ввассилюй Опубликовано 3 мая, 2016 Поделиться Опубликовано 3 мая, 2016 добрый день. 1 сегмент. кт нет и, наверно, не будет. пациент настаивает на синусе без лора и без кт. пока в отказе. пока... Ссылка на комментарий
Acidrocker Опубликовано 3 мая, 2016 Поделиться Опубликовано 3 мая, 2016 Без КТ с соустьем точно бы не делал. 5 Ссылка на комментарий
dantist_movani Опубликовано 3 мая, 2016 Поделиться Опубликовано 3 мая, 2016 Вы ему денег должны? Ссылка на комментарий
ввассилюй Опубликовано 3 мая, 2016 Автор Поделиться Опубликовано 3 мая, 2016 Вы ему денег должны? нет пока Ссылка на комментарий
Fibez Опубликовано 3 мая, 2016 Поделиться Опубликовано 3 мая, 2016 нет КТ - нет имплантации. (при условии, что КТ есть в клинике) 1 Ссылка на комментарий
Тимур86 Опубликовано 3 мая, 2016 Поделиться Опубликовано 3 мая, 2016 (при условии, что КТ есть в клинике)а если в клинике КТшника нету,то как бы и не обязательно...? 5 Ссылка на комментарий
bullbull Опубликовано 4 мая, 2016 Поделиться Опубликовано 4 мая, 2016 А почему пац в отказ пошёл по поводу кт?Теоретически, сделать можно. Но я бы не стал. 1 Ссылка на комментарий
ввассилюй Опубликовано 4 мая, 2016 Автор Поделиться Опубликовано 4 мая, 2016 А почему пац в отказ пошёл по поводу кт?Теоретически, сделать можно. Но я бы не стал. Ближайший аппарат находится в 500 км от нас Ссылка на комментарий
Fibez Опубликовано 4 мая, 2016 Поделиться Опубликовано 4 мая, 2016 а если в клинике КТшника нету,то как бы и не обязательно...? крайне желательно. вот только тут уже надо оговорить этот момент с начальством. а то можно и быть уволенным. 1 Ссылка на комментарий
Nazim_NV86 Опубликовано 4 мая, 2016 Поделиться Опубликовано 4 мая, 2016 Ближайший аппарат находится в 500 км от насПечально. Ссылка на комментарий
gum Опубликовано 4 мая, 2016 Поделиться Опубликовано 4 мая, 2016 +1 за КТ хоть и за 500 км. А раньше по Панорамам лишь все делали и ничего жуют. 1 Ссылка на комментарий
Fibez Опубликовано 4 мая, 2016 Поделиться Опубликовано 4 мая, 2016 Вася, а у лечебников КТ-аппарат есть? Не стоматологический, а обычный. Там можно тоже самое посмотреть. Если научить врача КТ делать срезы по плоскостям. Я так когда-то больше года работал. Пока КТ в городе не было. 1 Ссылка на комментарий
pit Опубликовано 5 мая, 2016 Поделиться Опубликовано 5 мая, 2016 добрый день. 1 сегмент. кт нет и, наверно, не будет. пациент настаивает на синусе без лора и без кт. пока в отказе. пока…я 500 км - это серьезный аргумент. Что именно у данного пациента Вы хотели бы увидеть на КТ? Ссылка на комментарий
ввассилюй Опубликовано 5 мая, 2016 Автор Поделиться Опубликовано 5 мая, 2016 Вася, а у лечебников КТ-аппарат есть? Не стоматологический, а обычный. Там можно тоже самое посмотреть. Если научить врача КТ делать срезы по плоскостям. Я так когда-то больше года работал. Пока КТ в городе не было.попробую Ссылка на комментарий
ввассилюй Опубликовано 5 мая, 2016 Автор Поделиться Опубликовано 5 мая, 2016 500 км - это серьезный аргумент. Что именно у данного пациента Вы хотели бы увидеть на КТ? над 17 что то есть. ну и соустье посмотреть бы. на сосуд в кости не напороться. и для общего развития ))) Ссылка на комментарий
pit Опубликовано 5 мая, 2016 Поделиться Опубликовано 5 мая, 2016 над 17 что то есть. ну и соустье посмотреть бы. на сосуд в кости не напороться. и для общего развития )))Для общего развития в данном случае на первом месте. Вы планируете ОСЛ выполнить одномоментно с удалением зубов и установкой имплантатов? 1 Ссылка на комментарий
Fibez Опубликовано 5 мая, 2016 Поделиться Опубликовано 5 мая, 2016 (изменено) Вася, я делал так. Пришёл к их головастому доктору и предложил ему денег. То есть пациенты рассчитываются у меня, потом маршируют к нему и у него делают КТ головы. Типа бесплатно и врач не палится. Он мне делает срезы в указанных плоскостях с шагом по 1мм. Делает скришоты и кидает их мне на элетронку. Врач согласился. Но настоял чтоб деньги пациенты вносили официальны в кассу стационара. Первые пару раз я приходил к нему и объяснял как именно надо расположить срезы. Потом всё работало автоматически. Изменено 5 мая, 2016 пользователем Fibez 2 Ссылка на комментарий
ввассилюй Опубликовано 5 мая, 2016 Автор Поделиться Опубликовано 5 мая, 2016 Вася, я делал так. Пришёл к их головастому доктору и предложил ему денег. То есть пациенты рассчитываются у меня, потом маршируют к нему и у него делают КТ головы. Типа бесплатно и врач не палится. Он мне делает срезы в указанных плоскостях с шагом по 1мм. Делает скришоты и кидает их мне на элетронку. Врач согласился. Но настоял чтоб деньги пациенты вносили официальны в кассу стационара. Первые пару раз я приходил к нему и объяснял как именно надо расположить срезы. Потом всё работало автоматически.Спасибо!!! Ссылка на комментарий
ввассилюй Опубликовано 5 мая, 2016 Автор Поделиться Опубликовано 5 мая, 2016 Для общего развития в данном случае на первом месте . Вы планируете ОСЛ выполнить одномоментно с удалением зубов и установкой имплантатов? поставить в синус имплант или нет будет видно на кт или по факту. но скорее нет чем да. остальное как вы обозначили Ссылка на комментарий
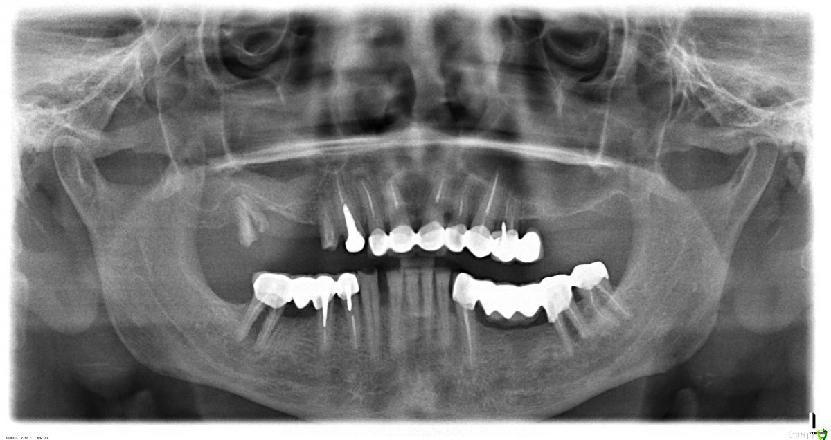
pit Опубликовано 6 мая, 2016 Поделиться Опубликовано 6 мая, 2016 поставить в синус имплант или нет будет видно на кт или по факту. но скорее нет чем да. остальное как вы обозначилиЯ поделюсь своим опытом С 2003 по 2008 я оперировал по ОПТГ, боковомку снимку черепа и снимку черепа в полуаксиальной проекции. Лишь в крайних случаях прибегал к спиральной КТ. С 2008 г повсеместно в СПб появилась КЛКТ и наступило счастье)). В 2011-2012гг мне пришлось работать по ОПТГ в другом городе и, честно говоря, было сначала не по себе. А потом все стало на свои места. Ведь основная проблема- невозможность оценить толщину на в/челюсти. Но в боковом отделе это не такая уж проблема.В данном случае есть пристеночное утолщение слизистой, не определяются септы в лунках 14 и 17 зубов корни(т е ширина достаточная). Что касается анастомоза - при препарировании его хорошо видно, повредить его Вы можете как зная о нем, так и не зная. Проблема будет при диаметре сосуда более 2 мм но это редко бывает.Единственная теоритичеки возможная проблема- септа в сагитальном направлении, об этом следует помнить.По ОПТГ размеры имплантов 14з - 4,3х13, 15з- 3,5х10, 17з- 5,0х10. Ну и, конечно же, близкие типоразмеры должны быть в клинике во время операции. 1 Ссылка на комментарий
ввассилюй Опубликовано 7 мая, 2016 Автор Поделиться Опубликовано 7 мая, 2016 Я поделюсь своим опытом С 2003 по 2008 я оперировал по ОПТГ, боковомку снимку черепа и снимку черепа в полуаксиальной проекции. Лишь в крайних случаях прибегал к спиральной КТ. С 2008 г повсеместно в СПб появилась КЛКТ и наступило счастье )). В 2011-2012гг мне пришлось работать по ОПТГ в другом городе и, честно говоря, было сначала не по себе. А потом все стало на свои места. Ведь основная проблема- невозможность оценить толщину на в/челюсти. Но в боковом отделе это не такая уж проблема.В данном случае есть пристеночное утолщение слизистой, не определяются септы в лунках 14 и 17 зубов корни(т е ширина достаточная). Что касается анастомоза - при препарировании его хорошо видно, повредить его Вы можете как зная о нем, так и не зная . Проблема будет при диаметре сосуда более 2 мм но это редко бывает.Единственная теоритичеки возможная проблема- септа в сагитальном направлении, об этом следует помнить.По ОПТГ размеры имплантов 14з - 4,3х13, 15з- 3,5х10, 17з- 5,0х10. Ну и, конечно же, близкие типоразмеры должны быть в клинике во время операции. Спасибо! тормозит только утолщение слизистой. подскажите как Вы решали вопросы с сосудами, если были таковые. пациент взял координаты КТ конторы. ))) Ссылка на комментарий
pit Опубликовано 7 мая, 2016 Поделиться Опубликовано 7 мая, 2016 Спасибо! тормозит только утолщение слизистой. подскажите как Вы решали вопросы с сосудами, если были таковые. пациент взял координаты КТ конторы. )))Пожалуйста. Утолщение-это не проблема.Перевязка.Коагуляция. Компрессия с костным фрагментом. Гемостаз воском. 1 Ссылка на комментарий
Рекомендуемые сообщения
Для публикации сообщений создайте учётную запись или авторизуйтесь
Вы должны быть пользователем, чтобы оставить комментарий
Создать аккаунт
Зарегистрируйте новый аккаунт в нашем сообществе. Это очень просто!
Регистрация нового пользователяВойти
Уже есть аккаунт? Войти в систему.
Войти