Dorin Опубликовано 12 апреля, 2016 Поделиться Опубликовано 12 апреля, 2016 (изменено) Добрый вечер! В "хирургии" уже была, три зуба слева уже удалили, теперь возник вопрос к специалистам этого раздела:Для спасения зубов в связи с атрофией кости предлагается ставить мост (ну или не знаю как правильно назвать - конструкция из коронок на предварительно депульпированные зубы + искусственные зубы) от зуба 2.1 до 1.7. На ваш взгляд, такой план лечения подходящий или есть более правильные варианты?Заранее благодарю за ответ! Изменено 12 апреля, 2016 пользователем Dorin Ссылка на комментарий
art700 Опубликовано 13 апреля, 2016 Поделиться Опубликовано 13 апреля, 2016 Более правильный вариант это искать имплантолога, и ставить импланты а не мосты . Конструкцию что вам предлагают неверная. Ссылка на комментарий
art700 Опубликовано 13 апреля, 2016 Поделиться Опубликовано 13 апреля, 2016 А точнее если быть ортопеда и имплантолога. Ссылка на комментарий
Dorin Опубликовано 13 апреля, 2016 Автор Поделиться Опубликовано 13 апреля, 2016 (изменено) А точнее если быть ортопеда и имплантолога.С левой стороны предстоит работа с имплантами, коронками и синус-лифтингом, поэтому одновременно импланты и справа я просто "не потяну" Апд: правда вообще Вас не поняла... Импланты - да, ну 1.4 - поставила бы (так и планировалось изначально, правда мной )), а остальные с этой стороны, передние резцы? Мне "обещают", что в, лучшем случае, их через пару лет вывернет, ну или выпадут...не удалять же все зубы справа, заменяя имплантами... Как быть, подкажиииите, пожалуйста! Изменено 13 апреля, 2016 пользователем Dorin Ссылка на комментарий
dok1 Опубликовано 13 апреля, 2016 Поделиться Опубликовано 13 апреля, 2016 Именно практически все зубы слева и желательно удалить. И импланты ставить. С центральными резцами - качественная пародонтология. А в первом сегменте пародонтология и имплантация. Ссылка на комментарий
Dorin Опубликовано 13 апреля, 2016 Автор Поделиться Опубликовано 13 апреля, 2016 (изменено) Именно практически все зубы слева и желательно удалить. И импланты ставить. С центральными резцами - качественная пародонтология. А в первом сегменте пародонтология и имплантация.Слева все уже удалила (сорри, в предыдущем просто ошиблась, написав "слева", уже исправила), там планируется имплантация, выжидаем 2 мес после удаления. Вопрос именно по передним резцам и тем зубам, что справа, т.е 2.1;1.1;1.2;1.3 - вроде не напутала с нумерацией, вот именно всех их, ну и плюс остальное до 1.7 врач предлагает закрепить одной конструкцией, ну типа как шинировать таким образом Качественная пародонтология - это что делать? Изменено 13 апреля, 2016 пользователем Dorin Ссылка на комментарий
art700 Опубликовано 13 апреля, 2016 Поделиться Опубликовано 13 апреля, 2016 Слева все уже удалила (сорри, в предыдущем просто ошиблась написав "слева", уже исправила), там планируется имплантация, выжидаем 2 мес после удаления. Вопрос именно по передним резцам и тем зубам, что справа, т.е 2.1;1.1;1.2;1.3 - вроде не напутала с нумерацией, вот именно все их ну и плюс остальное до 1.7 врач предлагает закрепить одной конструкцией, ну типа как шинировать таким образом Качественная пародонтология - это что делать?Я не пойму одного. Врач предлагает шинировать зубы с имплантами? Ссылка на комментарий
Dorin Опубликовано 13 апреля, 2016 Автор Поделиться Опубликовано 13 апреля, 2016 (изменено) Я не пойму одного. Врач предлагает шинировать зубы с имплантами?Нет, врач описал вариант с подвесным зубом на месте 1.4. Да, мне больше нравится имплант ( но не принципиально), понятно , что его в эту контрукцию "вписывать" не следует. Если есть необходимость зашинировать все зубы, как быть? Изменено 13 апреля, 2016 пользователем Dorin Ссылка на комментарий
art700 Опубликовано 13 апреля, 2016 Поделиться Опубликовано 13 апреля, 2016 Нет, врач описал вариант с подвесным зубом на месте 1.4. Да, мне больше нравится имплант ( но не принципиально), понятно , что его в эту контрукцию "вписывать" не следует. Если есть необходимость зашинировать все зубы, как быть?Какие зубы удалили? ОПТГ есть после удаления? Давайте снимок после удаления. Будем смотреть. Ссылка на комментарий
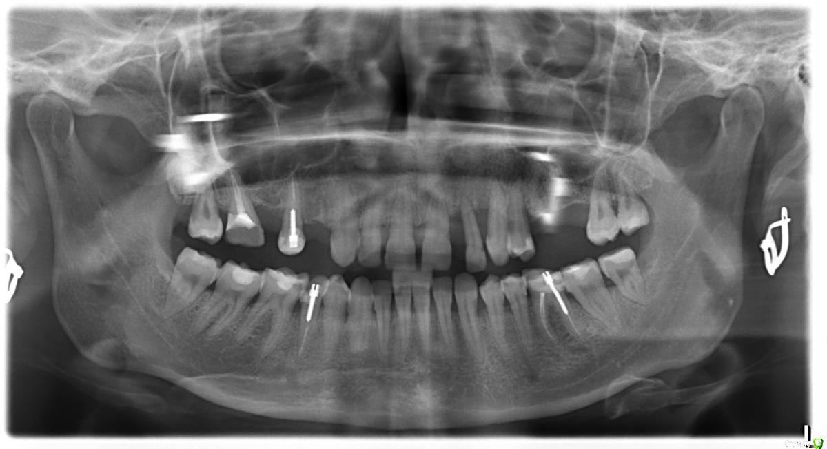
Dorin Опубликовано 13 апреля, 2016 Автор Поделиться Опубликовано 13 апреля, 2016 Какие зубы удалили? ОПТГ есть после удаления? Давайте снимок после удаления. Будем смотреть.Нет, после удаления нет снимка, удалили 2.2;2.3;2.4ОПТГ, которую в начальном посте выложила, от 26.03 Ссылка на комментарий
art700 Опубликовано 13 апреля, 2016 Поделиться Опубликовано 13 апреля, 2016 Нет, после удаления нет снимка, удалили 2.2;2.3;2.4ОПТГ, которую в начальном посте выложила, от 26.03Тогда о какой мостовидной конструкции речь? Это очень протяженный дефект. Ссылка на комментарий
Dorin Опубликовано 13 апреля, 2016 Автор Поделиться Опубликовано 13 апреля, 2016 Тогда о какой мостовидной конструкции речь? Это очень протяженный дефект.Да не , на месте удаленных конструкция на имплантах будет - здесь я вопросов не задаю , а мост предлагают на другую сторону от 21 до 17... Я, видимо, коряво объясняю... Ссылка на комментарий
St. Опубликовано 13 апреля, 2016 Поделиться Опубликовано 13 апреля, 2016 а мост предлагают на другую сторону от 21 до 17. Сходите ещё куда нибудь ни консультацию, поищите врача на форуме..То что предлагается не самый рациональный вариант. Ссылка на комментарий
Dorin Опубликовано 13 апреля, 2016 Автор Поделиться Опубликовано 13 апреля, 2016 Сходите ещё куда нибудь ни консультацию, поищите врача на форуме..То что предлагается не самый рациональный вариант. Спасибо! А Вы бы что предложили? Хочется понимать, что можно принимать за правильный вариант... Ссылка на комментарий
St. Опубликовано 13 апреля, 2016 Поделиться Опубликовано 13 апреля, 2016 Мост 1.7-1.5, Имплант и коронка на 1.4Фронт - парадонтология. Слева 2.2-2.6 импланты.Коронки внизу 3.6 и 4.5.Более опытные коллеги думаю меня поправят, если что-то упустила.. Верхние резцы Вы, увы, действительно через какое-то время потеряете. А любые большие конструкции где объединено много зубов никак не уменьшают эту вероятность, ещё и могут перегружать соседей и ухудшать гигиену. Ссылка на комментарий
Dorin Опубликовано 13 апреля, 2016 Автор Поделиться Опубликовано 13 апреля, 2016 Мост 1.7-1.5, Имплант и коронка на 1.4Фронт - парадонтология. Слева 2.2-2.6 импланты.Коронки внизу 3.6 и 4.5.Более опытные коллеги думаю меня поправят, если что-то упустила.. Верхние резцы Вы, увы, действительно через какое-то время потеряете. А любые большие конструкции где объединено много зубов никак не уменьшают эту вероятность, ещё и могут перегружать соседей и ухудшать гигиену.Спасибо!!! Ссылка на комментарий
Рекомендуемые сообщения
Для публикации сообщений создайте учётную запись или авторизуйтесь
Вы должны быть пользователем, чтобы оставить комментарий
Создать аккаунт
Зарегистрируйте новый аккаунт в нашем сообществе. Это очень просто!
Регистрация нового пользователяВойти
Уже есть аккаунт? Войти в систему.
Войти