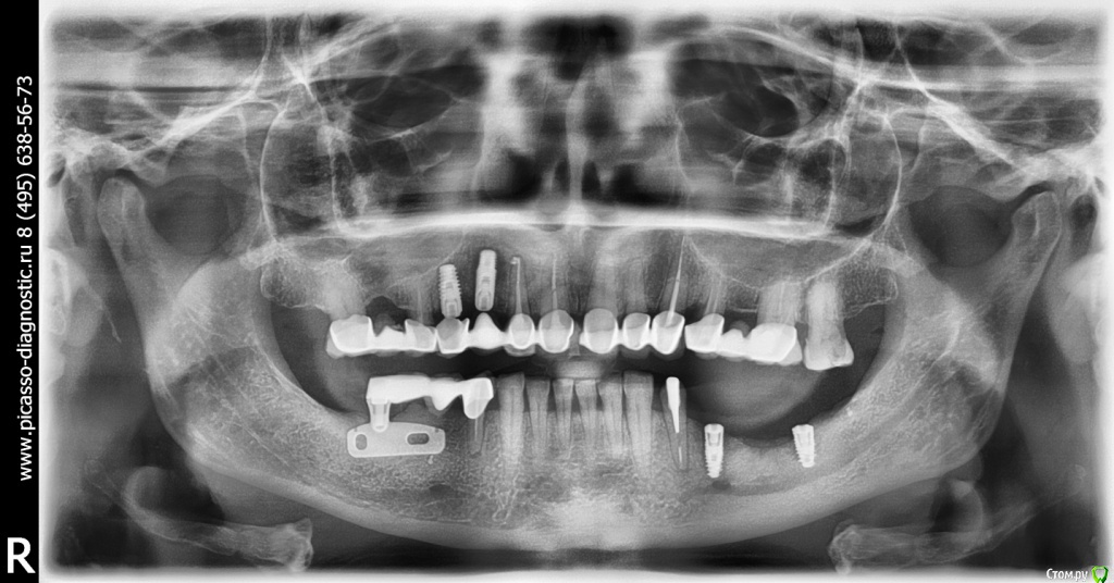
Tatyana-P Опубликовано 11 апреля, 2016 Поделиться Опубликовано 11 апреля, 2016 Добрый день!Прошу проконсультировать по моей проблеме, так как мнения двух докторов по моей ситуации разделились. У меня установлены 3 месяца назад нижние 2 импланта на проблемную челюсть (на этом месте пол года назад был удален имплант "очень старого поколения", потеря кости была большая, но решили, что можно обойтись без наращивания). Верхние импланты установлены 1 мес. назад, сними, как говорят, проблем нет. На данный момент картина такая (снимок приложен).Проблема с нижними имплантами - один доктор считает, что их надо удалять, так как они не приживаются, второй считает, что ситуация не идеальная, но не критическая, приемлемая, что нужно подождать еще месяц и посмотреть, какая будет динамика. Пожалуйста, подскажите, есть ли необходимость в изъятии, или можно как-то еще побороться?С благодарностью и уважением, Татьяна. Ссылка на комментарий
red_butler Опубликовано 11 апреля, 2016 Поделиться Опубликовано 11 апреля, 2016 Дальний точно удалять, а в позиции 3.5 нужно смотреть в полости рта Ссылка на комментарий
Tatyana-P Опубликовано 11 апреля, 2016 Автор Поделиться Опубликовано 11 апреля, 2016 Дальний точно удалять, а в позиции 3.5 нужно смотреть в полости ртаСпасибо большое за ответ. В чем может быть причина таких последствий -в состоянии костей, неправильной установке, или еще в чем-то? Ссылка на комментарий
red_butler Опубликовано 11 апреля, 2016 Поделиться Опубликовано 11 апреля, 2016 Спасибо большое за ответ. В чем может быть причина таких последствий -в состоянии костей, неправильной установке, или еще в чем-то?Для ответов на эти вопросы нужно полностью увидеть исходную (до имплантации) ситуацию и все что делалось во время вмешательства. Без этого можно только гадать. Ссылка на комментарий
Карен Аванесов Опубликовано 11 апреля, 2016 Поделиться Опубликовано 11 апреля, 2016 Такие вопросы лучше задавать лечащему доктору, он знает всю сложность и несет ответственность, а сторонние много чего могут посоветовать, в том числе и враждебно вас настроить, а это не честно получается, прежде всего с вашей стороны. Ссылка на комментарий
Рекомендуемые сообщения
Для публикации сообщений создайте учётную запись или авторизуйтесь
Вы должны быть пользователем, чтобы оставить комментарий
Создать аккаунт
Зарегистрируйте новый аккаунт в нашем сообществе. Это очень просто!
Регистрация нового пользователяВойти
Уже есть аккаунт? Войти в систему.
Войти