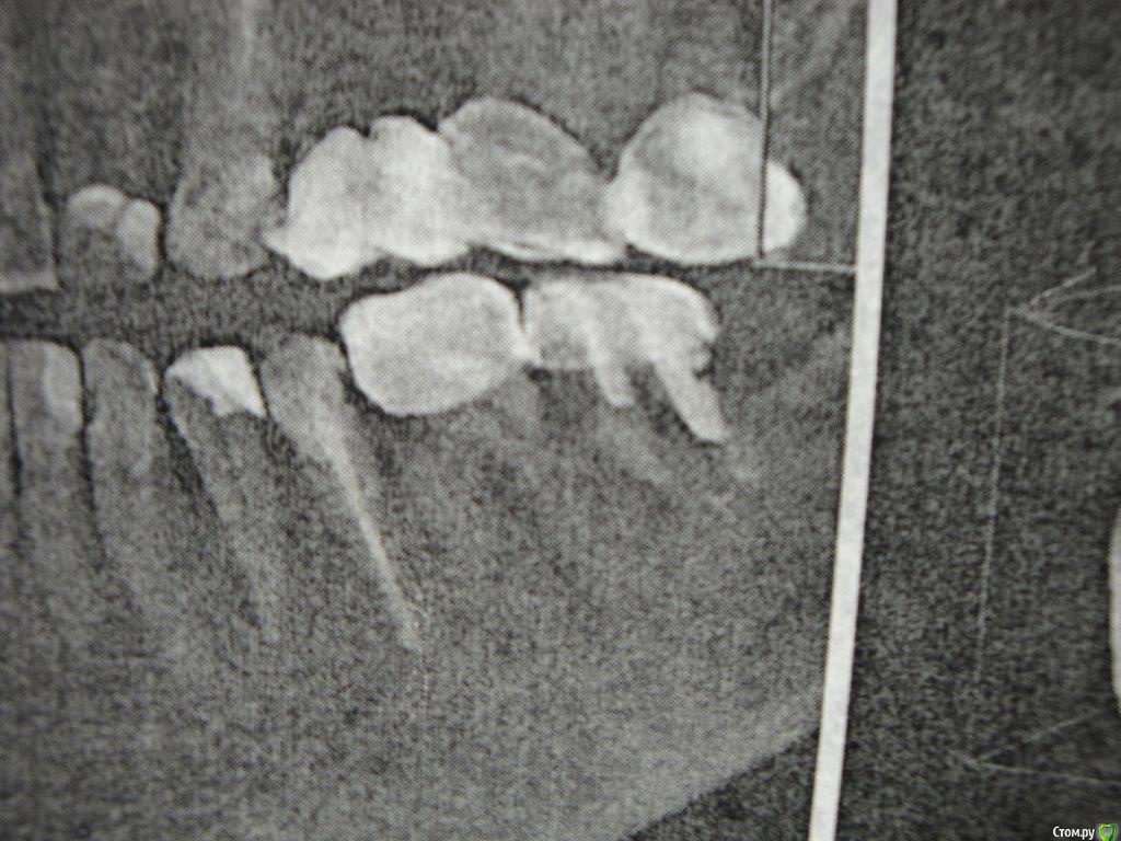
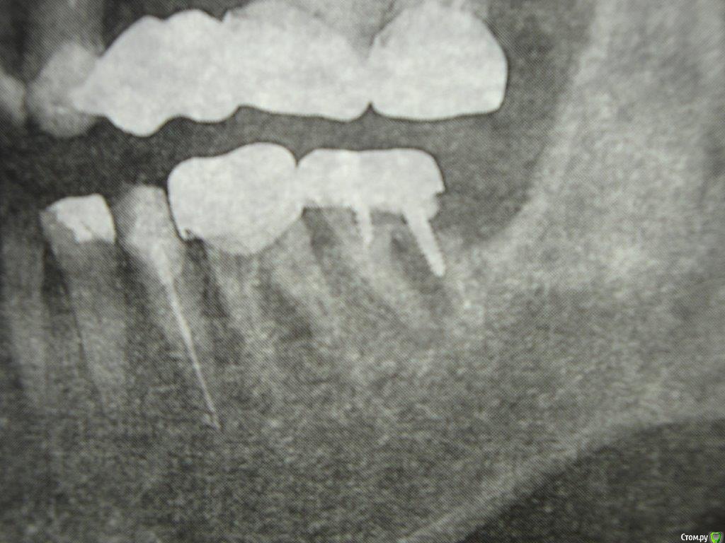
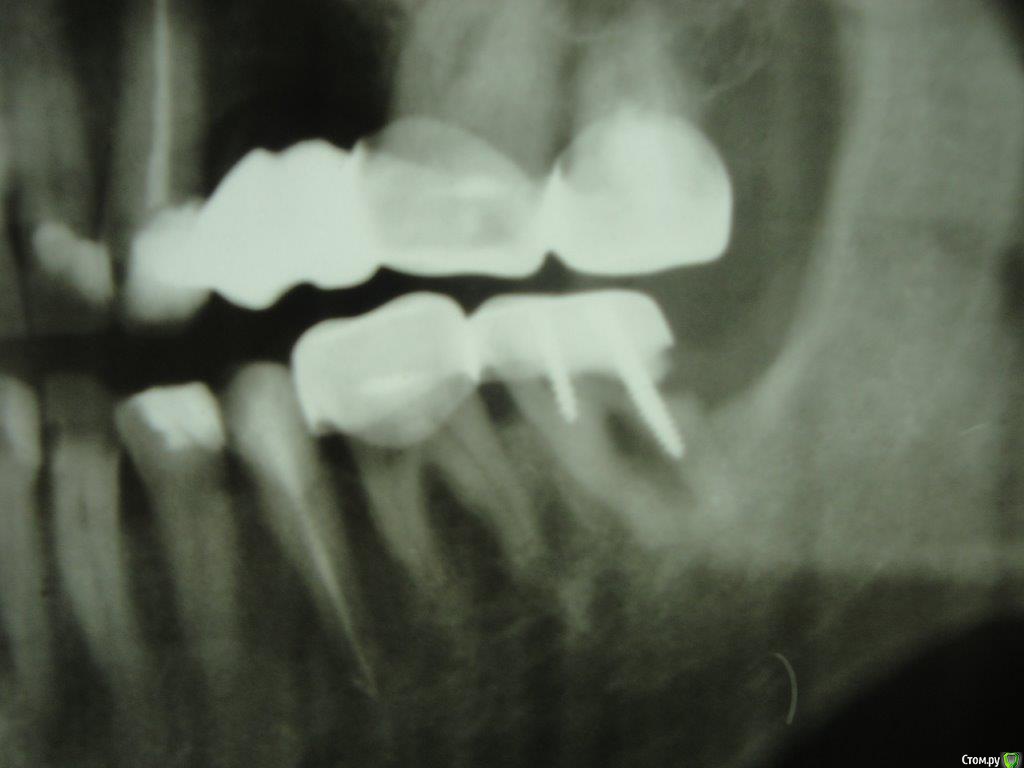
Коша Опубликовано 26 апреля, 2016 Поделиться Опубликовано 26 апреля, 2016 Здравствуйте!Подскажите пожалуйста!можно ли восстановить 7снизу слева зуб. пару врачей мне сказали, что нужно удалять, но вера в современную стоматологию, еще теплит надежду, что возможно еще можно над ним поработать, и пока оставить его!Зуб не болит, я им жую, но стала образовываться щель между телом зуба и краем коронки.Есть несколько снимков (отрывки с панорамных снимков)- прилагаю их. Ссылка на комментарий
Гарриевич Опубликовано 26 апреля, 2016 Поделиться Опубликовано 26 апреля, 2016 удалятьмедицина бессильна 1 Ссылка на комментарий
red_butler Опубликовано 26 апреля, 2016 Поделиться Опубликовано 26 апреля, 2016 Удалять 1 Ссылка на комментарий
Vladimirov Опубликовано 26 апреля, 2016 Поделиться Опубликовано 26 апреля, 2016 удалять медицина бессильна Удалять у нас в госках ещё и не такие "восстанавливают" Коша,удаляйте! Ссылка на комментарий
St. Опубликовано 26 апреля, 2016 Поделиться Опубликовано 26 апреля, 2016 Зуб без шансов. Удаляйте. Ссылка на комментарий
Коша Опубликовано 27 апреля, 2016 Автор Поделиться Опубликовано 27 апреля, 2016 удалятьмедицина бессильнаГрустное СПАСИБО! Ссылка на комментарий
Коша Опубликовано 27 апреля, 2016 Автор Поделиться Опубликовано 27 апреля, 2016 УдалятьГрустное СПАСИБО! Ссылка на комментарий
Коша Опубликовано 27 апреля, 2016 Автор Поделиться Опубликовано 27 апреля, 2016 у нас в госках ещё и не такие "восстанавливают" Коша,удаляйте!Грустное СПАСИБО! Ссылка на комментарий
Коша Опубликовано 27 апреля, 2016 Автор Поделиться Опубликовано 27 апреля, 2016 Зуб без шансов. Удаляйте.Грустное СПАСИБО! Ссылка на комментарий
Рекомендуемые сообщения
Для публикации сообщений создайте учётную запись или авторизуйтесь
Вы должны быть пользователем, чтобы оставить комментарий
Создать аккаунт
Зарегистрируйте новый аккаунт в нашем сообществе. Это очень просто!
Регистрация нового пользователяВойти
Уже есть аккаунт? Войти в систему.
Войти