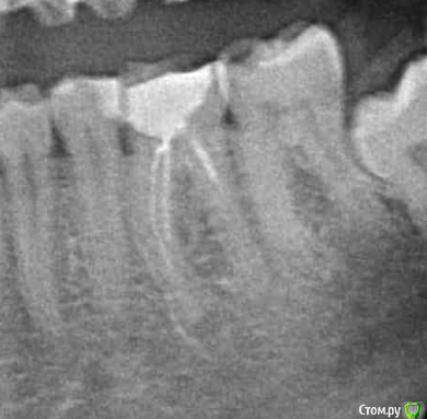
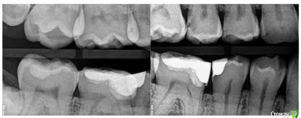
alex2016 Опубликовано 23 апреля, 2016 Поделиться Опубликовано 23 апреля, 2016 Добрый день, Сегодня был у стоматолога в профилактических целях. Т.к. нахожусь в США, то насчитали на ремонт 2600$ (учитывая страховку), т.к. 2600 тратить не сильно горю желанием хочу посоветоваться. Вопрос #1. В одном из зубов (его назвали №19 вроде как, снимок 1) врач обнаружил абсцесс. В этом зубе делали депульпирование и врач сказал, что депульпирование было сделано не до конца и на снимке это видно, т.е. они хотят заново вскрывать канал и заливать его (оба). К тому же он сказал, что в канале застрял кончик сверла (тут не уверен что это называется именно сверло) и его придётся доставать, возможно со стороны десны, если традиционным методом сделать это не получится. Абцесс он мне показал на снимке как небольшое затемнение на челюсти. Зуб не болит и кроме того, что между ним застряёт еда и он сам выглядит не презентабельно ничем не мешает, врач предлагает ставить коронку. Насчёт коронки возражений нету, т.к. еда застряёт и зуб выглядит не презентабельно, хотя в глаза это не бросается т.к. это моляр, а вот насчёт абсцесса я бы хотел уточнить здесь и получить второе мнение. Вопрос #2. Доктор предлагает поставить коронку на зубе #30, картинка #2. Хотя на зубе и достаточно большая пломба, он не выглядит не презентабельно и абсолютно не беспокоит, конечно, он выглядит чуть хуже обычного зуба, но гораздо лучше зуба #1. Сам я склоняюсь к тому, что пока с этим зубом делать ничег не нужно, но второе мнение хотелось бы всё-таки выслушать. Вопрос #3. Доктор предлагает удалить верхние зубы мудрости, т.к. они оказывают давление на дёсны или ещё куда-то там. Здесь я склоняюсь к тому, что он может быть прав насчёт верхнего зуба, потому что у меня там периодически застряёт еда между десной и самим зубом и вызывает неприятные ощущения, правый верхний зуб мудрости абсолютно никаких негативных ощущений не вызывает. Есть ли возможность избавиться от застрявания еды между зубом и десной (это происходит сзади-справа) без удаления зуба? Можно ли удалять один зуб мудрости, а не оба? Вопрос #4. У меня не правильный прикус из-за которого сточились передние верхние зубы, доктор предлагает удалить два верхних зуба, которые идут за клыками, подтянуть верхние передние зубы вперёд и поставить на них коронки, чтобы вернуть хороший прикус и эстетику (сейчас при закрытом рте расстояние между передними зубами верхней челюсти и нижней примерно в 1см). Вся эта процедура займёт кучу времени, т.к. придётся ставить брекет систему и удалять зубы. В клинике в Киеве мне тоже предлагали такой вариант. Зубы хочу сделать, чтобы улыбка стала красивее, поэтому вопросы: А. Обязательно ли удалять 2 зуба для этой процедуры?Б. Если удалить два верхних зуба мудрости, не отодвинутся ли зубы назад сами по себе?В. Хороший ли вариант ставить коронки на абсолютно здоровые, но немного сточенные зубы дли улучшения эстетики? Возможно зубы можно просто нарастить?Г. Не повлияет ли удаление двух зубов на положение верхней губы? При закрытом рте отклонений в прикусе особо не заметно. Благодарю за ответы. Ссылка на комментарий
DmitrySH Опубликовано 23 апреля, 2016 Поделиться Опубликовано 23 апреля, 2016 Вопрос 1.Да, ревизия каналов нужна, коронка нужна, инструмента не увидел на снимке, самое интересное срезано.. нужен снимок еще как минимум 5 мм ниже. Ссылка на комментарий
DmitrySH Опубликовано 23 апреля, 2016 Поделиться Опубликовано 23 апреля, 2016 вопрос 2.Может быть не коронку, но керамический оверлей очень кстати, и вкладку или пломбу на 5ый зуб перед ним и 5ый над ним. Ссылка на комментарий
DmitrySH Опубликовано 23 апреля, 2016 Поделиться Опубликовано 23 апреля, 2016 3 вопрос, скорее всего да, но не по снимку об этом рассуждать Ссылка на комментарий
alex2016 Опубликовано 23 апреля, 2016 Автор Поделиться Опубликовано 23 апреля, 2016 (изменено) Вопрос 1.Да, ревизия каналов нужна, коронка нужна, инструмента не увидел на снимке, самое интересное срезано.. нужен снимок еще как минимум 5 мм ниже.Вот сделал скриншот с другой фотографии. Качество какое есть, если нужно могу спросить нет ли у них качества получше, такое впечатление что отсканировали в самом плохом качестве, т.к. то что они мне показывали выглядело более детализировано. вопрос 2.Может быть не коронку, но керамический оверлей очень кстати, и вкладку или пломбу на 5ый зуб перед ним и 5ый над ним.Благодарю. Доктор, почему-то не упоминал об этой возможности, рассказывал только про импланты и коронки. Уточню насчёт этого. 3 вопрос, скорее всего да, но не по снимку об этом рассуждатьДа в плане того, что можно удалять только один зуб, или то, что можно избавиться от проблемы без удаления зуба? Зуб не болит абсолютно и я даже не знал о том, что это зуб мудрости, просто когда я ем орехи или морковку и они попадают между десной и зубом, то десна воспаляется и вызывает неприятные ощущения, вот сейчас абсолютно нормально и зуб не достаёт совсем, но когда доктор смотрел этот зуб я отчётливо понял, что это именно то место, потому что он его немного зацепил своим прибором, т.е. какая-то проблема там есть, но неужели такая мелочь решается только методом удаления зуба? Изменено 23 апреля, 2016 пользователем alex2016 Ссылка на комментарий
alex2016 Опубликовано 23 апреля, 2016 Автор Поделиться Опубликовано 23 апреля, 2016 (изменено) Изменено 23 апреля, 2016 пользователем alex2016 Ссылка на комментарий
DmitrySH Опубликовано 23 апреля, 2016 Поделиться Опубликовано 23 апреля, 2016 По таком снимку тоже наличие/отсутствие инородного тела в канале сложно определить, но факт что требуется лечение.Ваши верхние восьмые зубы не используются по назначению. Можете смело удалять, в функциональном аспекте ничего не потеряете. 1 Ссылка на комментарий
Рекомендуемые сообщения
Для публикации сообщений создайте учётную запись или авторизуйтесь
Вы должны быть пользователем, чтобы оставить комментарий
Создать аккаунт
Зарегистрируйте новый аккаунт в нашем сообществе. Это очень просто!
Регистрация нового пользователяВойти
Уже есть аккаунт? Войти в систему.
Войти