Natalie9 Опубликовано 2 мая, 2016 Поделиться Опубликовано 2 мая, 2016 (изменено) Здравствуйте. Я - аллергик. У меня бывают неожиданные аллергические реакции на различные медикаменты, иногда довольно серьёзные (однажды приём обычного советского антигриппина обернулся для меня 2 неделями реанимации). Поэтому наверное вы понимаете, что теперь я так сказать "дую и на воду". У меня между 6-кой и 7-кой сверху есть довольно большой "карман", из-за которого бывает воспаление и боль каждый раз, как в него попадает еда. Недавно было такое сильное воспаление, что мне едва не удалили все 3 соседних зуба - было непонятно, что именно болит, воспаление передалось даже на тройничный нерв. Спас положение курс антибиотиков. Теперь я боюсь вообще что-либо жевать этой стороной, а с другой стороны жевать нечем - удалены 5-ка вверху, 6-ка внизу и обе 8-ки. Проблема ещё и в том, что поставить "мост" я тоже не могу - аллергопроба на зубопротезные металлы была положительна, и на несколько видов пластмассы тоже. Вдобавок у меня ещё и системное заболевание соединительной ткани, из-за которого имплантация имеет сомнительные перспективы. Парадонтолог в поликлинике предложила сделать кюретаж "кармана", положив в него костнозамещающий материал (в наличии есть: гиалуост, изиграфт, коллапан). Однако узнав об аллергии, она тоже засомневалась, и велела мне сделать пробы. Но я не смогла найти ни одной клиники, где бы делали пробы на костнозамещающие материалы. А бывают ли вообще аллергические реакции на костнозамещающие материалы? Может быть я напрасно волнуюсь? Дайте пожалуйста совет: стоит ли рискнуть и использовать костнозамещающий материал, или лучше обойтись просто прочисткой кармана? p.s.: К сожалению у меня нет на руках свежего снимка, только прошлогодний. Изменено 2 мая, 2016 пользователем Natalie9 Ссылка на комментарий
АнтонТЛТ Опубликовано 2 мая, 2016 Поделиться Опубликовано 2 мая, 2016 Костнозамещающий материал нет смысла использовать, тем более которые есть в наличии. На счет коронок, есть безметалловая керамика и диоксид циркония (биоинертные материалы). 1 Ссылка на комментарий
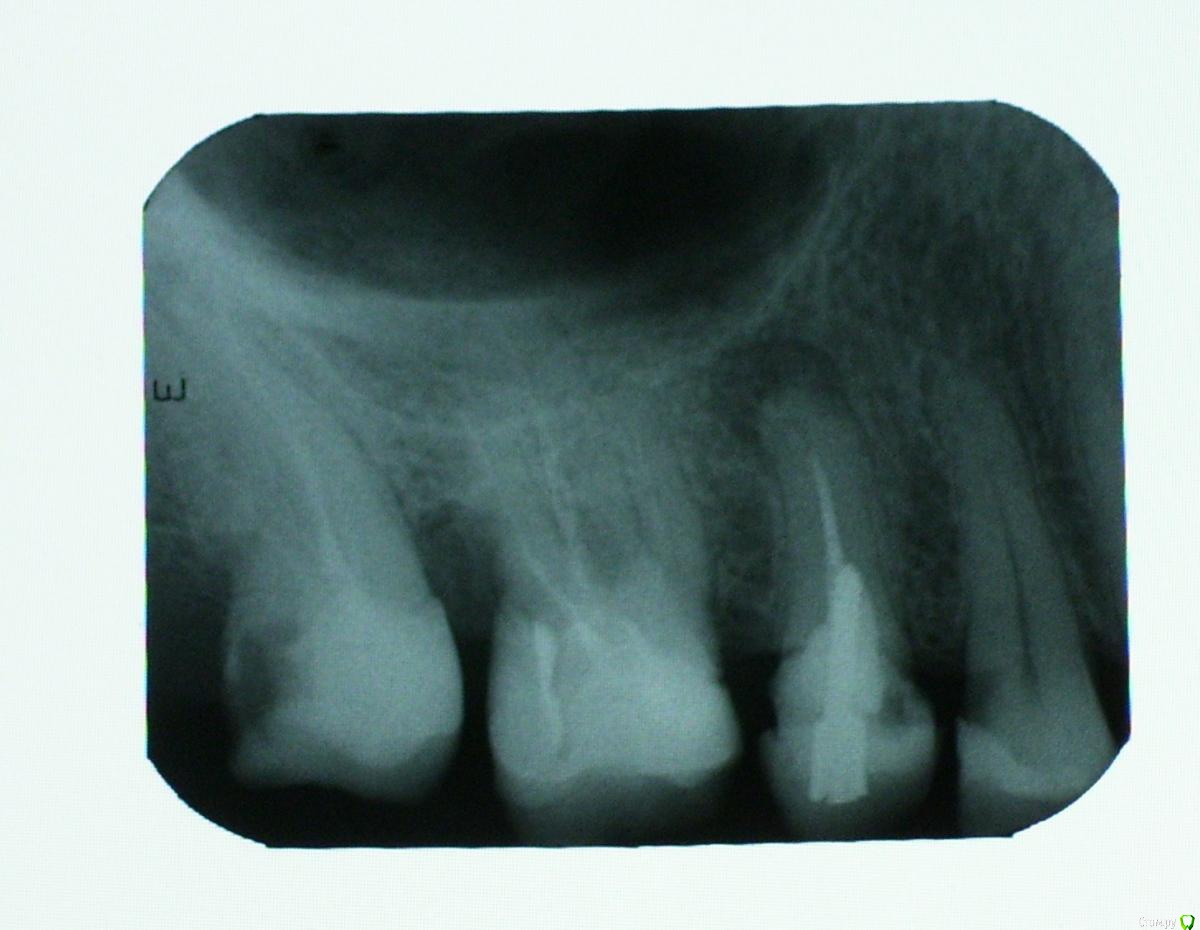
shishok Опубликовано 3 мая, 2016 Поделиться Опубликовано 3 мая, 2016 На верхушке 5го есть воспаление,каналы надо перелечивать . 1 Ссылка на комментарий
Natalie9 Опубликовано 4 мая, 2016 Автор Поделиться Опубликовано 4 мая, 2016 Огромное спасибо за ответы! Костнозамещающий материал нет смысла использовать, тем более которые есть в наличии.Скажите пожалуйста: просто кюретаж в моём случае может помочь? Костный дефект сам зарастёт без костнозамещающего материала? Мне уже 52 года и способность к регенерации уже не та. Может быть есть какие-нибудь более простые средства, которые помогли бы активировать регенерацию кости? (По крайней мере такие, на которые было бы не сложно сделать аллергопробу). На счет коронок, есть безметалловая керамика и диоксид циркония (биоинертные материалы). На счёт коронок как раз вопроса нет - их ставить не на что пока. На верхушке 5го есть воспаление,каналы надо перелечивать .Я это знаю, с удовольставием перелечила бы, так как зуб меня периодически беспокоит. Но к сожалению мне сказали, что "удалить эту кисту можно только вместе с зубом". Причём я консультировалась в нескольких местах. Почему-то все мне говорят, что именно этот зуб "технологически невозможно" вылечить. А удалять жалко, так как мне и так жевать проблематично. Скажите пожалуйста, а возможно ли перелечить каналы, если там стоит штифт? Врачи из-за этого не берутся за него. Ссылка на комментарий
red_butler Опубликовано 4 мая, 2016 Поделиться Опубликовано 4 мая, 2016 Нужен очный осмотр, по снимку ничего страшного не увидел. Сходите еще на пару консультаций. 2 Ссылка на комментарий
shishok Опубликовано 4 мая, 2016 Поделиться Опубликовано 4 мая, 2016 Скажите пожалуйста, а возможно ли перелечить каналы, если там стоит штифт? Врачи из-за этого не берутся за него.Нет ,штифт нужно убрать.Я думаю,что это не настолько проблематично. Ссылка на комментарий
Natalie9 Опубликовано 4 мая, 2016 Автор Поделиться Опубликовано 4 мая, 2016 Спасибо shishok, я это и имела в виду - убрать штифт. Почему-то врачи, к которым я обращалась, считают это сложным. Значит буду искать такого врача, который это сумеет. Ссылка на комментарий
АнтонТЛТ Опубликовано 4 мая, 2016 Поделиться Опубликовано 4 мая, 2016 Кюретаж не поможет, так же как и использование костнозамещающих материалов, пока не уберут причины. Отсутствие адекватного контакта между зубами, нарушение прилегания пломбы к тканям зуба. 2 Ссылка на комментарий
Natalie9 Опубликовано 5 мая, 2016 Автор Поделиться Опубликовано 5 мая, 2016 Кюретаж не поможет, так же как и использование костнозамещающих материалов, пока не уберут причины. Отсутствие адекватного контакта между зубами, нарушение прилегания пломбы к тканям зуба.То есть Вы имеете в виду, что у меня неправильно сделаны пломбы на 6 и 7 зубах? Ссылка на комментарий
АнтонТЛТ Опубликовано 5 мая, 2016 Поделиться Опубликовано 5 мая, 2016 По снимку очень похоже 1 Ссылка на комментарий
red_butler Опубликовано 5 мая, 2016 Поделиться Опубликовано 5 мая, 2016 То есть Вы имеете в виду, что у меня неправильно сделаны пломбы на 6 и 7 зубах?проблема в лечении корневых каналов, и в том что на 5, 6, 7 стоят пломбы а должны быть коронки 2 Ссылка на комментарий
Natalie9 Опубликовано 5 мая, 2016 Автор Поделиться Опубликовано 5 мая, 2016 проблема в лечении корневых каналов,Скажите пожалуйста, перелечивать нужно только каналы 5-ки, или в 6-ке и 7-ке они тоже плохо залечены? Ссылка на комментарий
red_butler Опубликовано 5 мая, 2016 Поделиться Опубликовано 5 мая, 2016 Скажите пожалуйста, перелечивать нужно только каналы 5-ки, или в 6-ке и 7-ке они тоже плохо залечены?Все три перелечивать 2 Ссылка на комментарий
IvanK Опубликовано 5 мая, 2016 Поделиться Опубликовано 5 мая, 2016 Все три перелечиватьи протезировать 2 Ссылка на комментарий
Natalie9 Опубликовано 10 мая, 2016 Автор Поделиться Опубликовано 10 мая, 2016 (изменено) Здравствуйте ещё раз. Подскажите пожалуйста, перелечивание каналов - это действительно такая супер-мега-сложная работа, что все врачи отказываются за неё браться? Или это у меня такие супер-мега-кривые зубы? Я послушалась ваших советов и обратилась в поликлинику с вопросом о перелечивании каналов, и там все сразу впали в истерику: мне заявили, что если мне не нравится, как меня здесь лечат, то "идите в другое место", и что никто не виноват, если у меня такой низкий иммунитет, а "всем другим лечат так-же и у всех всё в порядке"(хотя я даже не заикалась о претензиях - только сказала, что на форуме мне посоветовали перелечить каналы). Вообще-то я заметила, что они всегда как-то неадекватно реагируют на упоминание интернета. Потом врач посмотрела мой снимок, и заявила, что все эти зубы вообще такие плохие, что лечить их не имеет смысла, а надо удалять. Мне удалось буквально выкрасть потихоньку мой свежий снимок ненадолго, чтобы сфотографировать. Скажите пожалуйста: может быть действительно за год там уже что-то такое ужасное выросло, что уже только удалять? Я конечно действительно пойду теперь в другую клинику, но может быть и правда уже не имеет смысла спасать эти зубы? p.s.: Дырку в 4 зубе и дефект пломбы в 7 мне уже заделали на прошлой неделе. Изменено 10 мая, 2016 пользователем Natalie9 Ссылка на комментарий
red_butler Опубликовано 10 мая, 2016 Поделиться Опубликовано 10 мая, 2016 в четверке тоже периодонтит.ищите врача. 2 Ссылка на комментарий
St. Опубликовано 11 мая, 2016 Поделиться Опубликовано 11 мая, 2016 Перелечивание каналов действительно сложная работа, достаточно долгая и кропотливая. обратилась в поликлинику с вопросом о перелечивании каналов, и там все сразу впали в истерику: мне заявили, что если мне не нравится, как меня здесь лечат, то "идите в другое место", и что никто не виноват, если у меня такой низкий иммунитет, а "всем другим лечат так-же и у всех всё в порядке" Вас просто вежливо "послали восвояси". Возможно стоит обратится не в поликлинику, а поискать врача по рекомендациям или , например, на форуме.Ничего мегастрашного с зубами не увидела, необходимости удалять тоже. 2 Ссылка на комментарий
red_butler Опубликовано 11 мая, 2016 Поделиться Опубликовано 11 мая, 2016 Подскажите пожалуйста, перелечивание каналов - это действительно такая супер-мега-сложная работа + 1, сложная. И часто сравнима в финансовом плане с имплантацией. 1 Ссылка на комментарий
Natalie9 Опубликовано 11 мая, 2016 Автор Поделиться Опубликовано 11 мая, 2016 часто сравнима в финансовом плане с имплантацией. Но всё же свой родной-то зуб надёжнее, как мне кажется Большое спасибо всем за советы. Буду пытаться найти врача, которй возьмётся за мои зубы всерьёз. 3 Ссылка на комментарий
red_butler Опубликовано 12 мая, 2016 Поделиться Опубликовано 12 мая, 2016 Большое спасибо всем за советы. Буду пытаться найти врача, которй возьмётся за мои зубы всерьёз. Удачи, напишите сюда http://forum.stom.ru/topic/4752-posovetujte-terapevta-v-gorode-n/и не забудьте поделиться результатом. Ссылка на комментарий
Рекомендуемые сообщения
Для публикации сообщений создайте учётную запись или авторизуйтесь
Вы должны быть пользователем, чтобы оставить комментарий
Создать аккаунт
Зарегистрируйте новый аккаунт в нашем сообществе. Это очень просто!
Регистрация нового пользователяВойти
Уже есть аккаунт? Войти в систему.
Войти