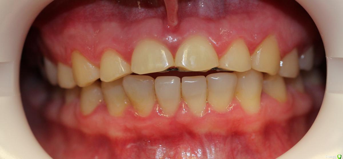
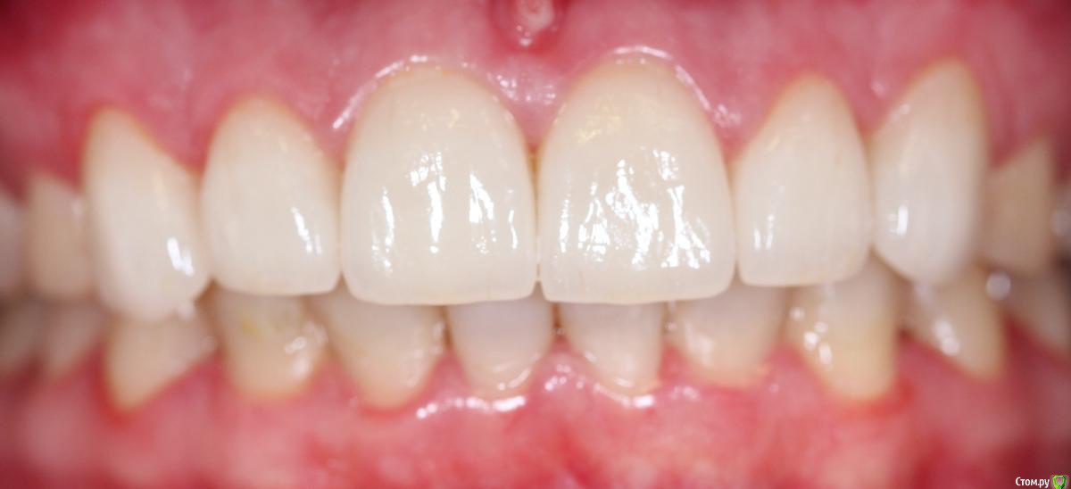
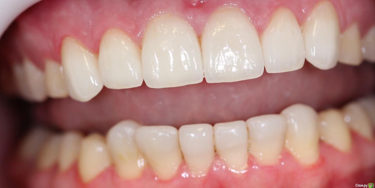
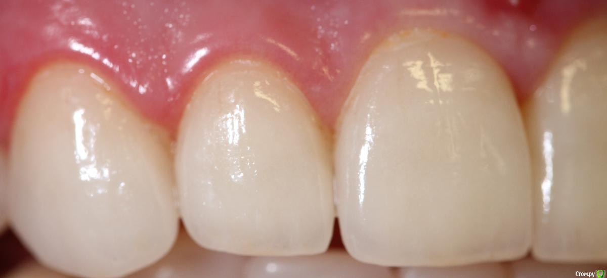
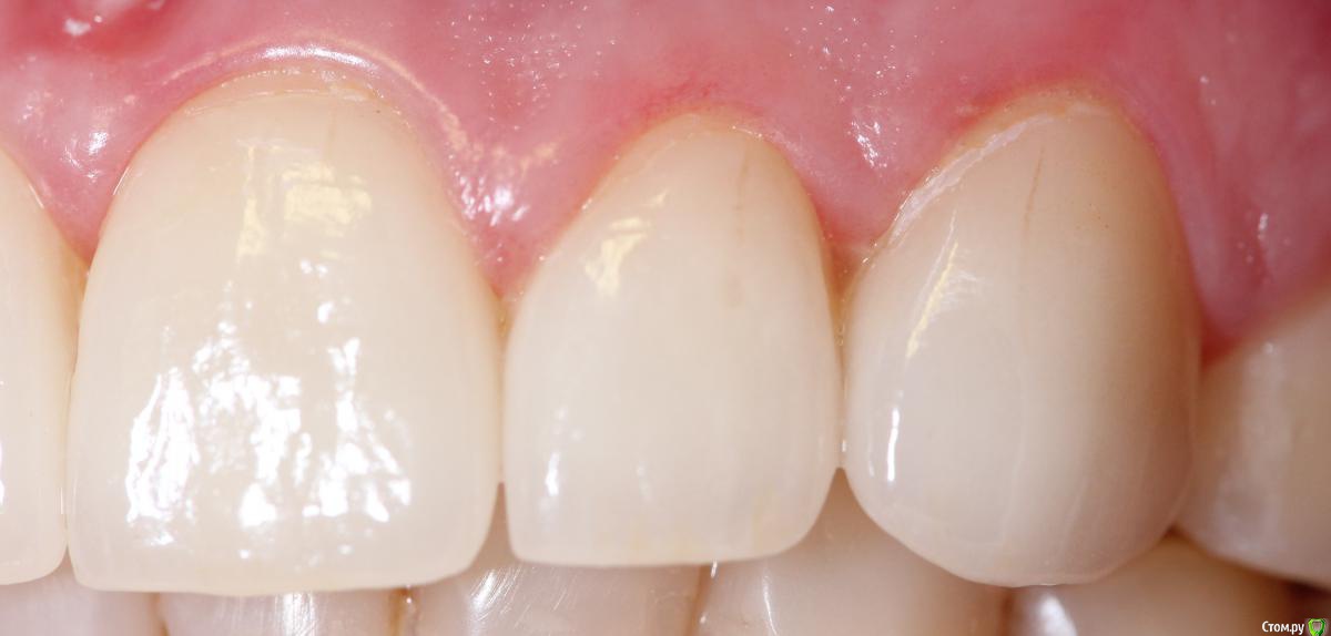
alekszander Опубликовано 5 апреля, 2016 Поделиться Опубликовано 5 апреля, 2016 Решил выложить фото работы своей, а то все тут смотрю да советую периодически.История:Пациентка прошла ортодонтию(очень проблемно было,т.к. то приезжала то уезжала)От тотала отказалась по финансовым соображениям, поэтому выровняли контакты и закрыли 6-ю винирами. Фото до брекет-системы не могу найти, запрошу у ортодонта тоже залью.PS четкость не очень тока купил фотоаппарат еще разбираюсь с ним. Цемент с 2.3 убрал 7 Ссылка на комментарий
Freelancer1981 Опубликовано 5 апреля, 2016 Поделиться Опубликовано 5 апреля, 2016 Как по мне-неплохо,кажется единтсвенно что 13 длинноват,место для коронок ортодонтически создавали или у нее открытый прикус был изначально?фото препа есть? Ссылка на комментарий
Ferdaus Опубликовано 5 апреля, 2016 Поделиться Опубликовано 5 апреля, 2016 (изменено) с десной работали перед препом под виниры? интересный момент не показали. преп, оттиски, модели( Изменено 5 апреля, 2016 пользователем Ferdaus Ссылка на комментарий
AndyAndy Опубликовано 5 апреля, 2016 Поделиться Опубликовано 5 апреля, 2016 Очень и очень неплохо. 21 чуть длиннее, вам не кажется? И медиальные углы центральных и латеральных резцов не хотелось слегка закруглить? Ссылка на комментарий
art700 Опубликовано 5 апреля, 2016 Поделиться Опубликовано 5 апреля, 2016 А мне понравилось. Преп бы и оттиски Ссылка на комментарий
Карен Аванесов Опубликовано 5 апреля, 2016 Поделиться Опубликовано 5 апреля, 2016 Фото до ремонта нижних есть? Ссылка на комментарий
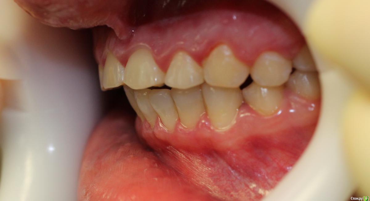
alekszander Опубликовано 5 апреля, 2016 Автор Поделиться Опубликовано 5 апреля, 2016 (изменено) Как по мне-неплохо,кажется единтсвенно что 13 длинноват,место для коронок ортодонтически создавали или у нее открытый прикус был изначально?фото препа есть?Простите фото препа и оттисков нет, но в принципе стандартно как по препу, так и по оттискам, след. работу обязательно отфотаю.1.3 сделали длиннее - при улыбке он гармонично смотрится(здесь нет фото с лицом)По прикусу - нет был в прямом, пат стираемость компенсированная(с 10 лет пирсинг языка, да и свои зубы сло слов пациентки не очень длинные были) Изменено 5 апреля, 2016 пользователем alekszander Ссылка на комментарий
alekszander Опубликовано 5 апреля, 2016 Автор Поделиться Опубликовано 5 апреля, 2016 Очень и очень неплохо. 21 чуть длиннее, вам не кажется? И медиальные углы центральных и латеральных резцов не хотелось слегка закруглить?Острые углы придают больше секса!)))Форма по воску.21 длиннее и заметил уже после фиксации(пациентка не заметила) ей все очень нравится, а я загнобил свой перфокционизм) 1 Ссылка на комментарий
alekszander Опубликовано 5 апреля, 2016 Автор Поделиться Опубликовано 5 апреля, 2016 Фото до ремонта нижних есть?Карен, что имеете ввиду,т.к. не совсем понял. Ссылка на комментарий
Карен Аванесов Опубликовано 5 апреля, 2016 Поделиться Опубликовано 5 апреля, 2016 (изменено) нижние вижу восстановлены композитом, вот и хотелось бы общую картину увидеть. Изменено 5 апреля, 2016 пользователем Карен Аванесов Ссылка на комментарий
alekszander Опубликовано 5 апреля, 2016 Автор Поделиться Опубликовано 5 апреля, 2016 нижние вижу восстановлены композитом, вот и хотелось бы общую картину увидеть.понял, заберу фото у ортодонта покажу. Лечил не я, терапевты. Ссылка на комментарий
anvladd Опубликовано 5 апреля, 2016 Поделиться Опубликовано 5 апреля, 2016 (изменено) alekszander,почему не коронки? или виниры 360) Изменено 5 апреля, 2016 пользователем anvladd 1 Ссылка на комментарий
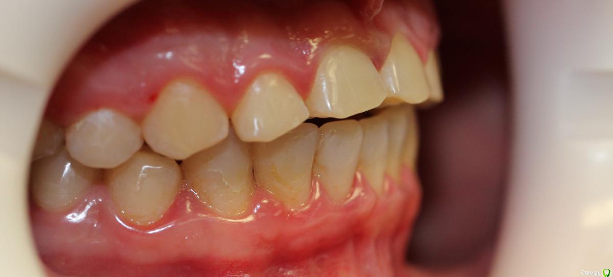
chervoncevdaniil Опубликовано 5 апреля, 2016 Поделиться Опубликовано 5 апреля, 2016 ВЫ в привычной окклюзии остались как я понял? Ссылка на комментарий
alekszander Опубликовано 5 апреля, 2016 Автор Поделиться Опубликовано 5 апреля, 2016 alekszander?почему не коронки? или виниры 360)жалко ткани под коронки. Виниры 360 звучит гордо, но техника сделающего за сей ценник коронку в 0.3 у меня нет. Да и смысл себе мозги дрюкать(ссори за сленг) Ссылка на комментарий
alekszander Опубликовано 5 апреля, 2016 Автор Поделиться Опубликовано 5 апреля, 2016 ВЫ в привычной окклюзии остались как я понял?да, следующий этап будет низ+доп. окклюзия на вкладках на 6-х Ссылка на комментарий
molchanoff Опубликовано 7 апреля, 2016 Поделиться Опубликовано 7 апреля, 2016 жесткая стираемостьа вы не боитесь что она поколет ваши конструкции со своим гипертонусом 1 Ссылка на комментарий
windrayder Опубликовано 7 июня, 2016 Поделиться Опубликовано 7 июня, 2016 жесткая стираемостьа вы не боитесь что она поколет ваши конструкции со своим гипертонусомА почему она сколоть должна, даже при гиперфункции..?? Направляющие выстроены техником.. клыковые и резцовые пути есть.. За 13 зуб волноваться стоит если только, т.к. режущий край центральных резцов и клыков должен быть на одном уровне, у нас здесь и первый класс по Энглю.. 1 Ссылка на комментарий
molchanoff Опубликовано 10 июня, 2016 Поделиться Опубликовано 10 июня, 2016 направляющих и путей на фото неткласс "до" тоже неодназначенда и клинчеру по фигу че вы там сделали, выломает и не моргнет Ссылка на комментарий
alekszander Опубликовано 27 июня, 2016 Автор Поделиться Опубликовано 27 июня, 2016 жесткая стираемостьа вы не боитесь что она поколет ваши конструкции со своим гипертонусомне, не боюсь)) Выколотит, будем тотал на вкладках+низ виниры делать. Сразу с пациенткой обговаривалось. Ссылка на комментарий
Рекомендуемые сообщения
Для публикации сообщений создайте учётную запись или авторизуйтесь
Вы должны быть пользователем, чтобы оставить комментарий
Создать аккаунт
Зарегистрируйте новый аккаунт в нашем сообществе. Это очень просто!
Регистрация нового пользователяВойти
Уже есть аккаунт? Войти в систему.
Войти