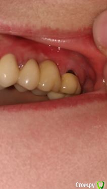
Коронка Опубликовано 20 апреля, 2016 Поделиться Опубликовано 20 апреля, 2016 Добрый день!У меня стоит коронка на верхнем 7 зубе. За 3 года отошла десна, миллиметра на 2. Мой врач, который ставил коронку, сказал, что это норма. Да, зуб не видно, но же он оголен, именно из-за чего, как я подозреваю, он уже расцементировывался ( или как это сказать?) и повторно ставился на цемент. Он же портится и гниет?Можно ли мне сделать лоскутную операцию или иным образом закрыть дыру между коронкой и десной? Ссылка на комментарий
IvanK Опубликовано 20 апреля, 2016 Поделиться Опубликовано 20 апреля, 2016 Здравствуйте, выложите снимок Ссылка на комментарий
Коронка Опубликовано 20 апреля, 2016 Автор Поделиться Опубликовано 20 апреля, 2016 (изменено) Рентген?Пока у меня его нету.Поняла, что без этого никак.Спасибо Изменено 20 апреля, 2016 пользователем Коронка Ссылка на комментарий
IvanK Опубликовано 20 апреля, 2016 Поделиться Опубликовано 20 апреля, 2016 Рентген? да Пока у меня его нету. Поняла, что без этого никак. ждем Ссылка на комментарий
Коронка Опубликовано 20 апреля, 2016 Автор Поделиться Опубликовано 20 апреля, 2016 (изменено) Подскажите последнее.Чисто теоретически, при полном порядке с зубом, такие операции с десной и коронкой делают?Просто я не пойму слова своего врача про "а что ты хотела? это нормально для металлокерамики", хотя в живую мой зуб он еще не видел (Увидит на выходных) Изменено 20 апреля, 2016 пользователем Коронка Ссылка на комментарий
Ирина Игоревна Опубликовано 20 апреля, 2016 Поделиться Опубликовано 20 апреля, 2016 Сначала нужно выяснить причину, для этого необходим снимок Ссылка на комментарий
Рекомендуемые сообщения
Для публикации сообщений создайте учётную запись или авторизуйтесь
Вы должны быть пользователем, чтобы оставить комментарий
Создать аккаунт
Зарегистрируйте новый аккаунт в нашем сообществе. Это очень просто!
Регистрация нового пользователяВойти
Уже есть аккаунт? Войти в систему.
Войти