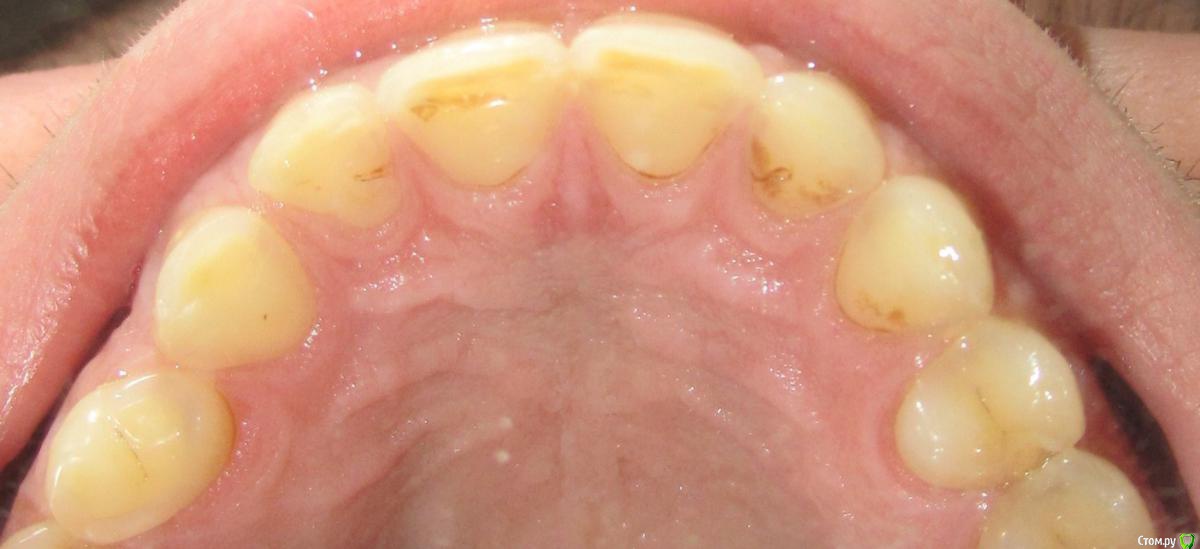
Coitus Interruptus Опубликовано 19 апреля, 2016 Поделиться Опубликовано 19 апреля, 2016 (изменено) Здравствуйте.Всё началось с того, как я догадался пить кока-колу, полоская ею рот, помногу и каждый день. Но в последние год-полтора начал ощущать что-то странное с задней стороны передних верхних зубов, и на просвет они стали тоньше, чётко видно линию изменения толщины, также заметны потемнения у их основания. Увеличилась чувствительность к температуре.Сходил к местному стоматологу не так давно, но он сказал лишь об относительно небольшом клиновидном дефекте, который у меня также имеет место быть. Про передние верхние зубки же- нет, у вас с ними всё почти нормально.Как к этому стоит относиться и что делать?В случае, если с этими зубами и правда всё не так нормально, есть способ их восстановить, или же скорее я останусь вообще без них? Изменено 19 апреля, 2016 пользователем Coitus Interruptus 1 Ссылка на комментарий
___49___ Опубликовано 19 апреля, 2016 Поделиться Опубликовано 19 апреля, 2016 Снимок не информативен. Ссылка на комментарий
Coitus Interruptus Опубликовано 19 апреля, 2016 Автор Поделиться Опубликовано 19 апреля, 2016 __49__Освещение, ракурс, разрешение? Что исправить? 1 Ссылка на комментарий
___49___ Опубликовано 19 апреля, 2016 Поделиться Опубликовано 19 апреля, 2016 (изменено) попробуйте сфотографировать то - что у вас вызывает беспокойство . На первом фото кроме налета я ничего толком не увидел. Фото не высокого разрешения, не четкие , сделайте в разных ракурсах. Да и колу замените на что ни будь, например молоко . Изменено 19 апреля, 2016 пользователем ___49___ Ссылка на комментарий
shishok Опубликовано 21 апреля, 2016 Поделиться Опубликовано 21 апреля, 2016 Вылечите кариес на 24 и 25 зубе(если уже не вылечили).Что у Вас с прикусом:видны участки стираемости по режущему краю передних зубов. 2 Ссылка на комментарий
Рекомендуемые сообщения
Для публикации сообщений создайте учётную запись или авторизуйтесь
Вы должны быть пользователем, чтобы оставить комментарий
Создать аккаунт
Зарегистрируйте новый аккаунт в нашем сообществе. Это очень просто!
Регистрация нового пользователяВойти
Уже есть аккаунт? Войти в систему.
Войти