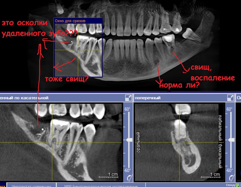
Milana34 Опубликовано 23 апреля, 2016 Поделиться Опубликовано 23 апреля, 2016 Добрый день, проконсультируйте, пожалуйста! Проблема - свищ, который сейчас лечу. Но его смотреть не нужно, шансы его спасти, как сказали несколько докторов ,есть, но малы. А вот симметрично ему (подписала стрелками) на зубе 6 с др. стороны - там тоже воспаление??? При пальпации как шишечка внутри… То ли лимфоузел, то ли слюнная железа… непонятно. И 7 удаленная - такое ощущение, что не до конца удалили… Переживаю... Ссылка на комментарий
Гарриевич Опубликовано 23 апреля, 2016 Поделиться Опубликовано 23 апреля, 2016 Норма ли? НормаВ остальном киньте ссылку на КТ, посмотрим Ссылка на комментарий
Doctor Vlad Опубликовано 24 апреля, 2016 Поделиться Опубликовано 24 апреля, 2016 скорее остатки пломб материала, ничего страшного Ссылка на комментарий
Doctor Vlad Опубликовано 24 апреля, 2016 Поделиться Опубликовано 24 апреля, 2016 слева где свищ))) деструкция костной ткани в фуркации 36 зуба- не норм Ссылка на комментарий
Рекомендуемые сообщения
Для публикации сообщений создайте учётную запись или авторизуйтесь
Вы должны быть пользователем, чтобы оставить комментарий
Создать аккаунт
Зарегистрируйте новый аккаунт в нашем сообществе. Это очень просто!
Регистрация нового пользователяВойти
Уже есть аккаунт? Войти в систему.
Войти