Перейти к содержанию
Стоматология для всех

Показания к установке брекетов и ЧЛХ


nikspec

Рекомендуемые сообщения

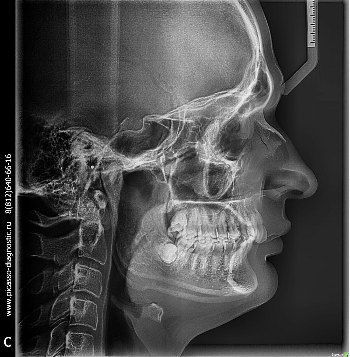
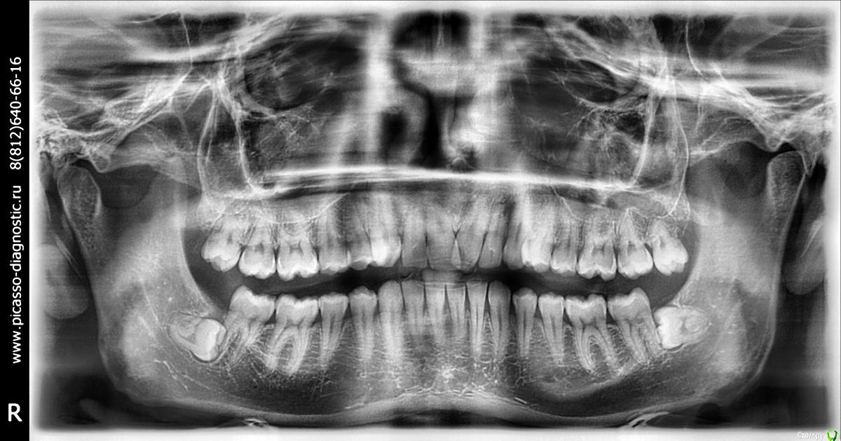
Мне 28 лет. У меня нет ни одной пломбы. Всю жизнь я хожу к стоматологом только на гигиеническую чистку. Последние несколько лет мне уже несколько врачей рекомендовали удалить четвёрки и поставить брекеты для исправления дистального прикуса. Один из ортодонтов также предлагал ЧЛХ нижней челюсти. Основной аргумент у врачей, что если не снизить нагрузку на дёсны от неправильного прикуса, то уже лет через 5 зубы начнут выпадать. Как видно на фото, дёсны уже значительно сползли, появился клиновидный дефект. С эстетической точки зрения меня всё устраивает. Хочу услышать ещё несколько мнений, как бороться с опусканием дёсен и стоит-ли заниматься исправлением прикуса.

post-47725-0-33598500-1461613711_thumb.jpg

post-47725-0-30548900-1461613714_thumb.jpg

post-47725-0-71683300-1461613717_thumb.jpg

post-47725-0-91156600-1461613723_thumb.jpg

post-47725-0-48257300-1461613731_thumb.jpg

Изменено пользователем nikspec
Ссылка на комментарий

Для публикации сообщений создайте учётную запись или авторизуйтесь

Вы должны быть пользователем, чтобы оставить комментарий

Создать аккаунт

Зарегистрируйте новый аккаунт в нашем сообществе. Это очень просто!

Регистрация нового пользователя

Войти

Уже есть аккаунт? Войти в систему.

Войти
×
×
  • Создать...
Вверх