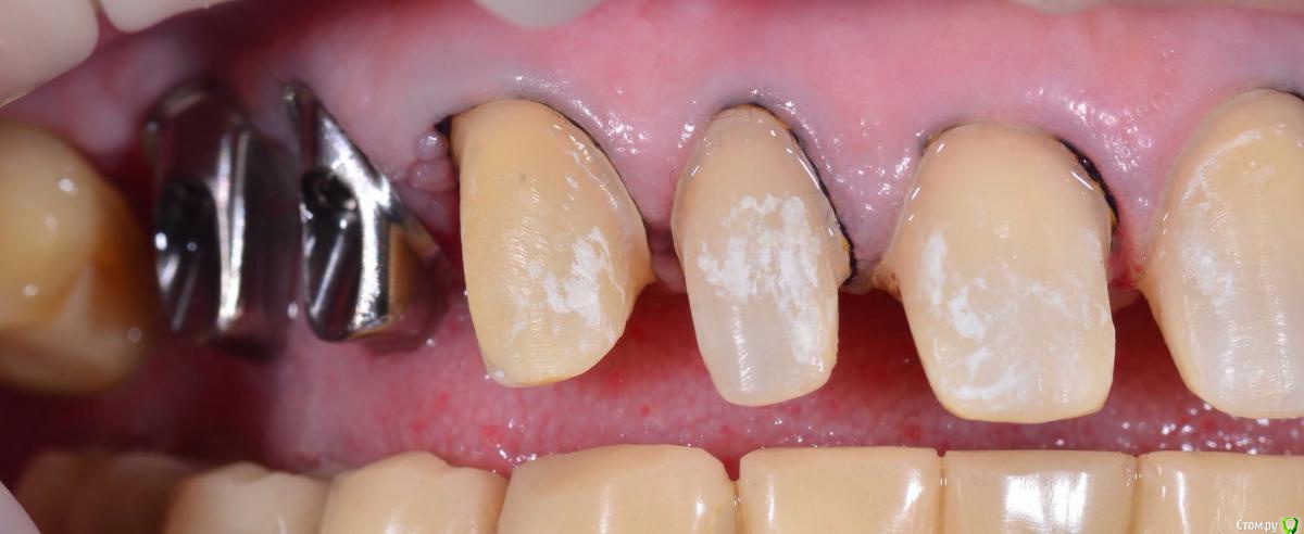
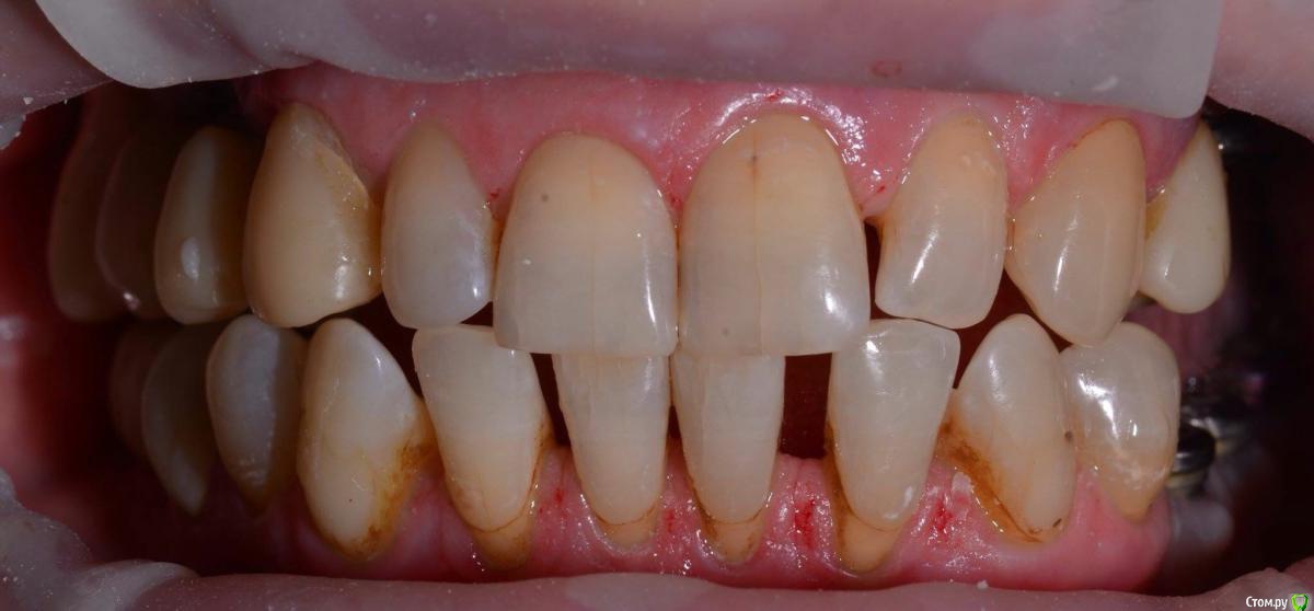
togrul Опубликовано 4 апреля, 2016 Поделиться Опубликовано 4 апреля, 2016 Добрый вечер коллеги. Восстановили зубы безметалловыми коронками Емах зубы и Циркон наслоением на имплантатах. 9 Ссылка на комментарий
Alberto Опубликовано 4 апреля, 2016 Поделиться Опубликовано 4 апреля, 2016 Интересно получилось , покажите пожалуйста нижние после фиксации. 2 Ссылка на комментарий
anvladd Опубликовано 4 апреля, 2016 Поделиться Опубликовано 4 апреля, 2016 Самое интересное скрыто губами 3 Ссылка на комментарий
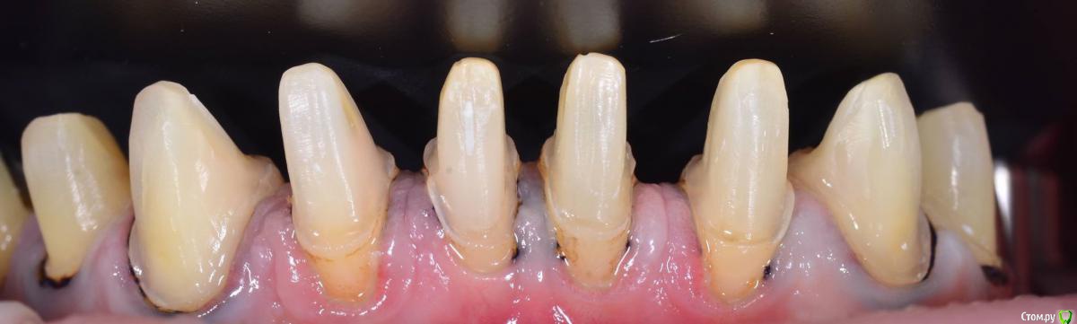
art700 Опубликовано 4 апреля, 2016 Поделиться Опубликовано 4 апреля, 2016 Нижние сосочки бы увидеть да и верхние. Ссылка на комментарий
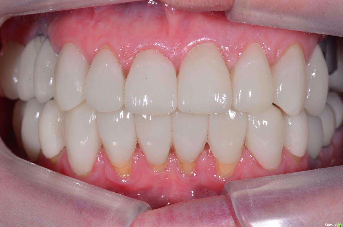
togrul Опубликовано 5 апреля, 2016 Автор Поделиться Опубликовано 5 апреля, 2016 Все фотографии в день фиксации. 3 Ссылка на комментарий
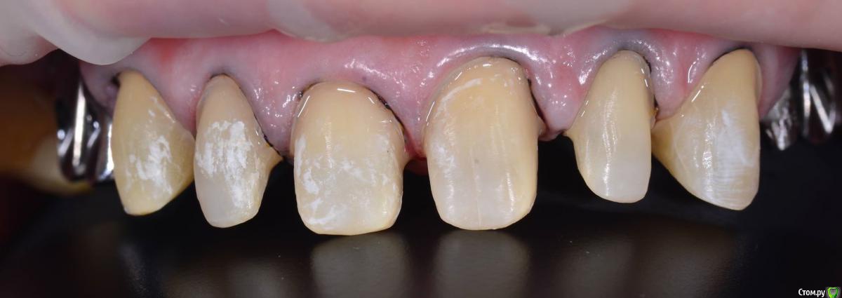
chervoncevdaniil Опубликовано 5 апреля, 2016 Поделиться Опубликовано 5 апреля, 2016 Обсуждали с пациентом что цвет шеек будет отличаться от блич коронок?Не был против? Ссылка на комментарий
togrul Опубликовано 5 апреля, 2016 Автор Поделиться Опубликовано 5 апреля, 2016 Конечно . Оставил для хорошей гигиены. Так как от хирургии отказалась. Ссылка на комментарий
Art 7 Опубликовано 5 апреля, 2016 Поделиться Опубликовано 5 апреля, 2016 Тогрул привет, так не оставляй, надо такие вещи либо закрывать десной либо керамикой. Керамика гигиеничнее чем оголеный корень 1 Ссылка на комментарий
AndyAndy Опубликовано 5 апреля, 2016 Поделиться Опубликовано 5 апреля, 2016 Такое ощущение, судя по фото, что абатменты полированные. Техник не проводит пескоструйную обработку супрагингивальной части абатмента? Ссылка на комментарий
ValM Опубликовано 5 апреля, 2016 Поделиться Опубликовано 5 апреля, 2016 Скажите,какие зубы были оставлены витальными? Ссылка на комментарий
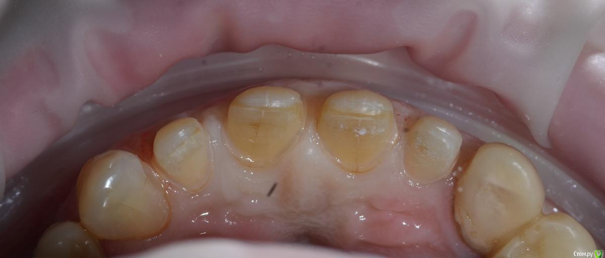
Карен Аванесов Опубликовано 5 апреля, 2016 Поделиться Опубликовано 5 апреля, 2016 есть ли фото с язычной стороны? Ссылка на комментарий
Карен Аванесов Опубликовано 5 апреля, 2016 Поделиться Опубликовано 5 апреля, 2016 Пескоструйка ухудшит гигиену. Ссылка на комментарий
togrul Опубликовано 5 апреля, 2016 Автор Поделиться Опубликовано 5 апреля, 2016 Тогрул привет, так не оставляй, надо такие вещи либо закрывать десной либо керамикой. Керамика гигиеничнее чем оголеный кореньПривет Артур. Посоветовавшис с пародонтологом решили оставить на границе ЭЦГ. И с точки зрения адгезивный фикцисации цемент зуба как я понимаю тяжело адгезивно подготовить. Спасибо . Ссылка на комментарий
togrul Опубликовано 5 апреля, 2016 Автор Поделиться Опубликовано 5 апреля, 2016 Такое ощущение, судя по фото, что абатменты полированные. Техник не проводит пескоструйную обработку супрагингивальной части абатмента?Да абатменты такие пришли с фрезерного центра. Проблем небыло с фиксацией. Ссылка на комментарий
togrul Опубликовано 5 апреля, 2016 Автор Поделиться Опубликовано 5 апреля, 2016 Скажите,какие зубы были оставлены витальными?Все зубы остались витальными . 1 Ссылка на комментарий
togrul Опубликовано 5 апреля, 2016 Автор Поделиться Опубликовано 5 апреля, 2016 есть ли фото с язычной стороны? Есть фото только вч Ссылка на комментарий
AndyAndy Опубликовано 5 апреля, 2016 Поделиться Опубликовано 5 апреля, 2016 Да абатменты такие пришли с фрезерного центра. Проблем небыло с фиксацией.Проблемы могут появиться, если фиксировать на цемент типа Cem-implant, improve - банальная расцементировка. В моей практике 2 раза так бывало, пропустили пескоструйную обработку Ссылка на комментарий
AndyAndy Опубликовано 5 апреля, 2016 Поделиться Опубликовано 5 апреля, 2016 Пескоструйка ухудшит гигиену.Карен, подскажите, как та часть абатмента, что покрыта коронкой может повлиять на гигиену? По-моему, там хоть кол на голове чеши - ничего не изменится в плане гигиены, если коронка обеспечивает отсутствие ретенционных зон для налета на стыке с абатментом Спасибо Ссылка на комментарий
Карен Аванесов Опубликовано 5 апреля, 2016 Поделиться Опубликовано 5 апреля, 2016 Все верно, ошибка. Ссылка на комментарий
togrul Опубликовано 5 апреля, 2016 Автор Поделиться Опубликовано 5 апреля, 2016 Проблемы могут появиться, если фиксировать на цемент типа Cem-implant, improve - банальная расцементировка. В моей практике 2 раза так бывало, пропустили пескоструйную обработкуникаких проблем на фиксацию с Цем не замечал. Сдаю каждый месяц коронки на индивидуальных абатментами. Ссылка на комментарий
alekszander Опубликовано 5 апреля, 2016 Поделиться Опубликовано 5 апреля, 2016 Техническая часть хорошая - ваша не очень.Не в обиду:1. Зачем коронки керамику на металлические супраструктуры? Не проще на стандартный абатмент напрессовать керамику? Или куда лучше циркон даже цельный.2. зуб 2.4(вроде) внедрение в биоширину,там есть показания для удлинения.(про разность зенитов,как в случае 1.1,2.1 - как и в большинстве это фетиш врачей) 3. На НЧ нужна мягкотканная+пародонтолог. лечение, с таким пародонтом кариес в рецидиве будет год два(надеюсь ошибаюсь)4. слишком рваные края препа(свой выложу в одной из тем), фотки хорошие, а работаете в оптике?5. Совет(опять же не в обиду) - не теряйте время на фто, когда стоят нити! Там счет на минуты.Я не в плане придраться, а просто акцентировал внимание на то, что мы не видим, когда работаем сами. Ссылка на комментарий
togrul Опубликовано 5 апреля, 2016 Автор Поделиться Опубликовано 5 апреля, 2016 1 Что плохого в титановых абатментами? Почему я должен использовать стандартные абатменты? В полную анатомию циркон не делаю . Вы уверены в 100% правильности восстановления окклюзии? Я нет . 2 . С биошириной все хорошо удлинять ничего не нужно на следующей неделе покажу. 3 Пациент отказался от пластики никакого кариеса там не будет. С чего там развиваться кариесу? Вы не проводите такое восстановление если пациент отказывается от пластики?4 я только на нижнем премоляре вижу рваный край уступа. Работаю в оптике.5 фото делается 2 минуты и никаких проблем в этом не вижу . Так как не использую гемостатик Спасибо . Ссылка на комментарий
togrul Опубликовано 5 апреля, 2016 Автор Поделиться Опубликовано 5 апреля, 2016 Для анализа и делаются фотографии ,все нормально . Ссылка на комментарий
alekszander Опубликовано 5 апреля, 2016 Поделиться Опубликовано 5 апреля, 2016 1 Что плохого в титановых абатментами? Почему я должен использовать стандартные абатменты? В полную анатомию циркон не делаю . Вы уверены в 100% правильности восстановления окклюзии? Я нет .2 . С биошириной все хорошо удлинять ничего не нужно на следующей неделе покажу.3 Пациент отказался от пластики никакого кариеса там не будет. С чего там развиваться кариесу? Вы не проводите такое восстановление если пациент отказывается от пластики?4 я только на нижнем премоляре вижу рваный край уступа. Работаю в оптике.5 фото делается 2 минуты и никаких проблем в этом не вижу . Так как не использую гемостатикСпасибо .1. ничего плохого, если все устраивает по эстетике под безметалл.про окклюзию уже не понял2.понял, тут сужу по фото.3.кариеса не будет там, где есть гигиена, по фото ее нет. Я такие работы беру под коронки.Но тут вы знаете пациента, а я лишь предполагаю.4.Я сужу по фото,смотрел бы в оптике,мож и подругому было бы. Но по фото нет четких границ. 5. 2 минуты... а теперь суммируйте время от первой нити к последней+2 минуты(у меня 3-10 занимает). И вспомните количество времени нахождения ретракционной нити в зубодесневой борозде? Да и в чем смысл фотать с ней? а гемостатик особой роли не сыграет. Ссылка на комментарий
togrul Опубликовано 5 апреля, 2016 Автор Поделиться Опубликовано 5 апреля, 2016 По поводу уступов все было видно и для техника и для меня. Форма уступа и толщина обусловлена толщиной коронки. Зачем мне делать широкие уступы. Иногда даже делиют просто символ уступа при восстановлении полешпвтом.гииена ухудшается при нависании керамики. В данном случаи все ок Это же не противоречит нормам. Плюс у меня ситуацию на нч обусловлено сужением зуба в апикальной части. Я отфоткаю модели рабочии . Отливаю всегда для анализа. По поводу гигиены обучена чистит + контроль гигиенистом. Естественно за пациентом я чистить не буду. Но все обговорено. Ссылка на комментарий
Рекомендуемые сообщения
Для публикации сообщений создайте учётную запись или авторизуйтесь
Вы должны быть пользователем, чтобы оставить комментарий
Создать аккаунт
Зарегистрируйте новый аккаунт в нашем сообществе. Это очень просто!
Регистрация нового пользователяВойти
Уже есть аккаунт? Войти в систему.
Войти