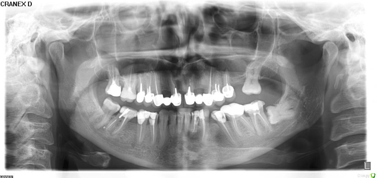
Svettala Опубликовано 11 апреля, 2016 Поделиться Опубликовано 11 апреля, 2016 (изменено) Добрый день. Назрел вопрос по имплантации передних верхних зубов, посетила нескольких клиник и мнения расходятся. Хотелось бы по максимуму сохранить свои зубы, 11 и 21 под удаление (11 - резекция 30 лет назад, 21 - периодически свищ), 12 и 22 удалены давно. На 25 киста и тоже надо удалять. Теперь самое интересное: один доктор говорит, что также надо удалять и 26, тогда придется делать синус-лифтинг, но можно не трогать 48, другой доктор предложил удалить кроме единиц еще и 24, 25, 14, 15, 48,47 (26 без вопросов-норм). Хотелось бы поставить импланты только на 12 и 22 с подсадкой костной ткани (если , конечно, возможно) и может быть еще на 25, с остальными зубами пока не готова расставаться, тем более они меня вообще никак не беспокоят и не беспокоили, но коронки на них заменить хочу. Мне 45 лет и хочется надеяться, что и 8 так и «забудет» про меня и я про него. Снимок получше, если надо, смогу выложить позже. Изменено 11 апреля, 2016 пользователем Svettala Ссылка на комментарий
red_butler Опубликовано 11 апреля, 2016 Поделиться Опубликовано 11 апреля, 2016 http://forum.stom.ru/topic/20613-sovety-patcientam-obiazatelno-k-prochteniiu/ 2 Ссылка на комментарий
IvanK Опубликовано 11 апреля, 2016 Поделиться Опубликовано 11 апреля, 2016 снимки не открываются 1 Ссылка на комментарий
Svettala Опубликовано 11 апреля, 2016 Автор Поделиться Опубликовано 11 апреля, 2016 (изменено) Прошу прощения, буду стараться выложить. Изменено 11 апреля, 2016 пользователем Svettala Ссылка на комментарий
Bier Опубликовано 11 апреля, 2016 Поделиться Опубликовано 11 апреля, 2016 для принятия решения по 25,26,14,15 зубам необходимо снять с них коронки, вынуть штифты и посмотреть что останется от зуба. Если зуб будет пригоден к восстановлению, то пролечить каналы и сделать новые коронки.48 - удалять.47 - можно сохранить. Ссылка на комментарий
Svettala Опубликовано 11 апреля, 2016 Автор Поделиться Опубликовано 11 апреля, 2016 (изменено) Спасибо за ответ, а проблемно ли вытаскивать штифты, если он обломится то зуб 100% под удаление? Снимок, к сожалению, перевернут, восьмерка у меня слева. Изменено 11 апреля, 2016 пользователем Svettala Ссылка на комментарий
Рекомендуемые сообщения
Для публикации сообщений создайте учётную запись или авторизуйтесь
Вы должны быть пользователем, чтобы оставить комментарий
Создать аккаунт
Зарегистрируйте новый аккаунт в нашем сообществе. Это очень просто!
Регистрация нового пользователяВойти
Уже есть аккаунт? Войти в систему.
Войти