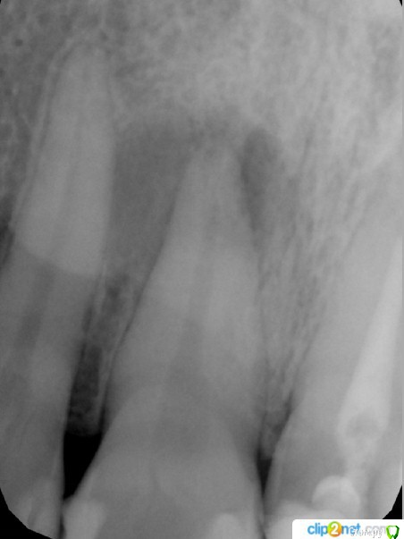
mikedolev Опубликовано 19 апреля, 2016 Поделиться Опубликовано 19 апреля, 2016 Пару лет назад заметил ощущение пульсирования около 11 зуба, спустя неделю оно пропало, несколько раз возникало снова на пару дней и 3 дня назад стало явственно ощущаться в том числе и в течение дня и мешать жить. Боли на холодное-горячее, и накусывание нет. Пошел в ДМС, врач посмотрел снимок (12, 11, 21) и определил что это киста, на его мониторе потемнение было более очевидным и на старом снимке такое же потемнение тоже присутствовало.Программа лечения выбрана "консервативная", в зубе распломбировали канал, промыли заложили пасту Каласепт (если не ошибаюсь в названии), закрыли временной пломбой, через неделю менять пасту и далее каждые 3 месяца такая манипуляция, и возможно через год все нормализуетсяПрошу подсказать верный ли метод лечения выбран, когда (и нужно ли?) задумываться о резекции корня? Ссылка на комментарий
DmitrySH Опубликовано 19 апреля, 2016 Поделиться Опубликовано 19 апреля, 2016 Метод верный, но обычно на такие сроки "Каласепт" не оставляем. 2-3 недели и на второй визит, если нет жалоб, то постоянная пломбировка. Сейчас о резекции задумываться рано. При отсутвии жалоб через 6, 12, 24 мес после лечения сделать контрольные снимки и если эндодонтическое лечение окажется неэффективным, тогда уже резекция. 2 Ссылка на комментарий
IvanK Опубликовано 20 апреля, 2016 Поделиться Опубликовано 20 апреля, 2016 на второй визит, если нет жалоб, то постоянная пломбировка. Сейчас о резекции задумываться рано.+1 Ссылка на комментарий
Гарриевич Опубликовано 20 апреля, 2016 Поделиться Опубликовано 20 апреля, 2016 Я бы не сказал, что он совсем не верный, но и верным его тоже назвать не могу. Как выше писали, через две недели можно зуб закрыватьЗуб лечат не наши лекарства, а ваш организм, наши манипуляции только помогают провести очистку от бактерий там, где организм не достаёт 6 Ссылка на комментарий
IvanK Опубликовано 20 апреля, 2016 Поделиться Опубликовано 20 апреля, 2016 Я бы не сказал, что он совсем не верный, но и верным его тоже назвать не могу. Как выше писали, через две недели можно зуб закрыватьЗуб лечат не наши лекарства, а ваш организм, наши манипуляции только помогают провести очистку от бактерий там, где организм не достаётхороший ответ!) Ссылка на комментарий
Рекомендуемые сообщения
Для публикации сообщений создайте учётную запись или авторизуйтесь
Вы должны быть пользователем, чтобы оставить комментарий
Создать аккаунт
Зарегистрируйте новый аккаунт в нашем сообществе. Это очень просто!
Регистрация нового пользователяВойти
Уже есть аккаунт? Войти в систему.
Войти