Перейти к содержанию
Стоматология для всех

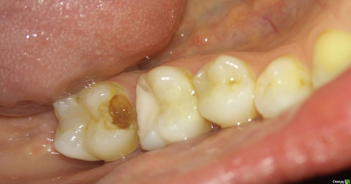
вылетела пломба, насколько срочно нужно закрыть дырку?


p@radox

Рекомендуемые сообщения

Только уехал заграницу и как назло вылетела пломба  :dash1:

Ближайшее время когда может принять проверенный местный стоматолог - через неделю. Записался к нему.

Можно ли ходить с такой дыркой неделю, или стоит пойти к любому который примет и поставить временную пломбу?

Если временную то цементную просить? обычные временные помню вылетали за 1-2 дня

зуб не болит, реагирует на холодную воду но вполне терпимо.

 

post-47350-0-33751700-1461590872_thumb.jpg

Ссылка на комментарий

Для публикации сообщений создайте учётную запись или авторизуйтесь

Вы должны быть пользователем, чтобы оставить комментарий

Создать аккаунт

Зарегистрируйте новый аккаунт в нашем сообществе. Это очень просто!

Регистрация нового пользователя

Войти

Уже есть аккаунт? Войти в систему.

Войти
×
×
  • Создать...
Вверх