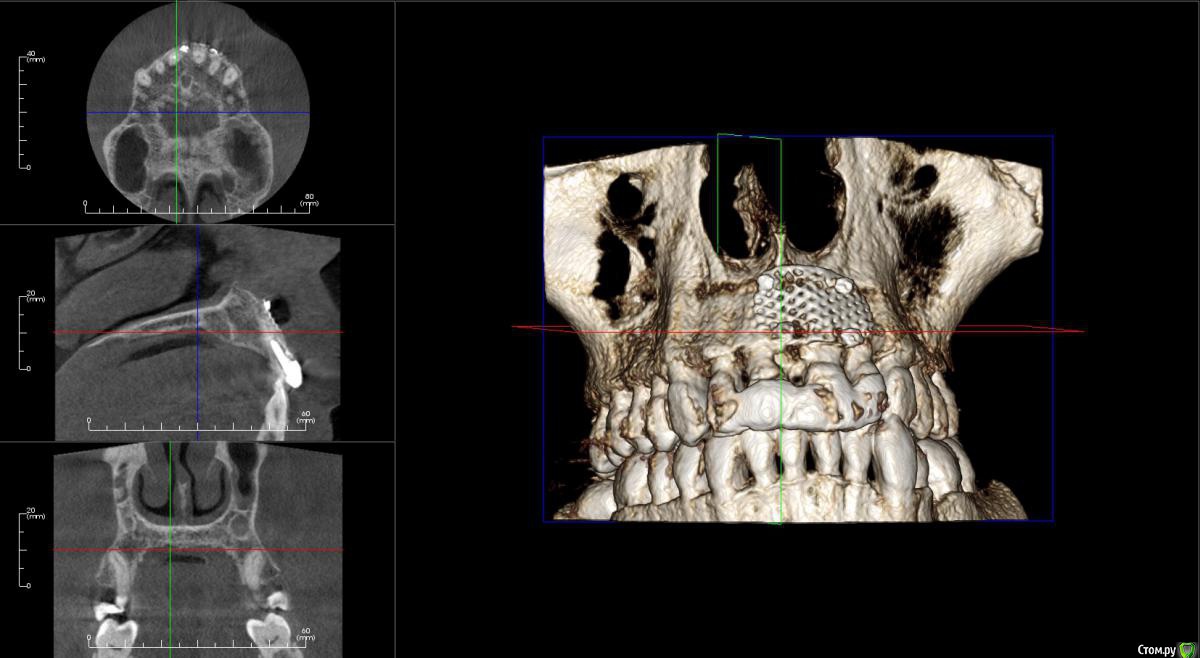
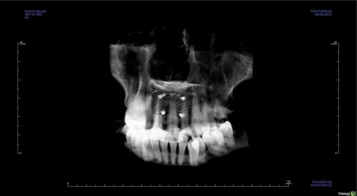
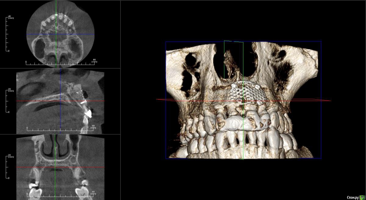
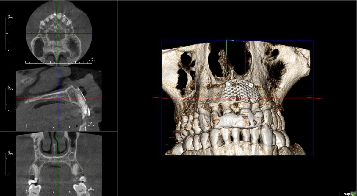
kamranchick Опубликовано 17 апреля, 2016 Поделиться Опубликовано 17 апреля, 2016 Пришел пациентДок привет, что то зуб шатается, можно ли его оставить, вот такие дела)как бы вы поступили бы? Ссылка на комментарий
Bier Опубликовано 17 апреля, 2016 Поделиться Опубликовано 17 апреля, 2016 репозиция и зашинировал бы просто брекетами 4 Ссылка на комментарий
Fibez Опубликовано 17 апреля, 2016 Поделиться Опубликовано 17 апреля, 2016 репозиция и шина ортодонтической проволкой на композит с заходом на 2 зуба слева-справа. срок на месяц. щадящая диета. наблюдение в динамике за витальностью. 6 мес, год. Ссылка на комментарий
dantist_movani Опубликовано 27 апреля, 2016 Поделиться Опубликовано 27 апреля, 2016 Пришел пациентДок привет, что то зуб шатается, можно ли его оставить, вот такие дела)как бы вы поступили бы?1)проверил бы на витальность2)Репозиция и шинирование орто ретейнером с жидкотекучим композитомпохожая ситуация была год назад, правда отлом кортикалки не столь значительный был. Ретейнер снял через 6 мес, все Ок, зуб не почернел♿, эод -8 в дуге, пац очень доволен Ссылка на комментарий
Рекомендуемые сообщения
Для публикации сообщений создайте учётную запись или авторизуйтесь
Вы должны быть пользователем, чтобы оставить комментарий
Создать аккаунт
Зарегистрируйте новый аккаунт в нашем сообществе. Это очень просто!
Регистрация нового пользователяВойти
Уже есть аккаунт? Войти в систему.
Войти