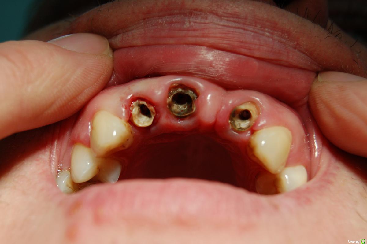
smile fighter Опубликовано 9 апреля, 2016 Поделиться Опубликовано 9 апреля, 2016 Здраствуйте!Планируется мостовидный протез с опорой на культевые вкладки(вкладка/коронка циркон или вкладка кхс/мк коронка)Подскажите как быть с десной в области отсутствующего зуба, вокруг корней, можно ли будет обработать с уступом и получить хороший оттиск уступа С-силиконом Zeta Plus Ссылка на комментарий
k.t.m. Опубликовано 10 апреля, 2016 Поделиться Опубликовано 10 апреля, 2016 я удалил бы минимум 2 из 3,судя по фото ткани зуба очень устали.авантюрная работа.rg есть? 2 Ссылка на комментарий
Sampson Опубликовано 10 апреля, 2016 Поделиться Опубликовано 10 апреля, 2016 Сначала вкладки делайте. На времянках формируйте овойд в десне 2.1.Пробуйте снять оттиск1.1 похож на очень ненадежный. Ссылка на комментарий
AndyAndy Опубликовано 10 апреля, 2016 Поделиться Опубликовано 10 апреля, 2016 Согласен с коллегами: 11, да и 12 выглядят ненадежными. Покажите рентген, думаю все вопросы отпадут. Похоже, в них штифты были? По поводу оттиска с-силиконами. Более-менее получить сносный оттиск получится по двухэтапной методике. Сложность во внесении корригирующего слоя в базовый - просто неудобно это делать и получится неравномерно как минимум. Переходите на а-силиконы для начала, потом на полиэфиры Ссылка на комментарий
Modern Doctor Опубликовано 10 апреля, 2016 Поделиться Опубликовано 10 апреля, 2016 Я бы убрал корни 12,11! Очень сомнительные они! Работа на таких корнях долго не прослужит!22 можно попробовать сохранить, да и снимки бы посмотреть!!! Ссылка на комментарий
Modern Doctor Опубликовано 10 апреля, 2016 Поделиться Опубликовано 10 апреля, 2016 Да и масса зета плюс честно говоря не очень! Работал с ней немного, ушёл на силагум и больше возвращаться не хочу! Если уж с-силикон, то спидекс! Работал ей,мне нравилось! Только коррегирующую массу не совсем удобно вносить! Ссылка на комментарий
smile fighter Опубликовано 10 апреля, 2016 Автор Поделиться Опубликовано 10 апреля, 2016 На данный момент есть такой снимок. До этого был МК мост протез(выпал вместе с вкладками, стоял 2 года) Ссылка на комментарий
Modern Doctor Опубликовано 10 апреля, 2016 Поделиться Опубликовано 10 апреля, 2016 11 убрал бы точно! 12,22 можно попробовать оставить! Не удивительно что мост слетел так быстро! Длина вкладок видимо была очень маленькая 2-3мм. Попробуйте сохранить корни и сделать вкладки хорошие, думаю ещё послужат! Но если собираетесь делать мост, ещё бы клыки в опору взял!!! Ссылка на комментарий
Ferdaus Опубликовано 10 апреля, 2016 Поделиться Опубликовано 10 апреля, 2016 (изменено) На данный момент есть такой снимок. До этого был МК мост протез(выпал вместе с вкладками, стоял 2 года)2 года? что-то долго с учетом того какие были вкладки =\ 1.1, 1.2 я бы удалил, 2.2 скорее всего реэндо (на прицельном не очень видно в каком состоянии периапикальные ткани). сформировал нормальное ложе для штифта, скорее всего нужно хир удлинение 2.2. ну а дальше все зависит от возможностей пациента. в идеале - имплантация. Изменено 10 апреля, 2016 пользователем Ferdaus Ссылка на комментарий
art700 Опубликовано 10 апреля, 2016 Поделиться Опубликовано 10 апреля, 2016 А я бы удалил все 3. 6 Ссылка на комментарий
Ibulat_1986 Опубликовано 11 апреля, 2016 Поделиться Опубликовано 11 апреля, 2016 судя по фасеткам стираемости на нижних фронтальных резцах положение нижней челюсти вынужденное, есть ли дефекты в жевательных отделах? Ссылка на комментарий
Петр Бриньковский Опубликовано 11 апреля, 2016 Поделиться Опубликовано 11 апреля, 2016 Я думаю- вообще не стоит с такими корнями заморачиваться, потом пациент придет и скажет какой нехороший доктор и ведь придется удалять все-таки и переделывать за свой счет). Ссылка на комментарий
smile fighter Опубликовано 11 апреля, 2016 Автор Поделиться Опубликовано 11 апреля, 2016 судя по фасеткам стираемости на нижних фронтальных резцах положение нижней челюсти вынужденное, есть ли дефекты в жевательных отделах?Справа на нижней челюсти отсутствует пара зубов(5,6 вроде), 7й сохранился в виде корня(выше уровня десны) Ссылка на комментарий
smile fighter Опубликовано 11 апреля, 2016 Автор Поделиться Опубликовано 11 апреля, 2016 На самом деле так. Ссылка на комментарий
MaxDok Опубликовано 12 апреля, 2016 Поделиться Опубликовано 12 апреля, 2016 Слишком большую работу с перелечивание , восстановлением БШ , формированием мягкий тканей нужно проделать,и все равно может оказаться напрасно . 1 Ссылка на комментарий
Борис80 Опубликовано 16 апреля, 2016 Поделиться Опубликовано 16 апреля, 2016 Передние коронки ушли так быстро из-за проблем в боковых отделах... Как минимум обсудите с пациентом тот факт, что если стороны не трогать, все работы в переднем отделе ненадолго Ссылка на комментарий
DoctorT Опубликовано 19 апреля, 2016 Поделиться Опубликовано 19 апреля, 2016 (изменено) Временную конструкцию на фронт и заниматься боковыми отделами. Под постоянную все 3 корня на выход. Одним словом полная реконструкция, в противном случае все временно. Изменено 19 апреля, 2016 пользователем DoctorT Ссылка на комментарий
Рекомендуемые сообщения
Для публикации сообщений создайте учётную запись или авторизуйтесь
Вы должны быть пользователем, чтобы оставить комментарий
Создать аккаунт
Зарегистрируйте новый аккаунт в нашем сообществе. Это очень просто!
Регистрация нового пользователяВойти
Уже есть аккаунт? Войти в систему.
Войти