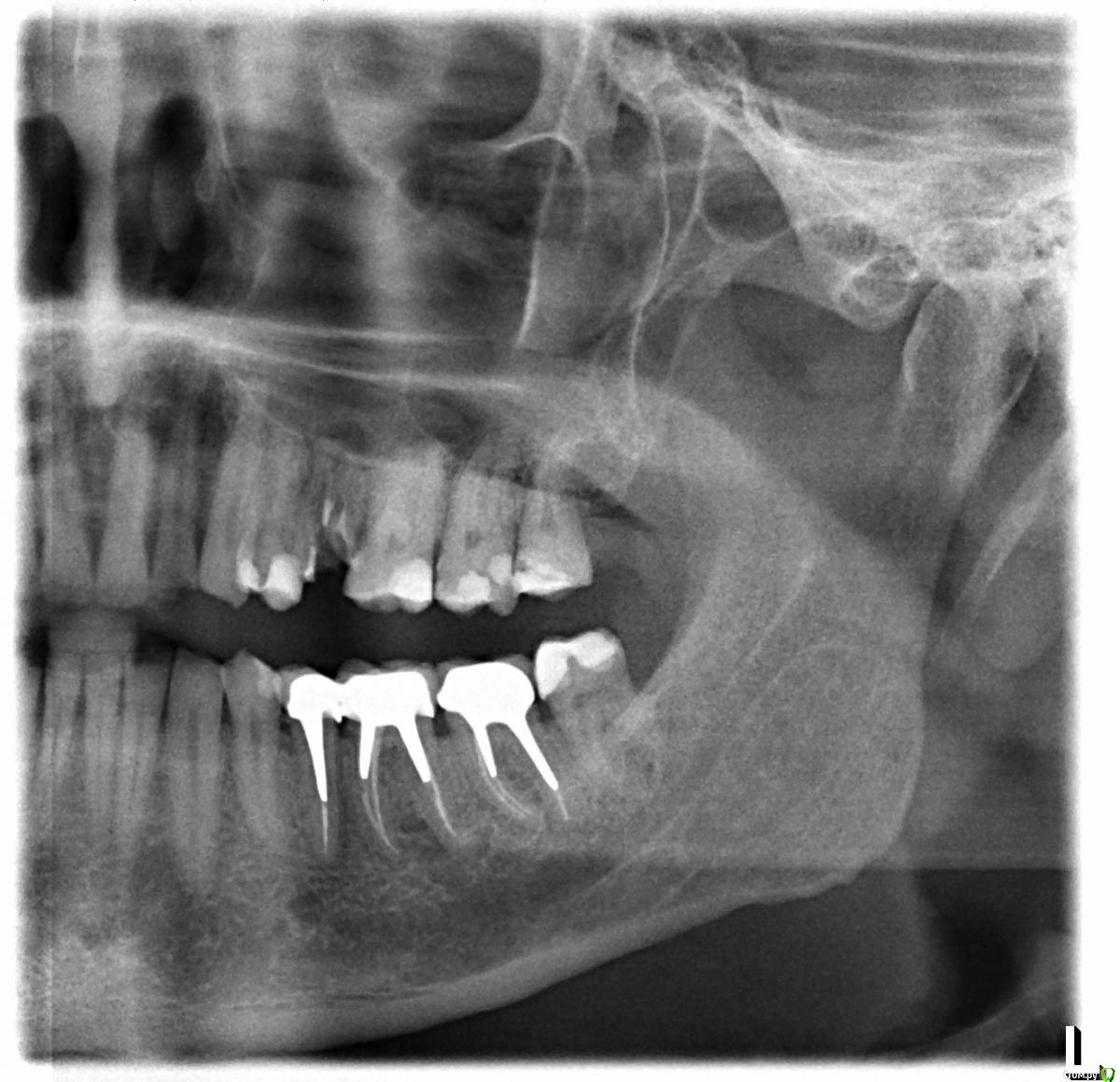
колесников Опубликовано 10 апреля, 2016 Поделиться Опубликовано 10 апреля, 2016 Бюджетная была работа. Без графта,без прф,без сст. Удаление 25 с дефектом кости и в период обострения. Через 3 мес имплантация (осстем 4.0х11.5) и закрытый синус без графта (пациент не потянул). Решил проверить на сколько нарастёт кости чисто на сгустке, при поднятии мембраны на 3-5 мм (не ровное дно). Торк был 35-40 -фдм сразу. Гребень остался широким,сст не стал подшивать,перекинул лоскут с гребня. Через 5 мес наросло 2-4 мм. 5 Ссылка на комментарий
k.t.m. Опубликовано 11 апреля, 2016 Поделиться Опубликовано 11 апреля, 2016 как гранулемку убирали и как контролировали,или с корнем ушла ?кстати синус она сделала не неплохой))) Ссылка на комментарий
колесников Опубликовано 11 апреля, 2016 Автор Поделиться Опубликовано 11 апреля, 2016 как гранулемку убирали и как контролировали,или с корнем ушла ?кстати синус она сделала не неплохой)))Выскабливанием убрал. На орто не объективная картина,накладывается вестибулярное "окно" гранулёмы. До дна 1мм + 1мм дна. Вестибулярная стенка была перфорирована. Ссылка на комментарий
Zborzh Опубликовано 14 апреля, 2016 Поделиться Опубликовано 14 апреля, 2016 Прям уж закрытый синус? По фото - элементарная бикортикальная фиксация имплантата. Главное - не хамить с пазухой, ибо , торчащий сквозь слизистую винт - прекрасная база для колонизации грибов. 2 Ссылка на комментарий
Чертков Александр Опубликовано 14 апреля, 2016 Поделиться Опубликовано 14 апреля, 2016 Согласен с предыдущим комментарием...это бикортикальная фиксацияВот закрытый синуслифт (Спасибо ILGAMSA!!! )http://i075.radikal.ru/1604/6a/fcb066714a5c.jpgСразу послеhttp://s018.radikal.ru/i502/1604/f0/cff497014b21.jpgЧерез три месяцаНа днях установил формирователь... 11 Ссылка на комментарий
Fibez Опубликовано 14 апреля, 2016 Поделиться Опубликовано 14 апреля, 2016 Чертаков, на сгустке? Ссылка на комментарий
Чертков Александр Опубликовано 14 апреля, 2016 Поделиться Опубликовано 14 апреля, 2016 Чертаков, на сгустке?...да что ж такое то а?! ...так и хочется написать " сам ты ЧертАков..."ЧЕРТКОВ моя фамилия!Да, только сгусток. 10 Ссылка на комментарий
Евгений Ходыкин Опубликовано 14 апреля, 2016 Поделиться Опубликовано 14 апреля, 2016 Мсье Чертков, сразу чего не "оФОРМил"? Торк не ахти? Ссылка на комментарий
Fibez Опубликовано 14 апреля, 2016 Поделиться Опубликовано 14 апреля, 2016 (изменено) ...да что ж такое то а?! ...так и хочется написать " сам ты ЧертАков..."ЧЕРТКОВ моя фамилия!Да, только сгусток.у меня в подписи написано, что с русским проблема + цитата с компа не работает. сорри. ... а с телека "цитата" работает... кстати, посмотрел я тут происхождение фамилии... Изменено 14 апреля, 2016 пользователем Fibez Ссылка на комментарий
Чертков Александр Опубликовано 14 апреля, 2016 Поделиться Опубликовано 14 апреля, 2016 (изменено) Мсье Чертков, сразу чего не "оФОРМил"? Торк не ахти?Перестраховался. Пациент из "ненадежных" Изменено 14 апреля, 2016 пользователем Чертков Александр Ссылка на комментарий
колесников Опубликовано 14 апреля, 2016 Автор Поделиться Опубликовано 14 апреля, 2016 Прям уж закрытый синус? По фото - элементарная бикортикальная фиксация имплантата. Главное - не хамить с пазухой, ибо , торчащий сквозь слизистую винт - прекрасная база для колонизации грибов.Закрытый-это когда закрытый. Отодвинул мембрану через лунку . На снимке видно что имплант не зияет в пустоте и притоплен субкрестально. Ни с какой стороны на бикортикальную не тянет. И кстати про хамить и колонизацию(фамилии не вспомню,может кто поможет),на конференциях часто встречал снимки итальянского спеца -любителя поставить имплант в пазуху на 10 и более мм без прикрытия. 1 Ссылка на комментарий
колесников Опубликовано 14 апреля, 2016 Автор Поделиться Опубликовано 14 апреля, 2016 Согласен с предыдущим комментарием...это бикортикальная фиксацияНе соглашусь. Хотя у меня и не кт,крыть нечем,но видно что над имплантом тень,т.е. он не зияет изначально. И без полипов в итоге-значит имплант не находился в утолщённой шнейдеровой. У вас ,кстати, ведь тоже 3-4 мм наросло? Ссылка на комментарий
annda Опубликовано 15 апреля, 2016 Поделиться Опубликовано 15 апреля, 2016 А почему длина 11,5,а не 8,5 ,например,или 10,0? 2 Ссылка на комментарий
annda Опубликовано 15 апреля, 2016 Поделиться Опубликовано 15 апреля, 2016 Прям уж закрытый синус? По фото - элементарная бикортикальная фиксация имплантата. Главное - не хамить с пазухой, ибо , торчащий сквозь слизистую винт - прекрасная база для колонизации грибов.Есть снимки с грибами?Исследования?Мембрана ведь очень быстро регенерирует.Что ей мешает обрасти стерильный биоинертный имплантат?Разумеется,если он не торчит на сантиметр в пазуху.Мне лично поставили в перфорацию мембраны имплантат три года назад .Через месяц я заболела дичайшим ОРЗ,думала,он у меня через нос выплывет,но все закончилось благостно,с тех пор я про него забыла( и не болела,кстати больше,что удивительно).Снимки есть,все чисто.Что со мной не так? 1 Ссылка на комментарий
Карен Аванесов Опубликовано 16 апреля, 2016 Поделиться Опубликовано 16 апреля, 2016 Анна, будьте любезны эти снимки. 1 Ссылка на комментарий
annda Опубликовано 16 апреля, 2016 Поделиться Опубликовано 16 апреля, 2016 (изменено) Анна, будьте любезны эти снимки.Что вы хотите там узреть?Наличие отсутствия? Изменено 16 апреля, 2016 пользователем annda Ссылка на комментарий
Чертков Александр Опубликовано 18 апреля, 2016 Поделиться Опубликовано 18 апреля, 2016 Отодвинул мембрану через лунку Тогда конечно закрытый. Я же не знал этой детали, в стартовом Вы этого не указали 3-4 мм наросло 4-7 Ссылка на комментарий
alekszander Опубликовано 19 апреля, 2016 Поделиться Опубликовано 19 апреля, 2016 Согласен с предыдущим комментарием...это бикортикальная фиксацияВот закрытый синуслифт (Спасибо ILGAMSA!!! ) Сразу после Через три месяцаНа днях установил формирователь... Саша, а почему не открытый, по срезам вроде там он просился, сколько высоты наращивал? Ссылка на комментарий
Rafael_Gogyan Опубликовано 20 апреля, 2016 Поделиться Опубликовано 20 апреля, 2016 в данном случае, я бы сделал открытый, надежнее как то Ссылка на комментарий
Чертков Александр Опубликовано 20 апреля, 2016 Поделиться Опубликовано 20 апреля, 2016 Саша, а почему не открытый, по срезам вроде там он просился, сколько высоты наращивал?Решили начать с закрытого...пожелание пациента...все получилось По высоте там видно, в среднем на 5-6 мм подняли Ссылка на комментарий
alekszander Опубликовано 20 апреля, 2016 Поделиться Опубликовано 20 апреля, 2016 Решили начать с закрытого...пожелание пациента...все получилось По высоте там видно, в среднем на 5-6 мм поднялиЧем и как сделал аж на 5 мм? Ссылка на комментарий
колесников Опубликовано 20 апреля, 2016 Автор Поделиться Опубликовано 20 апреля, 2016 4-7 Можно снимок "до" и на снимке "после"сместить курсор дистальнее на 2 мм. (Я не привязываюсь. Хочу разобраться,чтобы в перспективе планировать. Есть мысль:когда "подбиваешь" дно нарастает сколько необходимо и апекс покрыт кортикалкой,если мягко поднять- мембрана "обвисает" на апексе и нарастает не более 3мм). Ссылка на комментарий
Чертков Александр Опубликовано 21 апреля, 2016 Поделиться Опубликовано 21 апреля, 2016 Чем и как сделал аж на 5 мм?Остеотомом и грибовидной кюретой Ссылка на комментарий
Чертков Александр Опубликовано 21 апреля, 2016 Поделиться Опубликовано 21 апреля, 2016 Можно снимок "до" и на снимке "после"сместить курсор дистальнее на 2 мм. (Я не привязываюсь. Хочу разобраться,чтобы в перспективе планировать. Есть мысль:когда "подбиваешь" дно нарастает сколько необходимо и апекс покрыт кортикалкой,если мягко поднять- мембрана "обвисает" на апексе и нарастает не более 3мм).http://s010.radikal.ru/i312/1604/ec/5c9cacf33ca2.jpghttp://s019.radikal.ru/i624/1604/2d/6b259ffd5f86.jpgТак? 4 Ссылка на комментарий
Евгений Ходыкин Опубликовано 21 апреля, 2016 Поделиться Опубликовано 21 апреля, 2016 Ну, Саныч, ну колдун... 1 Ссылка на комментарий
Рекомендуемые сообщения
Для публикации сообщений создайте учётную запись или авторизуйтесь
Вы должны быть пользователем, чтобы оставить комментарий
Создать аккаунт
Зарегистрируйте новый аккаунт в нашем сообществе. Это очень просто!
Регистрация нового пользователяВойти
Уже есть аккаунт? Войти в систему.
Войти