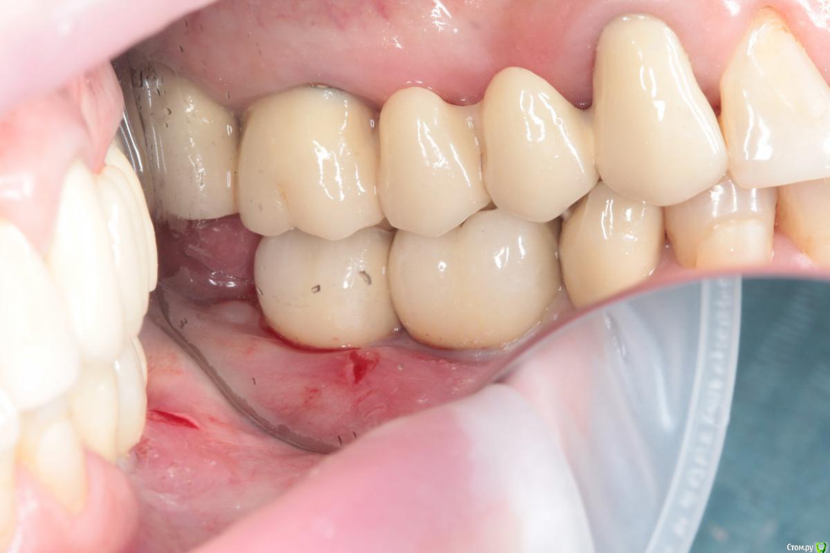
art700 Опубликовано 22 апреля, 2016 Поделиться Опубликовано 22 апреля, 2016 (изменено) Пришла пациентка по рекомендации заменить коронки в одном сегменте, жалобы постоянные расцеменировка конструкции. Фото старых абатментов и коронок есть. Фото сразу после фиксации. Отжимал десну на временных около месяца, чуть бльше может. До этого фото нету, было все не гуд. Критикуйте. Кстати, вопрос тем кто фиксирует такие дефекты с коффером, как поступаете при концевом дефекте? Остальное не мое, 3.4 планируется переделать забегая вперед. Изменено 22 апреля, 2016 пользователем art700 4 Ссылка на комментарий
Fibez Опубликовано 22 апреля, 2016 Поделиться Опубликовано 22 апреля, 2016 а зачем фиксировать тут с кофером? думаете будет разница? Ссылка на комментарий
art700 Опубликовано 22 апреля, 2016 Автор Поделиться Опубликовано 22 апреля, 2016 Не знаю. Просто поинтресовался. Ссылка на комментарий
DR.P Опубликовано 22 апреля, 2016 Поделиться Опубликовано 22 апреля, 2016 (изменено) А зачем критиковать? Только хвалить! Изменено 22 апреля, 2016 пользователем DR.P Ссылка на комментарий
chervoncevdaniil Опубликовано 22 апреля, 2016 Поделиться Опубликовано 22 апреля, 2016 Транферы не связываете? Ссылка на комментарий
art700 Опубликовано 22 апреля, 2016 Автор Поделиться Опубликовано 22 апреля, 2016 (изменено) Транферы не связываете?В данном случае нет. В основном при больших объемах работ. Изменено 22 апреля, 2016 пользователем art700 Ссылка на комментарий
Aquarius Опубликовано 22 апреля, 2016 Поделиться Опубликовано 22 апреля, 2016 (изменено) вообще тема со связыванием достойна дебатов за столом с , как минимум, пяти литрами пенного, и 0,5 ледяной водки сверху. Зачем??? Этот долбанный флосс с паттерном коверкает положение трансферов во рту???? Раньше было дело, верил Изменено 22 апреля, 2016 пользователем Aquarius 2 Ссылка на комментарий
chervoncevdaniil Опубликовано 22 апреля, 2016 Поделиться Опубликовано 22 апреля, 2016 вообще тема со связыванием достойна дебатов за столом с , как минимум, пяти литрами пенного, и 0,5 ледяной водки сверху. Зачем??? Этот долбанный флосс с паттерном коверкает положение трансферов во рту???? Раньше было дело, верилМожет действительно дело веры,но я делал и со связыванием и без,одинаковая масса,один и тот же техник-когда связывал-работа всегда садилась пассивно,когда не связывал-пару раз были проблемы с пассивностью посадки,поэтому для себя решил в рулетку не играть Ссылка на комментарий
Aquarius Опубликовано 22 апреля, 2016 Поделиться Опубликовано 22 апреля, 2016 Дань, ну бред же. И на стомате терли. Что за погрешность такая при посадке трансфера в гнездо , что ведет при сокращении пластмассы? Ссылка на комментарий
chervoncevdaniil Опубликовано 22 апреля, 2016 Поделиться Опубликовано 22 апреля, 2016 (изменено) Дань, ну бред же. И на стомате терли. Что за погрешность такая при посадке трансфера в гнездо , что ведет при сокращении пластмассы? Как сказал Евгений Рыбалка,в стоматологии многое зависит от веры недавно с Дмитрием Никоненко на facebook обсуждали эту тему,он очень разумные доводы приводил почему чеки-зло,но у меня почему то с ними работает лучше.Я не вяжу флосом,они у меня разрезанные и соединяю каплей паттерна.Я не отрицаю,что у кого то и без чеков все ОК с посадкой Изменено 22 апреля, 2016 пользователем chervoncevdaniil Ссылка на комментарий
Aquarius Опубликовано 22 апреля, 2016 Поделиться Опубликовано 22 апреля, 2016 ну чек это чек, ты нивелируешь какую-то усадку. А нитка с пластмассой? Там допуски то стандартные, не сдвинешь Ссылка на комментарий
Доктор Дмитрий Опубликовано 23 апреля, 2016 Поделиться Опубликовано 23 апреля, 2016 Все подвергайте сомнению, не сотвори себе кумира. Вы ,Даниил слишком часто Рыбалко упоминание, еще немного времени пройдет может поменяет свое мнение. Ссылка на комментарий
chervoncevdaniil Опубликовано 23 апреля, 2016 Поделиться Опубликовано 23 апреля, 2016 Все подвергайте сомнению, не сотвори себе кумира. Вы ,Даниил слишком часто Рыбалко упоминание, еще немного времени пройдет может поменяет свое мнение.Может быть,но я был на учебе практически у всех достойных на мой взгляд лекторов,и его уровень знаний мне показался самым авторитетным Ссылка на комментарий
Magomed Опубликовано 23 апреля, 2016 Поделиться Опубликовано 23 апреля, 2016 с опытом все перестают верить кумиром. 1 Ссылка на комментарий
Рекомендуемые сообщения
Для публикации сообщений создайте учётную запись или авторизуйтесь
Вы должны быть пользователем, чтобы оставить комментарий
Создать аккаунт
Зарегистрируйте новый аккаунт в нашем сообществе. Это очень просто!
Регистрация нового пользователяВойти
Уже есть аккаунт? Войти в систему.
Войти