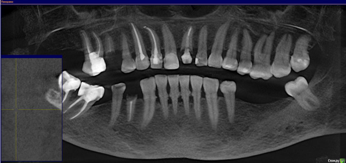
pioneer3 Опубликовано 12 апреля, 2016 Поделиться Опубликовано 12 апреля, 2016 Всем добрый день!На днях у мамы (54 года) сломался штифт в 21 зубе, терапевт попробовал его лечить, но он оказался хрупким и пришлось удалять.Заодно заметили глубокий кариес на 11, в итоге депульпировали и поставили временную пломбу. Спросили у врача насчет импланта на удаленный зуб, но - "так как соседние зубы депульпированы и считаются "мертвыми" долго они без коронок все равно не простоят", сказал что оптимальнее ставить мост - притом закрыть максимальное кол-во зубов, т.е. 5. В зону моста попадают:22 - леченый здоровый зуб21 - удален11 - депульпирован с временной пломбой12 - депульпирован со штифтом13 - депульпирован, но выглядит пока здоровым Подскажите пожалуйста:1) Действительно ли оптимальнее сейчас ставить мост?2) Закрывать ли мостом клык - 13, другой стоматолог сказал что можно с ним пока ничего не делать, но он не видел снимок?3) Что лучше - поставить "длинный" мост, или допустим на 3 зуба, а остальные отдельно закрыть коронками?4) Как я понимаю для коронки на 22 зуб у него не обязательно надо будет удалять корень?5) Зачем-то врач записал нас на постановку основной пломбы на 11 зуб, в свете будущей коронки, нужна ли она? И еще один вопрос, может не в той теме, но:6) у мамы на нижних зубах пародонтоз, как выразился врач "еще чуть-чуть и их можно будет вынимать руками", рекомендовал чистку, но после чисток зубы начинают сильно качаться, по этому очень страшно на ее соглашаться. Что можно сделать? Прикрепляю панорамный снимок с КТ, если будет нужно выложу и саму КТ (300мб)Заранее спасибо за помощь! Ссылка на комментарий
dok1 Опубликовано 13 апреля, 2016 Поделиться Опубликовано 13 апреля, 2016 Лучше делать все зубы отдельностоящими. И имплант с коронкой. Не нужно без причины связывать зубы между собой. Тем более разной групповой принадлежности. По вашему сномку возможность есть. Ссылка на комментарий
pioneer3 Опубликовано 13 апреля, 2016 Автор Поделиться Опубликовано 13 апреля, 2016 Спасибо за совет! Значит плохо, что уже удалили сломанный 21 - одномоментная имплантация не получится Да и мама говорит что уже настроилась на мост и коронки. Если не делать имплантацию, а допустим мост на 22-21-11 сколько он примерно сможет простоя на передних зубах, как я понял из интернета есть опасность расшатывания опорных зубов и деградации костной ткани?Или имплантация это единственный верный в данном случае вариант и мост даже обсуждать не стоит? Ссылка на комментарий
dok1 Опубликовано 14 апреля, 2016 Поделиться Опубликовано 14 апреля, 2016 Если есть возможность поставить имплант, то это всегда лучше. Но и мостовидный протез имеет право на жизнь. 2 Ссылка на комментарий
___49___ Опубликовано 14 апреля, 2016 Поделиться Опубликовано 14 апреля, 2016 (изменено) +1 к верхнему посту .Снимите камень с зубов, консультация пародонтолога, проф. гигиена раз в 6 мес. минимум, протезируйтесь комплексно с восстановлением всех групп зубов ..... в противном случае особого значения не имеет, что вы выполните - сроки службы конструкций будут минимальны. Изменено 14 апреля, 2016 пользователем ___49___ 1 Ссылка на комментарий
pioneer3 Опубликовано 6 мая, 2016 Автор Поделиться Опубликовано 6 мая, 2016 Спасибо всем за ответы! Но снова образовались вопросы После удаления 21 зуба на его место поставили временную пластмассовую коронку. Но сразу после установки она стала качаться и в конечном итоге в праздники вывалилась. Пришлось обращаться в ближайшую стоматологию что бы поставить ее на место. Ставить врач отказался ссылаясь, что обломились крепления и если поставить снова никаких гарантий что она не вывалится через час нет. Но вопрос не в этом, врач очень скептически отнесся к плану лечения который мы составили в клинике где мы лечимся.План был поставить мост с циркониевыми коронками на 22-21-11-12. Но врач ссылаясь на то что соседние зубы у нас со штифтами, которые уже 10 лет никто не использует и они могут сломаться в любой момент, сказал что надо сначала заменить их на культевые вкладки и уже на на них ставить мост. Притом лучше ставить не цирконий а металлокерамику, т.к. цирконий на передних резцах будет очень ненадежным и хрупким. Современная металлокерамика визуально тоже мало чем отличается от естественных зубов, а то что рекомендовали цирконий это развод. Совсем не уверены что в клинике где мы лечимся делают эти сами вкладки, потому что никто нам ни словом о них не обмолвился, да и все врачи с которыми там общались включая заведующую рекомендовали именно цирконий. Проконсультируйте пожалуйста кто что думает на эту тему? К сожалению времени осталось очень мало - на 10 мая уже записаны на обточку, а в голове начинается паника сделать что-то не так. Ссылка на комментарий
Рекомендуемые сообщения
Для публикации сообщений создайте учётную запись или авторизуйтесь
Вы должны быть пользователем, чтобы оставить комментарий
Создать аккаунт
Зарегистрируйте новый аккаунт в нашем сообществе. Это очень просто!
Регистрация нового пользователяВойти
Уже есть аккаунт? Войти в систему.
Войти