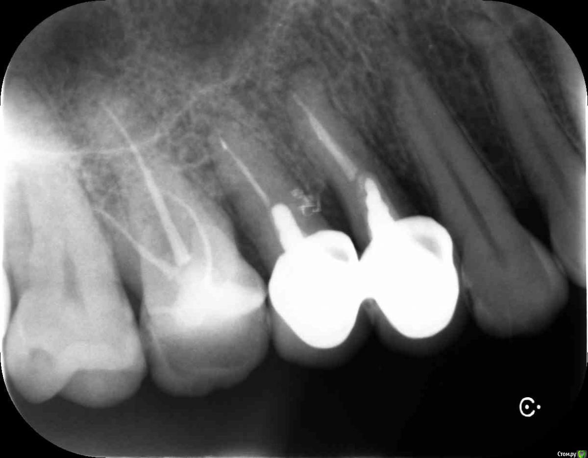
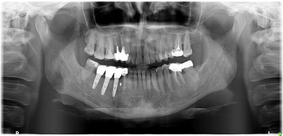
Анжела 66 Опубликовано 8 апреля, 2016 Поделиться Опубликовано 8 апреля, 2016 Добрый день, уважаемые доктора. Хотелось бы узнать ваше мнение о шансах верхней 4-ки и 5-ки.Первый, панорамный снимок, был сделан за день до появления флюса над верхней 4-кой .Второй, прицельный снимок, был сделан уже через пару дней после вскрытия флюса и наложения антибактериальной мази.Из-за небольшой подвижности резекцию корня не делали. Так же удаление штифтов не планируют. Был проведен только закрытый кюретаж, многократное наложение антибактериальной мази и длительное ( более месяца) полоскание Хлоргексамедом. Затем еще профессиональная чистка зубов.В настоящий момент оба зуба пока в спокойном состоянии. Но надолго ли? Что можно было бы предпринять еще?Заранее благодарю за ваши ответы Ссылка на комментарий
Ker Опубликовано 9 апреля, 2016 Поделиться Опубликовано 9 апреля, 2016 Добрый день, уважаемые доктора. В настоящий момент оба зуба пока в спокойном состоянии. Но надолго ли? Что можно было бы предпринять еще? Здравствуйте, увы, ненадолго. В канале(ах) четвертого зуба ложный ход и перфорация. Плюс уже приличная убыль костной ткани. Перелечить вряд-ли возможно (и особого смысла не имеет), удаление и имплантация, имхо. Ссылка на комментарий
Гарриевич Опубликовано 9 апреля, 2016 Поделиться Опубликовано 9 апреля, 2016 Сделайте КТ Ссылка на комментарий
Анжела 66 Опубликовано 9 апреля, 2016 Автор Поделиться Опубликовано 9 апреля, 2016 Скажите, а что , это возможно было , что с уже имеющейся перфорацией корня эти коронки простояли 15 лет?И явилась ли эта перфорация в комплексе с повышенной жевательной нагрузкой или травмой десны причиной флюса? До сих пор мне никто это не объяснил.Заранее спасибо Ссылка на комментарий
Гарриевич Опубликовано 9 апреля, 2016 Поделиться Опубликовано 9 апреля, 2016 См выше Ссылка на комментарий
Анжела 66 Опубликовано 9 апреля, 2016 Автор Поделиться Опубликовано 9 апреля, 2016 Я поняла, доктор, вашу рекомендацию сделать КТ. Я только хотела бы узнать, что такое , в принципе, возможно. Ведь из врачей, которые видели мои снимки, никто не говорил о перфорации ( даже предположительно), а причиной флюса назывался парадонтит. Ведь должны были они ( хотя бы кто то) также это заметить? Ссылка на комментарий
Гарриевич Опубликовано 9 апреля, 2016 Поделиться Опубликовано 9 апреля, 2016 апикальная перфорация и локальный пародонтит друг друга не исключают Ссылка на комментарий
Анжела 66 Опубликовано 9 апреля, 2016 Автор Поделиться Опубликовано 9 апреля, 2016 В случае удаление, оба зуба идут на удаление? Нет никакой возможности какой нибудь из двух зубов спасти? Ссылка на комментарий
St. Опубликовано 9 апреля, 2016 Поделиться Опубликовано 9 апреля, 2016 В случае удаление, оба зуба идут на удаление? Нет никакой возможности какой нибудь из двух зубов спасти?4 на удаление, 5 - шансы есть, если там тоже нет перфорации от штифта. Ссылка на комментарий
Анжела 66 Опубликовано 9 апреля, 2016 Автор Поделиться Опубликовано 9 апреля, 2016 Спасибо, за ответ.Еще один маленький вопрос:видите ли вы на 5-ке внизу глубокий кариес?Дело в том, что зуб совершенно не беспокоит. Возможно ли такое? Ссылка на комментарий
ЕленаВалерьевна Опубликовано 10 апреля, 2016 Поделиться Опубликовано 10 апреля, 2016 (изменено) Спасибо, за ответ.Еще один маленький вопрос:видите ли вы на 5-ке внизу глубокий кариес?Дело в том, что зуб совершенно не беспокоит. Возможно ли такое?на нижней 5-ке да, есть. конечно возможно. Изменено 10 апреля, 2016 пользователем ЕленаВалерьевна Ссылка на комментарий
Анжела 66 Опубликовано 10 апреля, 2016 Автор Поделиться Опубликовано 10 апреля, 2016 Спасибо. Все понятно. Ссылка на комментарий
Рекомендуемые сообщения
Для публикации сообщений создайте учётную запись или авторизуйтесь
Вы должны быть пользователем, чтобы оставить комментарий
Создать аккаунт
Зарегистрируйте новый аккаунт в нашем сообществе. Это очень просто!
Регистрация нового пользователяВойти
Уже есть аккаунт? Войти в систему.
Войти