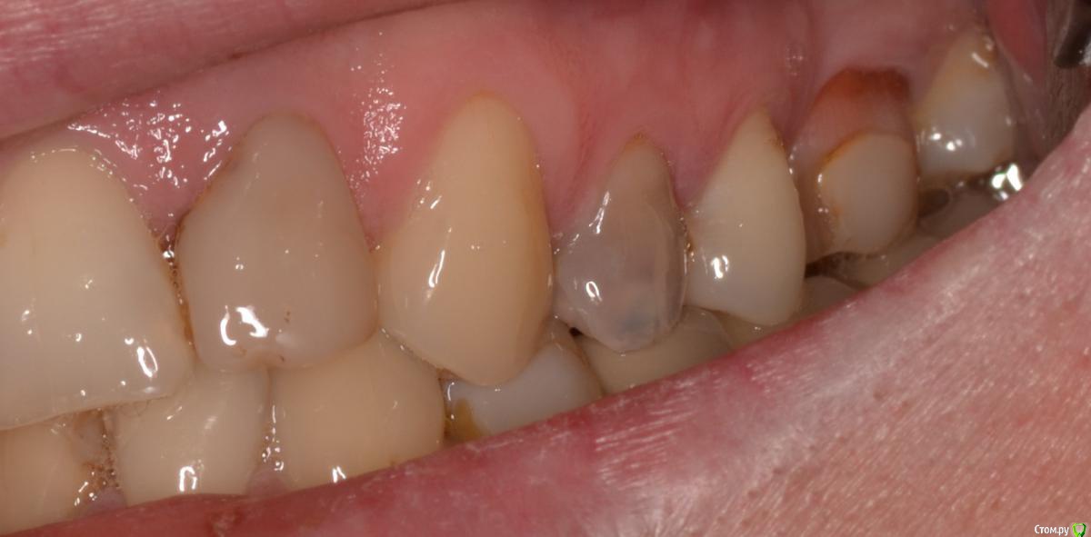
Военный Врач Опубликовано 5 апреля, 2016 Поделиться Опубликовано 5 апреля, 2016 Удалили и прикрутили. между имплантацией и снятием швов 9 суток. лунку закрывал тканями с бугра 18 Ссылка на комментарий
red_butler Опубликовано 5 апреля, 2016 Поделиться Опубликовано 5 апреля, 2016 Торк не позволил ФДМ поставить? Ссылка на комментарий
Aquarius Опубликовано 5 апреля, 2016 Поделиться Опубликовано 5 апреля, 2016 (изменено) Как приятно читать надписи на родном языке))) И Саш, может стоило чуточку глубже поставить? Изменено 5 апреля, 2016 пользователем Aquarius 1 Ссылка на комментарий
Военный Врач Опубликовано 5 апреля, 2016 Автор Поделиться Опубликовано 5 апреля, 2016 Торк не позволил ФДМ поставить?торк очень низкий. не будем торопиться Ссылка на комментарий
Военный Врач Опубликовано 5 апреля, 2016 Автор Поделиться Опубликовано 5 апреля, 2016 Как приятно читать надписи на родном языке))) И Саш, может стоило чуточку глубже поставить?там и так очень глубоко. просто красиво фотографировать так и не научился... Ссылка на комментарий
red_butler Опубликовано 5 апреля, 2016 Поделиться Опубликовано 5 апреля, 2016 там и так очень глубоко. просто красиво фотографировать так и не научился...На похвалу напрашиваешься ))) Ссылка на комментарий
Карен Аванесов Опубликовано 5 апреля, 2016 Поделиться Опубликовано 5 апреля, 2016 патамушто военный Ссылка на комментарий
krokomot Опубликовано 5 апреля, 2016 Поделиться Опубликовано 5 апреля, 2016 а со снимком что? 1 Ссылка на комментарий
Alexey Doc Опубликовано 5 апреля, 2016 Поделиться Опубликовано 5 апреля, 2016 Александр почему выбрали обычный винт а не эволюшн?Я на них при одномоментной очень приличные торки получаю. Ссылка на комментарий
Военный Врач Опубликовано 6 апреля, 2016 Автор Поделиться Опубликовано 6 апреля, 2016 патамушто военныйуважаемый, подробности в личку Ссылка на комментарий
Военный Врач Опубликовано 6 апреля, 2016 Автор Поделиться Опубликовано 6 апреля, 2016 Александр почему выбрали обычный винт а не эволюшн?Я на них при одномоментной очень приличные торки получаю.в запаре посмотрел на эволюшен, а взял лико. корень удалял 45 минут, упарился Ссылка на комментарий
Военный Врач Опубликовано 6 апреля, 2016 Автор Поделиться Опубликовано 6 апреля, 2016 а со снимком что? Ссылка на комментарий
krokomot Опубликовано 6 апреля, 2016 Поделиться Опубликовано 6 апреля, 2016 А чего парился то))) надо было как в поликлинике "врач от бога за 3 секунды удалил" поглубже наложиться на кость и хрясь, кусок верхней челюсти и главное ВЕСЬ корень в руках, и сразу видно что доктор ничего там не оставил))) Ссылка на комментарий
Жандос Муратович Опубликовано 6 апреля, 2016 Поделиться Опубликовано 6 апреля, 2016 торк очень низкий. не будем торопиться здраствуйте! очень хорошо получилось! А при каком торке вы ставите фдм сразу? Ссылка на комментарий
Jurai Опубликовано 6 апреля, 2016 Поделиться Опубликовано 6 апреля, 2016 А чего парился то))) надо было как в поликлинике "врач от бога за 3 секунды удалил" поглубже наложиться на кость и хрясь, кусок верхней челюсти и главное ВЕСЬ корень в руках, и сразу видно что доктор ничего там не оставил)))вот вы тут ржете, а у меня медсестра новая, 30 лет опыта в хирургии в госке. Не стесняется мне при пациенте выговаривать, что больно долго я возюкаюсь, вот тааам у нее врач (тут глаза к небу и палец в потолок) любой, ваще любой, зуб за секунду и абсолютно атравматично. Я аж ослепла, оглохла, начала заикаться и хромать как она мне это выдала впервые. На второй раз велела выйти из кабинета - она так и не поняла "А что не так?". 3 1 Ссылка на комментарий
kladoffka Опубликовано 6 апреля, 2016 Поделиться Опубликовано 6 апреля, 2016 вот вы тут ржете, а у меня медсестра новая, 30 лет опыта в хирургии в госке. Не стесняется мне при пациенте выговаривать, что больно долго я возюкаюсь, вот тааам у нее врач (тут глаза к небу и палец в потолок) любой, ваще любой, зуб за секунду и абсолютно атравматично. Я аж ослепла, оглохла, начала заикаться и хромать как она мне это выдала впервые. На второй раз велела выйти из кабинета - она так и не поняла "А что не так?".Я вот теперь боюсь асси из госок брать, они слишком умные для меня. 2 Ссылка на комментарий
Doc Опубликовано 6 апреля, 2016 Поделиться Опубликовано 6 апреля, 2016 Я вот теперь боюсь асси из госок брать, они слишком умные для меня.Поверьте, тут вопрос даже не в госке, а в полном отсутствии мозгов. 6 Ссылка на комментарий
dent-a Опубликовано 7 апреля, 2016 Поделиться Опубликовано 7 апреля, 2016 вот вы тут ржете, а у меня медсестра новая, 30 лет опыта в хирургии в госке. Не стесняется мне при пациенте выговаривать, что больно долго я возюкаюсь, вот тааам у нее врач (тут глаза к небу и палец в потолок) любой, ваще любой, зуб за секунду и абсолютно атравматично. Я аж ослепла, оглохла, начала заикаться и хромать как она мне это выдала впервые. На второй раз велела выйти из кабинета - она так и не поняла "А что не так?".Сериал есть америкосовский - по Булгакову - Записки Юного врача. Там смешно медсёстры старого уездного доктора вспоминали - А вот Леопольд Леопольдович ... ну и т.д. советую ) А мы так теперь Фёдора Фёдоровича - профессора - зовём =) Ссылка на комментарий
Карен Аванесов Опубликовано 7 апреля, 2016 Поделиться Опубликовано 7 апреля, 2016 Ф.Ф.Лосев? Ссылка на комментарий
Военный Врач Опубликовано 8 апреля, 2016 Автор Поделиться Опубликовано 8 апреля, 2016 вот вы тут ржете, а у меня медсестра новая, 30 лет опыта в хирургии в госке. Не стесняется мне при пациенте выговаривать, что больно долго я возюкаюсь, вот тааам у нее врач (тут глаза к небу и палец в потолок) любой, ваще любой, зуб за секунду и абсолютно атравматично. Я аж ослепла, оглохла, начала заикаться и хромать как она мне это выдала впервые. На второй раз велела выйти из кабинета - она так и не поняла "А что не так?".в следующий раз,Лиль, наступи ей пяткой на ногу и все нормализуется. Ссылка на комментарий
Jurai Опубликовано 8 апреля, 2016 Поделиться Опубликовано 8 апреля, 2016 в следующий раз,Лиль, наступи ей пяткой на ногу и все нормализуется. Неудобно. Она не соизволяет из-за письменного стола подниматься. А острое стремление выставить пациента после анестезии в коридор - вообще неистребимо. Так и бодаемся - "Вставайте, в коридоре подождите." - "Нет! Сидите! Отдыхайте! не надо никуда выходить!" Ссылка на комментарий
Карен Аванесов Опубликовано 8 апреля, 2016 Поделиться Опубликовано 8 апреля, 2016 (изменено) Ну правильно, рефлексы, в поликлинике она талоны сидела писала, УЕТы, а тут, другой мир. будьте к ней добрее, со временем она будет также восхищаться Вами. Изменено 8 апреля, 2016 пользователем Карен Аванесов 1 Ссылка на комментарий
dent-a Опубликовано 8 апреля, 2016 Поделиться Опубликовано 8 апреля, 2016 Ф.Ф.Лосев?оу Е-е-е Ссылка на комментарий
Карен Аванесов Опубликовано 8 апреля, 2016 Поделиться Опубликовано 8 апреля, 2016 Федор Федорович крут, 15-20 лет назад он делал то что сейчас показывают здесь вызывая восторг. Ссылка на комментарий
Карен Аванесов Опубликовано 8 апреля, 2016 Поделиться Опубликовано 8 апреля, 2016 Делал одним из первых в России. Ссылка на комментарий
Рекомендуемые сообщения
Для публикации сообщений создайте учётную запись или авторизуйтесь
Вы должны быть пользователем, чтобы оставить комментарий
Создать аккаунт
Зарегистрируйте новый аккаунт в нашем сообществе. Это очень просто!
Регистрация нового пользователяВойти
Уже есть аккаунт? Войти в систему.
Войти