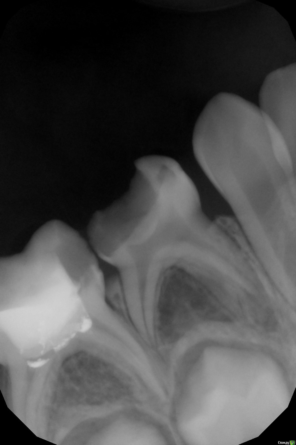
crown Опубликовано 5 апреля, 2016 Поделиться Опубликовано 5 апреля, 2016 Ничего особенного, стандартная ситуация. Зуб 8.4, ребенку 5,5 лет. В бифуркации не четкий рисунок. Зуб не беспокоит, зондирование болезненно. Витальная ампутация? или все таки лезть в каналы? Ссылка на комментарий
anvladd Опубликовано 5 апреля, 2016 Поделиться Опубликовано 5 апреля, 2016 своему делал ампутацию. полет нормальный. 1 Ссылка на комментарий
krokomot Опубликовано 5 апреля, 2016 Поделиться Опубликовано 5 апреля, 2016 +1 за ампутацию Ссылка на комментарий
CRAZYDUCK Опубликовано 5 апреля, 2016 Поделиться Опубликовано 5 апреля, 2016 (изменено) А я бы после ампутации посмотрела -если гемостаз хороший ,то ампутация, ну если кровит , то витальная экстирпация в одно посещение .На снимке часто бывает нечеткий рисунок в зоне бифуркации, а в зубе -все "спокойно" Изменено 5 апреля, 2016 пользователем CRAZYDUCK Ссылка на комментарий
доквика Опубликовано 6 апреля, 2016 Поделиться Опубликовано 6 апреля, 2016 А я бы после ампутации посмотрела -если гемостаз хороший ,то ампутация, ну если кровит , то витальная экстирпация в одно посещение .На снимке часто бывает нечеткий рисунок в зоне бифуркации, а в зубе -все "спокойно" хороший гемостаз, это когда кровотечение останавливается в течение 3-4 минут, а как Вы считаете, анестезия ведь может влиять на гемостаз у каждого конкретного ребенка? Ссылка на комментарий
ЕленаВалерьевна Опубликовано 6 апреля, 2016 Поделиться Опубликовано 6 апреля, 2016 хороший гемостаз, это когда кровотечение останавливается в течение 3-4 минут, а как Вы считаете, анестезия ведь может влиять на гемостаз у каждого конкретного ребенка? не особо она влияет. уж если пульпа кровит сильно, и ампутация не прокатит то это сразу видно будет. 1 Ссылка на комментарий
CRAZYDUCK Опубликовано 6 апреля, 2016 Поделиться Опубликовано 6 апреля, 2016 (изменено) доквика,я полностью согласна с Еленой Валерьевной. Изменено 6 апреля, 2016 пользователем CRAZYDUCK Ссылка на комментарий
crown Опубликовано 7 апреля, 2016 Автор Поделиться Опубликовано 7 апреля, 2016 хороший гемостаз, это когда кровотечение останавливается в течение 3-4 минут, а как Вы считаете, анестезия ведь может влиять на гемостаз у каждого конкретного ребенка?Наш гемостаб остановит кровотечение из сонной артерии, так что это не показатель. Ссылка на комментарий
CRAZYDUCK Опубликовано 7 апреля, 2016 Поделиться Опубликовано 7 апреля, 2016 А я гемостабом не пользуюсь при витальной ампутации Ссылка на комментарий
crown Опубликовано 7 апреля, 2016 Автор Поделиться Опубликовано 7 апреля, 2016 А я гемостабом не пользуюсь при витальной ампутациину ок вискостат тоже не плох Ссылка на комментарий
ЕленаВалерьевна Опубликовано 8 апреля, 2016 Поделиться Опубликовано 8 апреля, 2016 я вообще ничем не пользуюсь для остановки, стерильный ватный шарик, ну в редких случаях с перекисью. всё хорошо останавливается. 1 Ссылка на комментарий
crown Опубликовано 8 апреля, 2016 Автор Поделиться Опубликовано 8 апреля, 2016 я вообще ничем не пользуюсь для остановки, стерильный ватный шарик, ну в редких случаях с перекисью. всё хорошо останавливается. согласен, но потом может опять закровить, особенно когда наносишь лечебную прокладку, по крайне мере у меня так бывает, а железом уже наверняка) Ссылка на комментарий
ЕленаВалерьевна Опубликовано 8 апреля, 2016 Поделиться Опубликовано 8 апреля, 2016 согласен, но потом может опять закровить, особенно когда наносишь лечебную прокладку, по крайне мере у меня так бывает, а железом уже наверняка) читала, что немного крови не снижает эффективность данного метода. я железом крайне редко пользуюсь, не люблю потом всю эту "грязь", черную свернувшуюся кровь. Ссылка на комментарий
crown Опубликовано 8 апреля, 2016 Автор Поделиться Опубликовано 8 апреля, 2016 (изменено) читала, что немного крови не снижает эффективность данного метода. я железом крайне редко пользуюсь, не люблю потом всю эту "грязь", черную свернувшуюся кровь.это в инструкции пульпотека. Да и при плохом гемостазе формируется сгусток, который препятствует формированию дентинного мостика, ну а потом резорбция корня. Изменено 8 апреля, 2016 пользователем crown Ссылка на комментарий
ЕленаВалерьевна Опубликовано 8 апреля, 2016 Поделиться Опубликовано 8 апреля, 2016 это в инструкции пульпотека. Да и при плохом гемостазе формируется сгусток, который препятствует формированию дентинного мостика, ну а потом резорбция корня.так она и так будет, резорбция то.я пульпотеком пользуюсь если не кровит (всмысле останавливается само в течение 3-4 мин), а если уж сильно кровит, лучше экстерпировать, как то надежнее мне, спокойнее. 1 Ссылка на комментарий
crown Опубликовано 8 апреля, 2016 Автор Поделиться Опубликовано 8 апреля, 2016 так она и так будет, резорбция то.я пульпотеком пользуюсь если не кровит (всмысле останавливается само в течение 3-4 мин), а если уж сильно кровит, лучше экстерпировать, как то надежнее мне, спокойнее. Да вот тоже подумываю полностью перейти на экстирпацию. Так спокойнее спится, тем более зуб часто коронкой закрываю, сумма приличная получается. Ссылка на комментарий
ЕленаВалерьевна Опубликовано 9 апреля, 2016 Поделиться Опубликовано 9 апреля, 2016 Да вот тоже подумываю полностью перейти на экстирпацию. Так спокойнее спится, тем более зуб часто коронкой закрываю, сумма приличная получается. да полностью то может и не обязательно?а если случайное вскрытие полости при лечении кариеса? я еще в молочках и глубокий кариес не лечу, если сомнения у меня какие есть, я сразу как пульпит лечить буду, чтоб не пришли через несколько месяцев с проблемами и жалобами. вот тут как раз пульпотек рулит (для меня) Ссылка на комментарий
crown Опубликовано 9 апреля, 2016 Автор Поделиться Опубликовано 9 апреля, 2016 да полностью то может и не обязательно?а если случайное вскрытие полости при лечении кариеса? я еще в молочках и глубокий кариес не лечу, если сомнения у меня какие есть, я сразу как пульпит лечить буду, чтоб не пришли через несколько месяцев с проблемами и жалобами. вот тут как раз пульпотек рулит (для меня)Ох кариеса я давно не видел в молочках. Как говорит великий Даггал если задет краевой гребень, то это пульпит. Пульпотек - зло!(имхо) Давно уже не использую. Я не понимаю вообще механизм его действия. Ссылка на комментарий
ЕленаВалерьевна Опубликовано 9 апреля, 2016 Поделиться Опубликовано 9 апреля, 2016 Ох кариеса я давно не видел в молочках. Как говорит великий Даггал если задет краевой гребень, то это пульпит. Пульпотек - зло!(имхо) Давно уже не использую. Я не понимаю вообще механизм его действия.а чем Вы при ампутации пользуетесь? цоэ? мта? Ссылка на комментарий
crown Опубликовано 9 апреля, 2016 Автор Поделиться Опубликовано 9 апреля, 2016 Раньше цоэ, сейчас перешел на мта Ссылка на комментарий
Kota Опубликовано 12 апреля, 2016 Поделиться Опубликовано 12 апреля, 2016 Раньше цоэ, сейчас перешел на мтаи как? я все не решусь перейти на мта. под цинк эвгенолом просто отличные результаты. боюсь экспериментировать. Ссылка на комментарий
crown Опубликовано 12 апреля, 2016 Автор Поделиться Опубликовано 12 апреля, 2016 и как? я все не решусь перейти на мта. под цинк эвгенолом просто отличные результаты. боюсь экспериментировать.Максимальные наблюдения год. На рентгене все ровно. Цоэ тоже неплох, но я композиты ставлю, а они с эвгенолом не очень дружат, хотя стоят)) Ссылка на комментарий
Kota Опубликовано 12 апреля, 2016 Поделиться Опубликовано 12 апреля, 2016 Максимальные наблюдения год. На рентгене все ровно. Цоэ тоже неплох, но я композиты ставлю, а они с эвгенолом не очень дружат, хотя стоят))я композиты ставлю всегда на депульпиров. зубы. на цинк эвгенол прокладку и сразу композит. все стоит отлично. наблюдений более чем достаточно. я привыкла лечить пульпиты в одно посещение, а с мта нужно в 2. вот и не хочется переходить. 1 Ссылка на комментарий
Джима Опубликовано 12 апреля, 2016 Поделиться Опубликовано 12 апреля, 2016 Как говорит великий Даггал если задет краевой гребень, то это пульпит.Даггал классный дядька, только вот этих "пульпитов", до сих пор живых, бегает уже куча, и не жалуются. Осечки были, но только там, где я сама виновата. Первый такой уже пять лет бегает, 7.4 дистально, собственный ребёнок. Было 3 года, сейчас 8. Думаю, как до смены достоит, пожалуй, фотку выложу. Ещё без коффера, с полупросроченным геркулайтом на оптибонде соло+ Ссылка на комментарий
crown Опубликовано 13 апреля, 2016 Автор Поделиться Опубликовано 13 апреля, 2016 Даггал классный дядька, только вот этих "пульпитов", до сих пор живых, бегает уже куча, и не жалуются. Осечки были, но только там, где я сама виновата. Первый такой уже пять лет бегает, 7.4 дистально, собственный ребёнок. Было 3 года, сейчас 8. Думаю, как до смены достоит, пожалуй, фотку выложу. Ещё без коффера, с полупросроченным геркулайтом на оптибонде соло+он просто мамку не хотел расстраивать))) Своих я тоже щадяще и под наблюдение, а так в основном радикально все. Ссылка на комментарий
Рекомендуемые сообщения
Для публикации сообщений создайте учётную запись или авторизуйтесь
Вы должны быть пользователем, чтобы оставить комментарий
Создать аккаунт
Зарегистрируйте новый аккаунт в нашем сообществе. Это очень просто!
Регистрация нового пользователяВойти
Уже есть аккаунт? Войти в систему.
Войти