Кристина93 Опубликовано 7 апреля, 2016 Поделиться Опубликовано 7 апреля, 2016 (изменено) Добрый вечер всем. Очень сильно комплексую по поводу нижней трети лица. Прикус 2 класс 2 подкласс, сейчас ношу брекеты, орт говорит что без операции(остеотомии) профиль улучшиться Немного...а меня терзают сомнения что так все и останется...это выступающая вперед верхняя губа...и в целом некрасивое положение губ. Скажите, пожалуйста, стоит ли в моем случае делать операцию по выдвижению нижней челюсти? Я сама только ЗА. Но орт говорит что из-за 2-3 мм не стоит ее делать... Я хочу все сделать чтобы добиться красивого профиля. Помогите , пожалуйста , разобраться Изменено 7 апреля, 2016 пользователем Кристина93 Ссылка на комментарий
Yana guapa Опубликовано 9 апреля, 2016 Поделиться Опубликовано 9 апреля, 2016 ...это выступающая вперед верхняя спгуба...и в целом некрасивое положение губ. Скажите, пожалуйста, стоит ли в моем случае делать операцию по выдвижению нижней челюсти? [/size] [/size]Кристина, на каком снйчас Вы этапе? Ретрузию (обратный наклон) верхних резцов устранили уже? Есть возможность куда перемещать нижнюю челюсть (вреред)?вы пробовали это делать и смотреть перед зеркалом? Нравится? Или зубы ставите правильно, а профиль все равно не нравится?? Подбородок при перемещении нижней челюсти до 1 класса нравится? Или уже сдишком выступает? Вам нужно точно определиться чего Вы хотите, понятие красоты у всех разное. Ссылка на комментарий
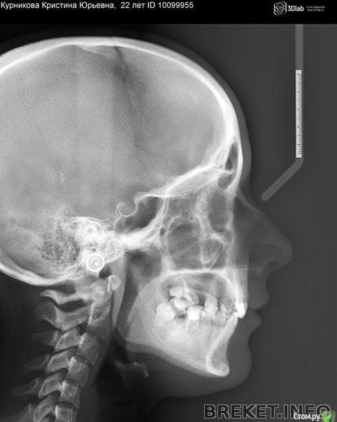
Кристина93 Опубликовано 9 апреля, 2016 Автор Поделиться Опубликовано 9 апреля, 2016 (изменено) Кристина, на каком снйчас Вы этапе? Ретрузию (обратный наклон) верхних резцов устранили уже? Есть возможность куда перемещать нижнюю челюсть (вреред)?вы пробовали это делать и смотреть перед зеркалом? Нравится? Или зубы ставите правильно, а профиль все равно не нравится?? Подбородок при перемещении нижней челюсти до 1 класса нравится? Или уже сдишком выступает? Вам нужно точно определиться чего Вы хотите, понятие красоты у всех разное.Относила брекеты на вч 7 месяцев. Ретрузия еще не устранена..месяц назад на низ поставила орт брекеты и надкусочные пломбы...Как вы думаете, мне уже больше 18 лет, тяги помогут вытянуть нч или аппарат Гербста, Форсус, например..? Профиль такой же и остался...не нравится что верхняя губа выступает вперед больше чем надо..как будто нижняя губа "не достает" до верхней ..на мой взгляд..положение губ какое-то некрасивое....или может так верхняя губа из-за неправильного наклона западает поэтому так некрасиво и выглядит? может если вперед выйдут или верхние или нижние зубы , положение губ станет красивым?? Кстати, я ходила еще к челюстно-лицевому хирургу в третий мед...он посмотрел меня снимки и сказала что даже там не 2-3 мм , а на 1 миллиметр выдвигать надо..но операция того не стоит..если орт все компенсирует... Может все таки на губы больше влияет не сама челюсть а зубы? Изменено 9 апреля, 2016 пользователем Кристина93 Ссылка на комментарий
Brigita Опубликовано 10 апреля, 2016 Поделиться Опубликовано 10 апреля, 2016 Кристина, у Вас очень красивый профиль.Мне кажется, что Вы похожи на какую то древнегреческую богиню....Столько женственности и обаяния на последнем фото. Ссылка на комментарий
Кристина93 Опубликовано 10 апреля, 2016 Автор Поделиться Опубликовано 10 апреля, 2016 Спасибо за комплимент..но все равно надо исправлять этот дефект..так как комплекс ...в связи с чем не удается личная жизнь 1 Ссылка на комментарий
Force Опубликовано 10 апреля, 2016 Поделиться Опубликовано 10 апреля, 2016 Мда. 1. Что с центром на верхней челюсти? У вас смещение и я так понимаю, что для отсуствующей четверки промежуток с выравниванием центральной линии никто делать не планирует? 2. По профилю показания к ортогнатии (или выдвижению нижней челюсти вперед без хирургии) есть, но нужна более полная картина по плану лечения - какие зубы планируется имплантировать? и вообще какой план лечения полный 1 Ссылка на комментарий
Кристина93 Опубликовано 11 апреля, 2016 Автор Поделиться Опубликовано 11 апреля, 2016 (изменено) Центр будут выравнивать . но он меня мало волнует , так как почти не улыбаюсь . Имплантаты орт сказала устанавливать только после снятия брекетов , во время лечения она будет использовать микроимпланты ... Вы сказали что показания есть без операции , или я не так поняла... ?)( Изменено 11 апреля, 2016 пользователем Кристина93 Ссылка на комментарий
Force Опубликовано 11 апреля, 2016 Поделиться Опубликовано 11 апреля, 2016 Так если вы не улыбаетесь, зачем тогда вообще исправлять что-либо? 1 Ссылка на комментарий
Кристина93 Опубликовано 11 апреля, 2016 Автор Поделиться Опубликовано 11 апреля, 2016 Потому что неправильный прикус, недоразвитие челюсти , что уродует мое лицо и выглядит не эстетично. . Ссылка на комментарий
Кристина93 Опубликовано 20 апреля, 2016 Автор Поделиться Опубликовано 20 апреля, 2016 Кристина, на каком снйчас Вы этапе? Ретрузию (обратный наклон) верхних резцов устранили уже? Есть возможность куда перемещать нижнюю челюсть (вреред)?вы пробовали это делать и смотреть перед зеркалом? Нравится? Или зубы ставите правильно, а профиль все равно не нравится?? Подбородок при перемещении нижней челюсти до 1 класса нравится? Или уже сдишком выступает? Вам нужно точно определиться чего Вы хотите, понятие красоты у всех разное. Скажите, пожалуйста, стоит ли в моем случае делать операцию если мне не нравится мой профиль? Ссылка на комментарий
Yana guapa Опубликовано 21 апреля, 2016 Поделиться Опубликовано 21 апреля, 2016 Скажите, пожалуйста, стоит ли в моем случае делать операцию если мне не нравится мой профиль?стоит или не стоит - решать только Вам. Профиль такой же и остался...не нравится что верхняя губа выступает вперед больше чем надо..как будто нижняя губа "не достает" до верхней ..на мой взгляд..положение губ какое-то некрасивое....или может так верхняя губа из-за неправильного наклона западает поэтому так некрасиво и выглядит? может если вперед выйдут или верхние или нижние зубы , положение губ станет красивым??Кстати, я ходила еще к челюстно-лицевому хирургу в третий мед...он посмотрел меня снимки и сказала что даже там не 2-3 мм , а на 1 миллиметр выдвигать надо..но операция того не стоит..если орт все компенсирует... Может все таки на губы больше влияет не сама челюсть а зубы? 1 мм здесь не пахнет! Верхняя губа нормальная, даже можно еще кпереди. Нижняя губа (и зубы) кзади, их нужно перемещать. Или специальными аппаратами (типа форсус, Гербста) , либо операцией. Чтобы решить окончательно, понравится Вам новое лицо или нет, для этого нужно ходить на ОЧНЫЕ консультации, где вам сделают новое лицо в специальное программе, где рассчитают все снимки и предложат несколько вариантов. бесплатно это делать никто не будет. Обратитесь к хорошему ортодонту и хирургу в современную клинику с современными возможностями, а не на глаз решайте сколько милиметров. Ссылка на комментарий
Кристина93 Опубликовано 21 апреля, 2016 Автор Поделиться Опубликовано 21 апреля, 2016 стоит или не стоит - решать только Вам. 1 мм здесь не пахнет! Верхняя губа нормальная, даже можно еще кпереди. Нижняя губа (и зубы) кзади, их нужно перемещать. Или специальными аппаратами (типа форсус, Гербста) , либо операцией. Чтобы решить окончательно, понравится Вам новое лицо или нет, для этого нужно ходить на ОЧНЫЕ консультации, где вам сделают новое лицо в специальное программе, где рассчитают все снимки и предложат несколько вариантов. бесплатно это делать никто не будет. Обратитесь к хорошему ортодонту и хирургу в современную клинику с современными возможностями, а не на глаз решайте сколько милиметров. Я была в мгмсу у хирурга..он сказал что после снятия брекетов. если что то не будет нравится то можно сделать гениопластику костную.пока нет необходимости в операции... может вы посоветуете мне хирурга в Москве?) Ссылка на комментарий
Yana guapa Опубликовано 21 апреля, 2016 Поделиться Опубликовано 21 апреля, 2016 Я была в мгмсу у хирурга..он сказал что после снятия брекетов. если что то не будет нравится то можно сделать гениопластику костную.пока нет необходимости в операции... может вы посоветуете мне хирурга в Москве?) после снятия брекетов - уже НИЧЕГО ТОЛКОВОГО не сделать! если планируется ортогнатия, то только с брекетами! и лпнируется заранее хорошим ортодонтом и отличным хирургом! какая гениопластика в вашем случае? вот что такое гениопластика - вас такой результат устроит? http://i9.pixs.ru/storage/1/6/2/post474370_1480475_21643162.jpg в норме вот так должно быть (Arnett) . Это перемещение нижней челюсти вперед (как - уже писалось выше). Как и говорила раньше - верхняя губа еще не дотягивает вперед 2 мм до нормы. http://i9.pixs.ru/storage/1/7/0/Sistematiz_1379239_21643170.png у вас много пробелов в плане лечения, нет опоры в боковом отделе, нет даже цели конкретной, не то что способов их достижения. это все решается еще ДО установки брекетов. (хирург - в личку) Ссылка на комментарий
Кристина93 Опубликовано 24 апреля, 2016 Автор Поделиться Опубликовано 24 апреля, 2016 после снятия брекетов - уже НИЧЕГО ТОЛКОВОГО не сделать! если планируется ортогнатия, то только с брекетами! и лпнируется заранее хорошим ортодонтом и отличным хирургом! какая гениопластика в вашем случае? вот что такое гениопластика - вас такой результат устроит? в норме вот так должно быть (Arnett) . Это перемещение нижней челюсти вперед (как - уже писалось выше). Как и говорила раньше - верхняя губа еще не дотягивает вперед 2 мм до нормы. у вас много пробелов в плане лечения, нет опоры в боковом отделе, нет даже цели конкретной, не то что способов их достижения. это все решается еще ДО установки брекетов. (хирург - в личку) Я имела ввиду костную гениопластику...как мне объяснили, берется фрагмент нижней челюсти и выдвигается вперед. Ссылка на комментарий
Кристина93 Опубликовано 24 апреля, 2016 Автор Поделиться Опубликовано 24 апреля, 2016 (изменено) Я имела ввиду костную гениопластику...как мне объяснили, берется фрагмент нижней челюсти и выдвигается вперед. Наверное, рано еще для опоры в боковом отделе...прошло полгода... В моем случае орт сказала что протезироваться только после снятия брекетов. Во время лечения будет использовать микроимпланты.... Изменено 24 апреля, 2016 пользователем Кристина93 Ссылка на комментарий
Yana guapa Опубликовано 24 апреля, 2016 Поделиться Опубликовано 24 апреля, 2016 Я имела ввиду костную гениопластику...как мне объяснили, берется фрагмент нижней челюсти и выдвигается вперед. кристина, пропишите - "гениоплатика", эффект будет таким, как я нарисовала = только подбородок вперед (само собой костные структуры) . чтобы губы тоже переместились вперед , то это пластика всей челюсти (различные методики) , а в идеале - двух челюстей. хирурггов я вам посоветовала, сходите на ОЧНУЮ консультацию. в интернете вашу проблему не решат. 1 Ссылка на комментарий
Рекомендуемые сообщения
Для публикации сообщений создайте учётную запись или авторизуйтесь
Вы должны быть пользователем, чтобы оставить комментарий
Создать аккаунт
Зарегистрируйте новый аккаунт в нашем сообществе. Это очень просто!
Регистрация нового пользователяВойти
Уже есть аккаунт? Войти в систему.
Войти