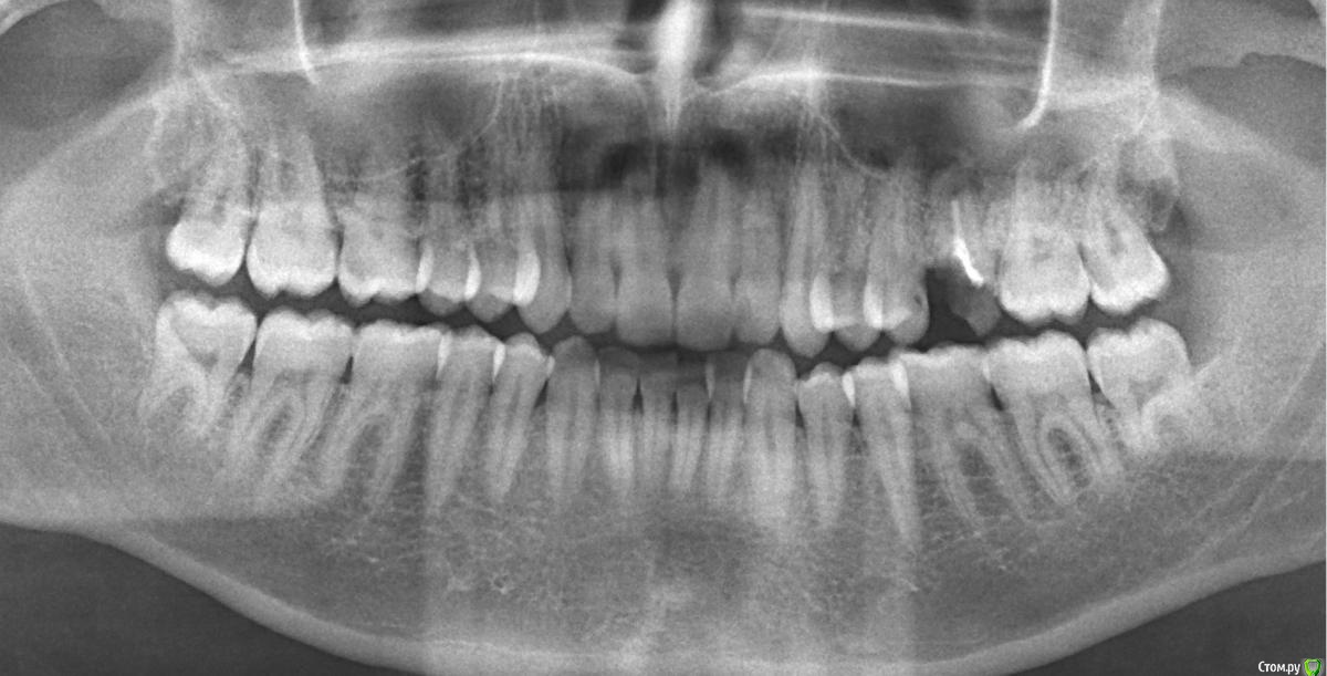
wainerrr Опубликовано 16 апреля, 2016 Поделиться Опубликовано 16 апреля, 2016 Здравствуйте! 3 дня назад выпала пломба, разрушился зуб, корни остались. Болевые ощущения пока не испытываю.Хотелось бы узнать стоит ли удалять сразу либо:1. перелечить корни, запломбировать и оставить (насколько это надежно и долго продержится ? )Как мне объяснили при выдаче снимка - залечен один корень и тот не до конца, остальные не тронуты, вокруг корня есть воспалениеВ августе 2015г. в этом месте был периодонтит вокруг корня, принимал цифран СТ500, прошло2. Есть ли он сейчас периодонтит (судя по снимкам)?3. До лечения нужно решить вопрос с периодонтитом?4. Как лучше перелечить:1) просто запломбировать корни ?2) запломбировать корни и установить в корни анкерные штифты (или стекловолоконные) на которые наростить пломбу ?3) запломбировать корни и установить в корни разборную штифтовую вкладку на которую наростить пломбу ? Каковы риски дальнейших воспалительных процессов при перелечивании ? 5. На зубе, находящимся рядом с разрушенным один врач глядя на потемнение сказал, что надо лечить, дугой сказал,что зуб в порядке -Ваше мнение? Спасибо ! Ссылка на комментарий
Ker Опубликовано 16 апреля, 2016 Поделиться Опубликовано 16 апреля, 2016 (изменено) Корни просто удалить, периодонтит есть и не маленький, соседний зуб лечить 100%. Изменено 16 апреля, 2016 пользователем Ker Ссылка на комментарий
IvanK Опубликовано 16 апреля, 2016 Поделиться Опубликовано 16 апреля, 2016 + к удалению Ссылка на комментарий
wainerrr Опубликовано 16 апреля, 2016 Автор Поделиться Опубликовано 16 апреля, 2016 Спасибо за ответ ! Хотелось бы уточнить - из-за чего сейчас происходит воспаление. ведь в корне пломба осталась ? Как снять воспаление или оно само пройдет после удаления ? Нужно ли ставить имплант сразу после удаления и ставить ли, если только один зуб потерян ? Ссылка на комментарий
Ker Опубликовано 16 апреля, 2016 Поделиться Опубликовано 16 апреля, 2016 Спасибо за ответ ! Хотелось бы уточнить - из-за чего сейчас происходит воспаление. ведь в корне пломба осталась ? Как снять воспаление или оно само пройдет после удаления ? Нужно ли ставить имплант сразу после удаления и ставить ли, если только один зуб потерян ?Наличие корневой пломбы не гарантирует отсутствие воспаления. Воспаление происходит из-за инфекционного процесса. Пройдет само после удаления, поскольку источник инфекции - зуб.Имплант лучшее решение, да. Ссылка на комментарий
Рекомендуемые сообщения
Для публикации сообщений создайте учётную запись или авторизуйтесь
Вы должны быть пользователем, чтобы оставить комментарий
Создать аккаунт
Зарегистрируйте новый аккаунт в нашем сообществе. Это очень просто!
Регистрация нового пользователяВойти
Уже есть аккаунт? Войти в систему.
Войти