опубликовано 17 мая, 2016 Автор Поделиться Опубликовано 17 мая, 2016 Так как на днях временная пломба развалилась, то заходил к тому-же стоматологу, что делала ее ранее, чтобы ее подновить. Постарался расспросить ее в деталях.Вот что она сказала: "Матрицу (это примерно как опалубка в строительстве) не может завести за заднюю стенку зуба, чтобы слепить зуб химически, потому как задняя стенка где-то глубоко в десне. Насчет штифтов - корни хорошие, но внизу ничего нет, только десна, поэтому хим.материалу не к чему прилепиться, снизу будет все время подтекать и материал не будет держаться. Коронку на этот зуб не поставишь, так как он слишком слабенький." Ссылка на комментарий
IvanK Опубликовано 19 мая, 2016 Поделиться Опубликовано 19 мая, 2016 Думаю, что тема закрыта 1 Ссылка на комментарий
Рекомендуемые сообщения