kamranchick Опубликовано 25 апреля, 2016 Поделиться Опубликовано 25 апреля, 2016 Пациентка обратилась с целью восстановления жевательного отдела.финансовый вопрос не интересует, хотелось бы чтобы с минимальными рисками.1.я думаю - удаление, 3 винта, сосидж, 5 пинов.чтобы вы предложили? Ссылка на комментарий
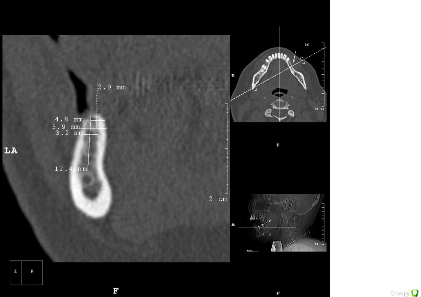
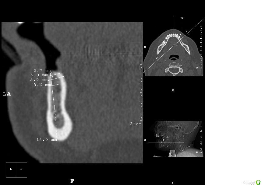
dantist_movani Опубликовано 2 мая, 2016 Поделиться Опубликовано 2 мая, 2016 Без обид, но срезы вообще ни о чем! Если есть рентгенолог или более опытный врач, сделайте новые срезы и залейте, посмотрим. Что хотите удалять, тоже не понял Ссылка на комментарий
kamranchick Опубликовано 2 мая, 2016 Автор Поделиться Опубликовано 2 мая, 2016 Без обид, но срезы вообще ни о чем! Если есть рентгенолог или более опытный врач, сделайте новые срезы и залейте, посмотрим. Что хотите удалять, тоже не понялСпасибо, ответы давно уже получил, и дело не в срезах вовсе, чем вам срезы не угодили? Ссылка на комментарий
dantist_movani Опубликовано 2 мая, 2016 Поделиться Опубликовано 2 мая, 2016 Спасибо, ответы давно уже получил, и дело не в срезах вовсе, чем вам срезы не угодили?на срезах указаны позиции 3.5,3.6,3.7,3.8? В какие позиции "3 винта" и что удалить, я просто может не понял? Ссылка на комментарий
kamranchick Опубликовано 2 мая, 2016 Автор Поделиться Опубликовано 2 мая, 2016 ну я указал 3 сегмент, 3 винта, следовательно удаление 5 го зуба, установка имплантатов в область 35 36 и 37 Ссылка на комментарий
dantist_movani Опубликовано 2 мая, 2016 Поделиться Опубликовано 2 мая, 2016 ну я указал 3 сегмент, 3 винта, следовательно удаление 5 го зуба, установка имплантатов в область 35 36 и 37 так там и так 3.5 нет. Ссылка на комментарий
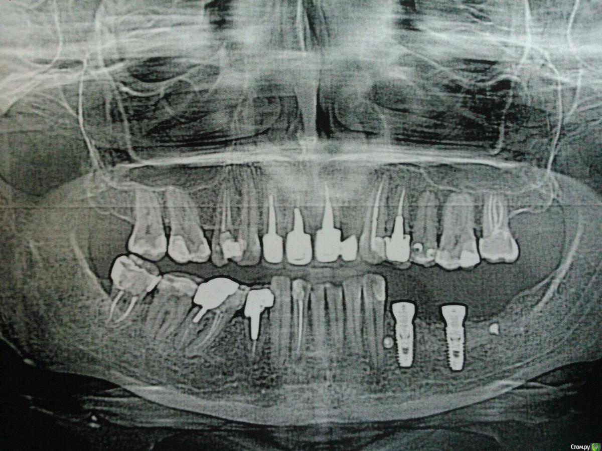
dantist_movani Опубликовано 2 мая, 2016 Поделиться Опубликовано 2 мая, 2016 Ось имплантата в проекции 3.7 слишком язычная, так же имплантат устанавливали? Ссылка на комментарий
kamranchick Опубликовано 3 мая, 2016 Автор Поделиться Опубликовано 3 мая, 2016 Тут 2ух этапно я пошёл, сначала НКР Ссылка на комментарий
kamranchick Опубликовано 27 мая, 2016 Автор Поделиться Опубликовано 27 мая, 2016 Сори за качество фото... 1 Ссылка на комментарий
kamranchick Опубликовано 30 января, 2017 Автор Поделиться Опубликовано 30 января, 2017 Как у Skipa написано так и у меня в головекогда я узнал все ответы на свои вопросы, поменялись все вопросы Ссылка на комментарий
Доктор Добрых Дел Опубликовано 31 января, 2017 Поделиться Опубликовано 31 января, 2017 Аугментата пожалели мне кажется, объёма не особо добавится. Почему винты сразу не захотели? Вроде кости много. Ссылка на комментарий
Тимур86 Опубликовано 31 января, 2017 Поделиться Опубликовано 31 января, 2017 Это,как я понял,конечный результат Ссылка на комментарий
kamranchick Опубликовано 1 февраля, 2017 Автор Поделиться Опубликовано 1 февраля, 2017 Это,как я понял,конечный результатДа тим. Ссылка на комментарий
kamranchick Опубликовано 1 февраля, 2017 Автор Поделиться Опубликовано 1 февраля, 2017 Аугментата пожалели мне кажется, объёма не особо добавится. Почему винты сразу не захотели? Вроде кости много.Побоялся что если что то пойдет не так то придется все выгребать))Кости если честно не пожалел, не знаю куда он ушел, была ауто кость 2 грамма gen os и 0 5 альфа био графта Ссылка на комментарий
dzhancha Опубликовано 25 января, 2018 Поделиться Опубликовано 25 января, 2018 Побоялся что если что то пойдет не так то придется все выгребать))Кости если честно не пожалел, не знаю куда он ушел, была ауто кость 2 грамма gen os и 0 5 альфа био графтаБрали ауто чем? Ссылка на комментарий
kamranchick Опубликовано 30 января, 2018 Автор Поделиться Опубликовано 30 января, 2018 скальпелем 11 и тонкими фрезами Альфа био) Ссылка на комментарий
Рекомендуемые сообщения
Для публикации сообщений создайте учётную запись или авторизуйтесь
Вы должны быть пользователем, чтобы оставить комментарий
Создать аккаунт
Зарегистрируйте новый аккаунт в нашем сообществе. Это очень просто!
Регистрация нового пользователяВойти
Уже есть аккаунт? Войти в систему.
Войти