crown Опубликовано 13 апреля, 2016 Автор Поделиться Опубликовано 13 апреля, 2016 я композиты ставлю всегда на депульпиров. зубы. на цинк эвгенол прокладку и сразу композит. все стоит отлично. наблюдений более чем достаточно. я привыкла лечить пульпиты в одно посещение, а с мта нужно в 2. вот и не хочется переходить. я в одно с мта Ссылка на комментарий
Джима Опубликовано 13 апреля, 2016 Поделиться Опубликовано 13 апреля, 2016 он просто мамку не хотел расстраивать))) Своих я тоже щадяще и под наблюдение, а так в основном радикально все.так и чужих так же многих. если условия хорошие и ребёнок общесоматически ничё так, могу и вскрытую дистально пульпу в четвёрке закрыть бондом, всё т-т-т. я в одно с мтакаким мта? биодентин или чё попроще? Ссылка на комментарий
crown Опубликовано 13 апреля, 2016 Автор Поделиться Опубликовано 13 апреля, 2016 так и чужих так же многих. если условия хорошие и ребёнок общесоматически ничё так, могу и вскрытую дистально пульпу в четвёрке закрыть бондом, всё т-т-т. каким мта? биодентин или чё попроще?пробовал ангелус, ну очень дорого, сейчас триоксидентом, про биодентин чет не слышал, ща почитаю. Ссылка на комментарий
Kota Опубликовано 13 апреля, 2016 Поделиться Опубликовано 13 апреля, 2016 пробовал ангелус, ну очень дорого, сейчас триоксидентом, про биодентин чет не слышал, ща почитаю.за биодентин очень хорошие отзывы. я недавно ходила на конференцию. но он стынет около 15 мин Ссылка на комментарий
Джима Опубликовано 13 апреля, 2016 Поделиться Опубликовано 13 апреля, 2016 сейчас триоксидентом,а можно поподробней с этого места? долго ждёте, пока застынет? чем перекрываете? Ссылка на комментарий
crown Опубликовано 13 апреля, 2016 Автор Поделиться Опубликовано 13 апреля, 2016 а можно поподробней с этого места? долго ждёте, пока застынет? чем перекрываете?полностью что то около суток, а так не долго, минут 10, я не жду сверху ионосит и сразу реставрация. Ссылка на комментарий
Джима Опубликовано 13 апреля, 2016 Поделиться Опубликовано 13 апреля, 2016 уже тоже тему нашла чем моете культю под триоксидент? Ссылка на комментарий
crown Опубликовано 13 апреля, 2016 Автор Поделиться Опубликовано 13 апреля, 2016 (изменено) уже тоже тему нашла чем моете культю под триоксидент?хг 0,05%, вискостат, триоксидент, ионосит, филтек. Изменено 13 апреля, 2016 пользователем crown Ссылка на комментарий
Джима Опубликовано 13 апреля, 2016 Поделиться Опубликовано 13 апреля, 2016 хг 0,05% так он же.. того.. вода короче. давно наблюдаете пациентов, всё спок, 0.05% хватает?давно подозреваю, что наша обработка почти никакой роли не играет, молочный зуб и без нас всех кариозных монстров победит, главное закрыть тщательно. Ссылка на комментарий
ЕленаВалерьевна Опубликовано 13 апреля, 2016 Поделиться Опубликовано 13 апреля, 2016 если условия хорошие и ребёнок общесоматически ничё так, могу и вскрытую дистально пульпу в четвёрке закрыть бондом, всё т-т-т. это всмысле если случайное вскрытие? если надеялись до последнего что всё-таки кариес? а только в четверках прокатывает? а то я как то из-за перестраховки все "просвечивания" даже депульпирую. может зря так радикально делаю. Ссылка на комментарий
CRAZYDUCK Опубликовано 13 апреля, 2016 Поделиться Опубликовано 13 апреля, 2016 Ну да , вроде кариес лечишь,и вскрылся рог пульпы .можно и на 5 ,даже кто-то в резцах так делал . Но я тоже лучше ампутацию сделаю. Ссылка на комментарий
ЕленаВалерьевна Опубликовано 13 апреля, 2016 Поделиться Опубликовано 13 апреля, 2016 Ну да , вроде кариес лечишь,и вскрылся рог пульпы .можно и на 5 ,даже кто-то в резцах так делал . Но я тоже лучше ампутацию сделаю. и я, как то страшно мне)в постоянных конечно витальным предпочитаю до последнего оставлять, просто предупреждаю, если будут боли, то эндо не избежать. Ссылка на комментарий
Kota Опубликовано 14 апреля, 2016 Поделиться Опубликовано 14 апреля, 2016 а можно поподробней с этого места? долго ждёте, пока застынет? чем перекрываете?можно встречный вопрос? чем вы пользуетесь, что бы лечить в одно посещение пульпит молочного зуба? Ссылка на комментарий
crown Опубликовано 14 апреля, 2016 Автор Поделиться Опубликовано 14 апреля, 2016 (изменено) так он же.. того.. вода короче. давно наблюдаете пациентов, всё спок, 0.05% хватает?давно подозреваю, что наша обработка почти никакой роли не играет, молочный зуб и без нас всех кариозных монстров победит, главное закрыть тщательно.Вот вы сами и ответили)) Да на счет мед обработки согласен. На Илью Мера ездили? Так вот он вообще не надеется на мед обработку, практически ее не проводит, только механическую. Так что постоянный зуб с монстрами тоже справляется) Изменено 14 апреля, 2016 пользователем crown Ссылка на комментарий
доквика Опубликовано 14 апреля, 2016 Поделиться Опубликовано 14 апреля, 2016 Вот вы сами и ответили)) Да на счет мед обработки согласен. На Илью Мера ездили? Так вот он вообще не надеется на мед обработку, практически ее не проводит, только механическую. Так что постоянный зуб с монстрами тоже справляется)[/. quote] не, ну а как мех. обработка без медикаментозной? Я не надеюсь только на мех. обр. Ссылка на комментарий
Kota Опубликовано 14 апреля, 2016 Поделиться Опубликовано 14 апреля, 2016 на последней конференции нам говорили, что при витальной ампутации лучше ложить МТА если несформиров. корень и цинк эвгенол, если сформирован. Ссылка на комментарий
crown Опубликовано 14 апреля, 2016 Автор Поделиться Опубликовано 14 апреля, 2016 на последней конференции нам говорили, что при витальной ампутации лучше ложить МТА если несформиров. корень и цинк эвгенол, если сформирован. чем обосновано? Ссылка на комментарий
crown Опубликовано 14 апреля, 2016 Автор Поделиться Опубликовано 14 апреля, 2016 Вот вы сами и ответили)) Да на счет мед обработки согласен. На Илью Мера ездили? Так вот он вообще не надеется на мед обработку, практически ее не проводит, только механическую. Так что постоянный зуб с монстрами тоже справляется)[/. quote] не, ну а как мех. обработка без медикаментозной? Я не надеюсь только на мех. обр.я тоже сначала не верил, пока не увидел результаты, а они идеальные. Ссылка на комментарий
Джима Опубликовано 15 апреля, 2016 Поделиться Опубликовано 15 апреля, 2016 Вот вы сами и ответили)) Да на счет мед обработки согласен. На Илью Мера ездили? Так вот он вообще не надеется на мед обработку, практически ее не проводит, только механическую. Так что постоянный зуб с монстрами тоже справляется)ну, вы не равнозначные вещи сравниваете, имхо. там граница организма по апексу проходит, апекс легче оборонять. а тут культя пульпы в канале, в замкнутом пространстве и в условиях скудного жизнеобеспечения. В постоянном сформированном моляре ампутация на уровне устья с хг 0,05% и потом МТА, думаю, успеха иметь не будет, а если и будет, то далеко не всегда... хотя... может и будет фиг знай, экспериментировать на детях неохота. чем вы пользуетесь, чтобы лечить в одно посещение пульпит молочного зуба? ужасным ядовитым пульпотеком. это последние где-то года три. до того ЦОЭ делала. с чего у меня пульпотек появился, вообще не помню. как-то сам пришёл и остался. от МТА до сих пор удерживали только сомнения "застынет-не застынет", как и д-ра crown. пожалуй, буду делать триоксидентом. но полностью от пульпотека не откажусь, результаты хорошие, всё хорошо стоит и выпадает в срок ( первые четвёрки уже были на удалении), падают спокойно, без осложнений. ничем под него не мою и всё ок. а насчёт ужас-ужас параформальдегида - так жить вообще страшно Ссылка на комментарий
Kota Опубликовано 16 апреля, 2016 Поделиться Опубликовано 16 апреля, 2016 ну, вы не равнозначные вещи сравниваете, имхо. там граница организма по апексу проходит, апекс легче оборонять. а тут культя пульпы в канале, в замкнутом пространстве и в условиях скудного жизнеобеспечения. В постоянном сформированном моляре ампутация на уровне устья с хг 0,05% и потом МТА, думаю, успеха иметь не будет, а если и будет, то далеко не всегда... хотя... может и будет фиг знай, экспериментировать на детях неохота. ужасным ядовитым пульпотеком. это последние где-то года три. до того ЦОЭ делала. с чего у меня пульпотек появился, вообще не помню. как-то сам пришёл и остался. от МТА до сих пор удерживали только сомнения "застынет-не застынет", как и д-ра crown. пожалуй, буду делать триоксидентом. но полностью от пульпотека не откажусь, результаты хорошие, всё хорошо стоит и выпадает в срок ( первые четвёрки уже были на удалении), падают спокойно, без осложнений. ничем под него не мою и всё ок. а насчёт ужас-ужас параформальдегида - так жить вообще страшно а как вы его замешиваете, что бы в одно посещение? так же густо как и цинк эвгенол? Ссылка на комментарий
Kota Опубликовано 16 апреля, 2016 Поделиться Опубликовано 16 апреля, 2016 чем обосновано?ничем не обосновали. лекция проходила в ускоренном темпе, по этому сказали как факт. Ссылка на комментарий
crown Опубликовано 16 апреля, 2016 Автор Поделиться Опубликовано 16 апреля, 2016 ну, вы не равнозначные вещи сравниваете, имхо. там граница организма по апексу проходит, апекс легче оборонять. а тут культя пульпы в канале, в замкнутом пространстве и в условиях скудного жизнеобеспечения. В постоянном сформированном моляре ампутация на уровне устья с хг 0,05% и потом МТА, думаю, успеха иметь не будет, а если и будет, то далеко не всегда... хотя... может и будет фиг знай, экспериментировать на детях неохота. ужасным ядовитым пульпотеком. это последние где-то года три. до того ЦОЭ делала. с чего у меня пульпотек появился, вообще не помню. как-то сам пришёл и остался. от МТА до сих пор удерживали только сомнения "застынет-не застынет", как и д-ра crown. пожалуй, буду делать триоксидентом. но полностью от пульпотека не откажусь, результаты хорошие, всё хорошо стоит и выпадает в срок ( первые четвёрки уже были на удалении), падают спокойно, без осложнений. ничем под него не мою и всё ок. а насчёт ужас-ужас параформальдегида - так жить вообще страшно Я вот отказался от пульпотека, у меня были осложнения в виде полной резорбции корней, при условии герметичности. Пульпотек это формальдегид, соответсвенно он мумифицирует, а мумифицировать можно только мертвую ткань, а пульпа у нас живая. Я читал что полиоксиметилен(полиформальдегид), который входит в состав порошка коагулирует альбумины, тем самым вызывает поверхностную девитализацию, но на какую глубину он девитализирует? и до куда проникает формалин? как вообще это все работает? имхо он просто убивает зону роста, с последующей резорбцией корней, я пасс. Ссылка на комментарий
ЕленаВалерьевна Опубликовано 16 апреля, 2016 Поделиться Опубликовано 16 апреля, 2016 Я вот отказался от пульпотека, у меня были осложнения в виде полной резорбции корней, при условии герметичности. Пульпотек это формальдегид, соответсвенно он мумифицирует, а мумифицировать можно только мертвую ткань, а пульпа у нас живая. Я читал что полиоксиметилен(полиформальдегид), который входит в состав порошка коагулирует альбумины, тем самым вызывает поверхностную девитализацию, но на какую глубину он девитализирует? и до куда проникает формалин? как вообще это все работает? имхо он просто убивает зону роста, с последующей резорбцией корней, я пасс. дык, как бы им на молочках пользуемся, пускай себе резобрируются. постоянные потом нормальные вырастают. Ссылка на комментарий
Kota Опубликовано 16 апреля, 2016 Поделиться Опубликовано 16 апреля, 2016 дык, как бы им на молочках пользуемся, пускай себе резобрируются. постоянные потом нормальные вырастают. ну не скажите. если ранняя резорбция корней, то не факт, что зачаток рано прорежется. а как же предупреждение ортодонтической деформации? Ссылка на комментарий
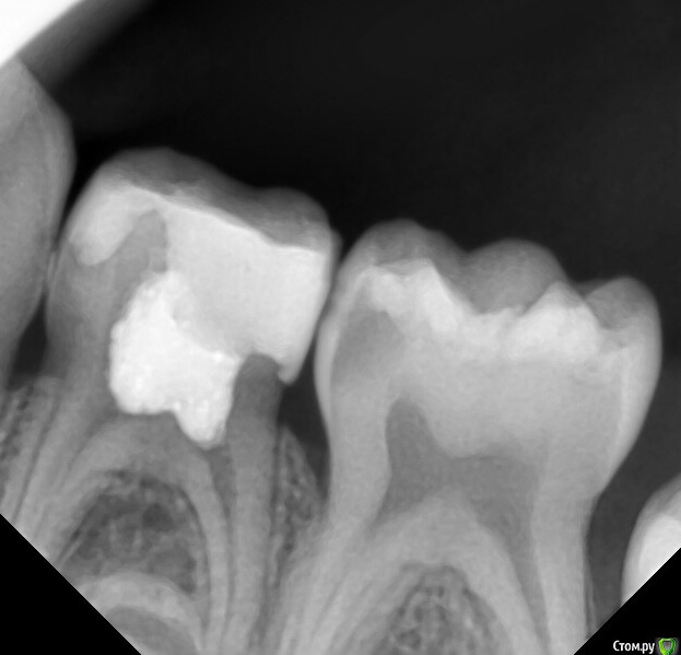
CRAZYDUCK Опубликовано 16 апреля, 2016 Поделиться Опубликовано 16 апреля, 2016 Я вот отказался от пульпотека, у меня были осложнения в виде полной резорбции корней, при условии герметичности. Пульпотек это формальдегид, соответсвенно он мумифицирует, а мумифицировать можно только мертвую ткань, а пульпа у нас живая. Я читал что полиоксиметилен(полиформальдегид), который входит в состав порошка коагулирует альбумины, тем самым вызывает поверхностную девитализацию, но на какую глубину он девитализирует? и до куда проникает формалин? как вообще это все работает? имхо он просто убивает зону роста, с последующей резорбцией корней, я пасс.Каждому свое ,crown, я не могу о пульпотеке плохо сказать,но несколько месяцев им не работаю ,перешла на рутдент быстротвердеющий (мта ),но перешла по след причинам -пульпотек очень резко пахнет (до слез в глазах ),и хочется что-то новое пробовать. Но работала пульпотеком почти 6 лет и результаты хорошие ,патологической резорбции не наблюдала,были осложнения очень давно ,но в тех случаях ,в которых реставрация большой полости сделана витремером ,он скалывался по контакту и тд.Прикрепляю только два снимка с пульпотеком ,наблюдения больше года ,снимки делала для диагностики "скрытого " кариеса на 5 ,поэтому корни не полностью у 4 . Но неплохих снимков с пульпотеком очень много Если несложно ,выложите с мта .интересно посмотреть . 2 Ссылка на комментарий
Рекомендуемые сообщения
Для публикации сообщений создайте учётную запись или авторизуйтесь
Вы должны быть пользователем, чтобы оставить комментарий
Создать аккаунт
Зарегистрируйте новый аккаунт в нашем сообществе. Это очень просто!
Регистрация нового пользователяВойти
Уже есть аккаунт? Войти в систему.
Войти