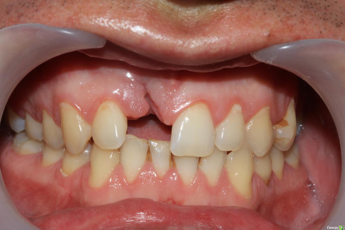
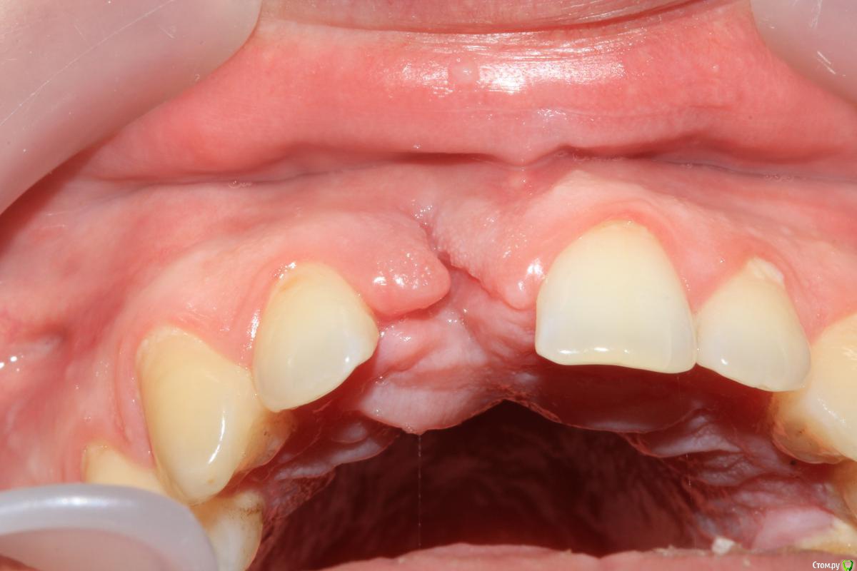
Dc.Petrov Опубликовано 4 мая, 2016 Поделиться Опубликовано 4 мая, 2016 Травма около 2 мес назад + травматичное удаление. Итог на фото.12 неподвижен. Вопрос : удастся ли с помощью нкр сделать кость для имплантации? Ссылка на комментарий
АнтонТЛТ Опубликовано 4 мая, 2016 Поделиться Опубликовано 4 мая, 2016 Прицельный есть? 2 Ссылка на комментарий
Dc.Petrov Опубликовано 4 мая, 2016 Автор Поделиться Опубликовано 4 мая, 2016 нет, только кт. А что можно на прицельном увидеть? Ссылка на комментарий
Большой Зеленый Опубликовано 4 мая, 2016 Поделиться Опубликовано 4 мая, 2016 12 придется удалить. 8 Ссылка на комментарий
АнтонТЛТ Опубликовано 4 мая, 2016 Поделиться Опубликовано 4 мая, 2016 нет, только кт. А что можно на прицельном увидеть?Есть ли костный пик у 12 3 Ссылка на комментарий
Bier Опубликовано 4 мая, 2016 Поделиться Опубликовано 4 мая, 2016 судя по всему нету. Согласен, что 12 на выход. 3 Ссылка на комментарий
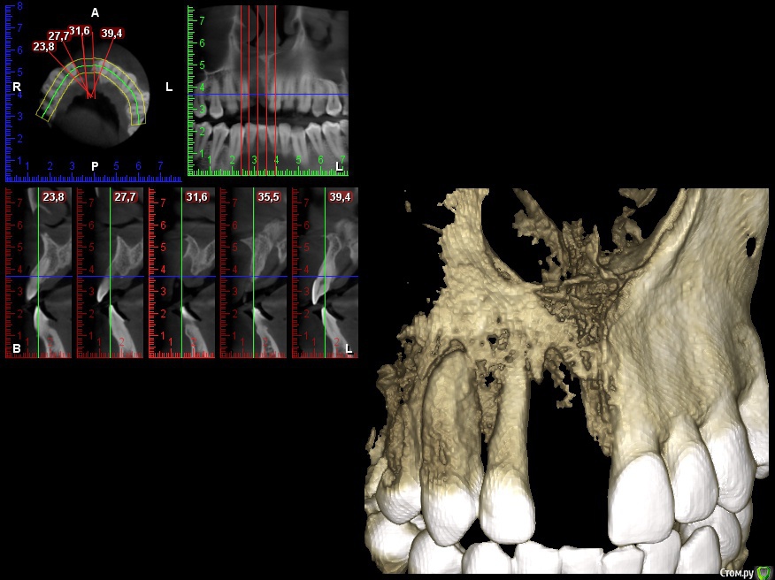
Mane Опубликовано 4 мая, 2016 Поделиться Опубликовано 4 мая, 2016 По кт медиального пика у 12 нет. Но он может быть на прицелке. Если и там нет, то 12 на выход. 5 Ссылка на комментарий
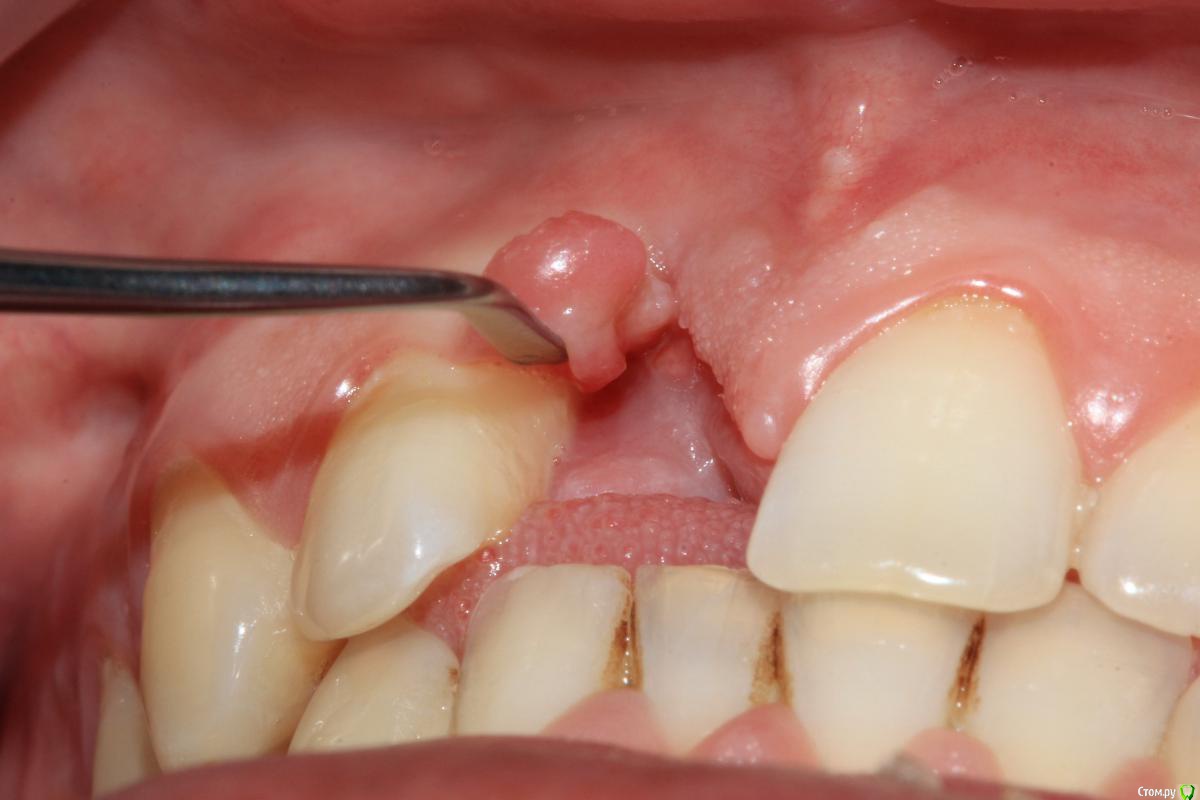
Dc.Petrov Опубликовано 5 мая, 2016 Автор Поделиться Опубликовано 5 мая, 2016 (изменено) медиального пика у 12 нет однозначно, медиальная поверхность корня визуализируется между складками десны Изменено 5 мая, 2016 пользователем Dc.Petrov Ссылка на комментарий
Dc.Petrov Опубликовано 5 мая, 2016 Автор Поделиться Опубликовано 5 мая, 2016 Предполагаю следующий алгоритм:1. Удаление 12 + НКР+ VIP2. Через 5 мес имплантация 11+ ССТ+времяшка3. Постоянное протезирование с консолем на 12. Поправьте,пжста, в чем ошибаюсь. Или как бы Вы поступили в данном случае Ссылка на комментарий
syrovovec Опубликовано 5 мая, 2016 Поделиться Опубликовано 5 мая, 2016 Наверное также.Или может так:УдалениеМягкотканнаяНКРИмплантация +сст и времяшка 1 Ссылка на комментарий
Polly1102 Опубликовано 5 мая, 2016 Поделиться Опубликовано 5 мая, 2016 Посижу послушаю 1 Ссылка на комментарий
Dc.Petrov Опубликовано 6 мая, 2016 Автор Поделиться Опубликовано 6 мая, 2016 Посижу послушаюЯ бы тоже... Ссылка на комментарий
Kovalov Igor Опубликовано 10 мая, 2016 Поделиться Опубликовано 10 мая, 2016 2 импланта сюда лучше не лепить ? Ссылка на комментарий
pit Опубликовано 10 мая, 2016 Поделиться Опубликовано 10 мая, 2016 Я бы мост сделал, если у 12зуба нет костного пика. Честно. 1 Ссылка на комментарий
Bier Опубликовано 10 мая, 2016 Поделиться Опубликовано 10 мая, 2016 Одномоментно с удалением, я бы пластику делать не стал. Мост кстати рабочий вариант. 1 Ссылка на комментарий
Dc.Petrov Опубликовано 11 мая, 2016 Автор Поделиться Опубликовано 11 мая, 2016 Одномоментно с удалением, я бы пластику делать не стал. Мост кстати рабочий вариант.Почему? Ссылка на комментарий
Аслан Опубликовано 11 мая, 2016 Поделиться Опубликовано 11 мая, 2016 Единственный вариант сделать одномоментно с имплантацией нкр - это если вы хорошо можете отработать этот вариант с сеткой, с учетом того, что эта самая сетка "фиксируется" к имплатну заглушкой (посмотрите на форуме темы про необиотек, там показано как) и сразу сможете создать нужный объем десны чтобы эту самую сетку перекрыть и она не экспонировалась. Ссылка на комментарий
Рекомендуемые сообщения
Для публикации сообщений создайте учётную запись или авторизуйтесь
Вы должны быть пользователем, чтобы оставить комментарий
Создать аккаунт
Зарегистрируйте новый аккаунт в нашем сообществе. Это очень просто!
Регистрация нового пользователяВойти
Уже есть аккаунт? Войти в систему.
Войти