Robinbobin Опубликовано 8 апреля, 2016 Поделиться Опубликовано 8 апреля, 2016 (изменено) Изменено 8 апреля, 2016 пользователем Robinbobin 13 Ссылка на комментарий
K.E. Опубликовано 8 апреля, 2016 Поделиться Опубликовано 8 апреля, 2016 (изменено) Может быть стоило открытый синус делать и имплантанты позиционировать в более удобной позиции для последующего протезирования? Изменено 8 апреля, 2016 пользователем K.E. Ссылка на комментарий
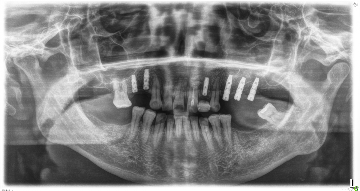
Доктор Добрых Дел Опубликовано 8 апреля, 2016 Поделиться Опубликовано 8 апреля, 2016 Мукотом разве не через "О" пишется?) Почему такой сильный медиальный наклон имплантатов? Или это на срезе так кажется? Ссылка на комментарий
Robinbobin Опубликовано 8 апреля, 2016 Автор Поделиться Опубликовано 8 апреля, 2016 Мукотом разве не через "О" пишется?) Почему такой сильный медиальный наклон имплантатов? Или это на срезе так кажется?У меня 2 по русскому было ))) вот и ошибся чуток 2 Ссылка на комментарий
Robinbobin Опубликовано 8 апреля, 2016 Автор Поделиться Опубликовано 8 апреля, 2016 Может быть стоило открытый синус делать и имплантанты позиционировать в более удобной позиции для последующего протезирования?Позиция имплантатов хорошая на мой взгляд.Зачем делать открытый синус? Ссылка на комментарий
Доктор Добрых Дел Опубликовано 8 апреля, 2016 Поделиться Опубликовано 8 апреля, 2016 У меня 2 по русскому было ))) вот и ошибся чутокБывает, че там.. Ссылка на комментарий
K.E. Опубликовано 8 апреля, 2016 Поделиться Опубликовано 8 апреля, 2016 Позиция имплантатов хорошая на мой взгляд.Зачем делать открытый синус?Смущает мед. наклон. Ссылка на комментарий
Robinbobin Опубликовано 8 апреля, 2016 Автор Поделиться Опубликовано 8 апреля, 2016 Смущает мед. наклон.А он как то помешает протезированию? ) Ссылка на комментарий
Kovalov Igor Опубликовано 8 апреля, 2016 Поделиться Опубликовано 8 апреля, 2016 Шаблон с Пикассы ? Ссылка на комментарий
Robinbobin Опубликовано 8 апреля, 2016 Автор Поделиться Опубликовано 8 апреля, 2016 Шаблон с Пикассы ?Шаблон DIO Ссылка на комментарий
Kovalov Igor Опубликовано 8 апреля, 2016 Поделиться Опубликовано 8 апреля, 2016 Канюля на шприц это от Осстем- Hiossen ? Те что в наборе Лас и кас кит ? Ссылка на комментарий
Robinbobin Опубликовано 8 апреля, 2016 Автор Поделиться Опубликовано 8 апреля, 2016 Канюля на шприц это от Осстем- Hiossen ? Те что в наборе Лас и кас кит ?Все идет в наборе у DIO navi 1 Ссылка на комментарий
red_butler Опубликовано 8 апреля, 2016 Поделиться Опубликовано 8 апреля, 2016 Хорошая работа Ссылка на комментарий
Robinbobin Опубликовано 8 апреля, 2016 Автор Поделиться Опубликовано 8 апреля, 2016 Хорошая работаСпасибо Ссылка на комментарий
Fibez Опубликовано 8 апреля, 2016 Поделиться Опубликовано 8 апреля, 2016 Шаблон DIO позиционирующий или направляющий? Ссылка на комментарий
Fibez Опубликовано 8 апреля, 2016 Поделиться Опубликовано 8 апреля, 2016 Наклон мешает протезированию тем, что иногда трансфер упирается в зуб. Что бесит ортопеда. Плюс не нужная нагрузка на фиксирующие винты. Ссылка на комментарий
diesel87 Опубликовано 8 апреля, 2016 Поделиться Опубликовано 8 апреля, 2016 22 одномоментно ставили? Почему заглушили, а не формик поставили сразу? Ссылка на комментарий
Robinbobin Опубликовано 8 апреля, 2016 Автор Поделиться Опубликовано 8 апреля, 2016 Шаблон DIO позиционирующий или направляющий?Шаблон позиционирующий. Ссылка на комментарий
Robinbobin Опубликовано 8 апреля, 2016 Автор Поделиться Опубликовано 8 апреля, 2016 22 одномоментно ставили? Почему заглушили, а не формик поставили сразу?22 одномоментно все верно. Ортопед попросил заглушить))) формики ему не нравятся Ссылка на комментарий
diesel87 Опубликовано 8 апреля, 2016 Поделиться Опубликовано 8 апреля, 2016 22 одномоментно все верно. Ортопед попросил заглушить))) формики ему не нравятся А зря, сразу сст и графт костной, фдм или временная коронка лучшая поддержка всего этого. И формирователь поставили вровень или на мм выше уровня десны и никому бы он не мешал. Ссылка на комментарий
Robinbobin Опубликовано 8 апреля, 2016 Автор Поделиться Опубликовано 8 апреля, 2016 А зря, сразу сст и графт костной, фдм или временная коронка лучшая поддержка всего этого. И формирователь поставили вровень или на мм выше уровня десны и никому бы он не мешал.Спасибо! Я обязательно учту это в следующий раз Ссылка на комментарий
Astronaft Опубликовано 8 апреля, 2016 Поделиться Опубликовано 8 апреля, 2016 (изменено) Спасибо за кейс!Гидравлический синус. А есть фото этого прибора?Вообще давно используете? Какие впечатления? Изменено 8 апреля, 2016 пользователем Astronaft Ссылка на комментарий
Доктор Хаус Опубликовано 9 апреля, 2016 Поделиться Опубликовано 9 апреля, 2016 Здорова Роберт, а постановку делал ? Совмещал виртуальную модель с постановкой имплантов на кт? То же есть впечатление что медиально наклонил. Ссылка на комментарий
Robinbobin Опубликовано 11 апреля, 2016 Автор Поделиться Опубликовано 11 апреля, 2016 (изменено) Здорова Роберт, а постановку делал ? Совмещал виртуальную модель с постановкой имплантов на кт? То же есть впечатление что медиально наклонил. привет Изменено 11 апреля, 2016 пользователем Robinbobin Ссылка на комментарий
Robinbobin Опубликовано 11 апреля, 2016 Автор Поделиться Опубликовано 11 апреля, 2016 Спасибо за кейс!Гидравлический синус. А есть фото этого прибора?Вообще давно используете? Какие впечатления?Я как сфотографирую все отправлю.Использую недавно)впечатления хорошие только без фрез из набора Dio navi тяжеловато ) есть опасность перфорации Ссылка на комментарий
Рекомендуемые сообщения
Для публикации сообщений создайте учётную запись или авторизуйтесь
Вы должны быть пользователем, чтобы оставить комментарий
Создать аккаунт
Зарегистрируйте новый аккаунт в нашем сообществе. Это очень просто!
Регистрация нового пользователяВойти
Уже есть аккаунт? Войти в систему.
Войти