Monkey Опубликовано 27 апреля, 2016 Поделиться Опубликовано 27 апреля, 2016 (изменено) Коллеги! Прощу совета и помощи. Кто как справляется с выраженным 2-1. Парнишке 12 лет. Со слов мамы ни вредных привычек, ни родовой травмы не было. Опять же со слов мамы, есть серьезное искривление перегородки носа ( ЛОР сказал можно править только после 17 лет).Сейчас удалили зачатки 38,48. Ждем когда созреют 18,28.Как вести таких пациентов? и реально ли обойтись без хирургии? Когда начинать лечение и на каком аппарате?P.s. если у кого-то были похожие вылеченные случаи, буду благодарна за демонстрацию. Изменено 27 апреля, 2016 пользователем Monkey Ссылка на комментарий
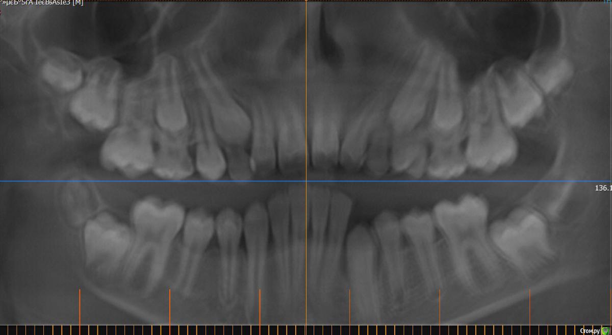
Yana guapa Опубликовано 27 апреля, 2016 Поделиться Опубликовано 27 апреля, 2016 почему клкт делали с открытым ртом? в итоге проекции , которые вы выложили - не информативны. лучше "классика" - снимки (трг) , фото (причем полноценный набор:фас, профиль, профиль с улыбкой, обнажение резцов в покое...) это все имеет значение при составлении плана лечения и выбора методики. Ссылка на комментарий
Monkey Опубликовано 28 апреля, 2016 Автор Поделиться Опубликовано 28 апреля, 2016 почему клкт делали с открытым ртом? в итоге проекции , которые вы выложили - не информативны. лучше "классика" - снимки (трг) , фото (причем полноценный набор:фас, профиль, профиль с улыбкой, обнажение резцов в покое...) это все имеет значение при составлении плана лечения и выбора методики. Проблема в том, что ничего и нет. На консультации сказала маме, что надо ждать созревания и прорезывания зубов. но потом еще раз КТ посмотрела и решила, что надо действовать сейчас! Буду вызывать на модели и снимки. Ссылка на комментарий
Yana guapa Опубликовано 28 апреля, 2016 Поделиться Опубликовано 28 апреля, 2016 Проблема в том, что ничего и нет. На консультации сказала маме, что надо ждать созревания и прорезывания зубов. но потом еще раз КТ посмотрела и решила, что надо действовать сейчас! Буду вызывать на модели и снимки.Вам это необходимо! Так почему решили кт сделать не в прикусе? Или не предупредили просто и ребёнок открыл Рот? Ссылка на комментарий
LeFor Опубликовано 8 мая, 2016 Поделиться Опубликовано 8 мая, 2016 и ЛОРа желательно другого найти.... этот шаблон "после 17-18" сразу вызывает подозрение... Ссылка на комментарий
Рекомендуемые сообщения
Для публикации сообщений создайте учётную запись или авторизуйтесь
Вы должны быть пользователем, чтобы оставить комментарий
Создать аккаунт
Зарегистрируйте новый аккаунт в нашем сообществе. Это очень просто!
Регистрация нового пользователяВойти
Уже есть аккаунт? Войти в систему.
Войти