Перейти к содержанию
Стоматология для всех

помогите, пожалуйста, с лечением


Алевтина Петровна

Рекомендуемые сообщения

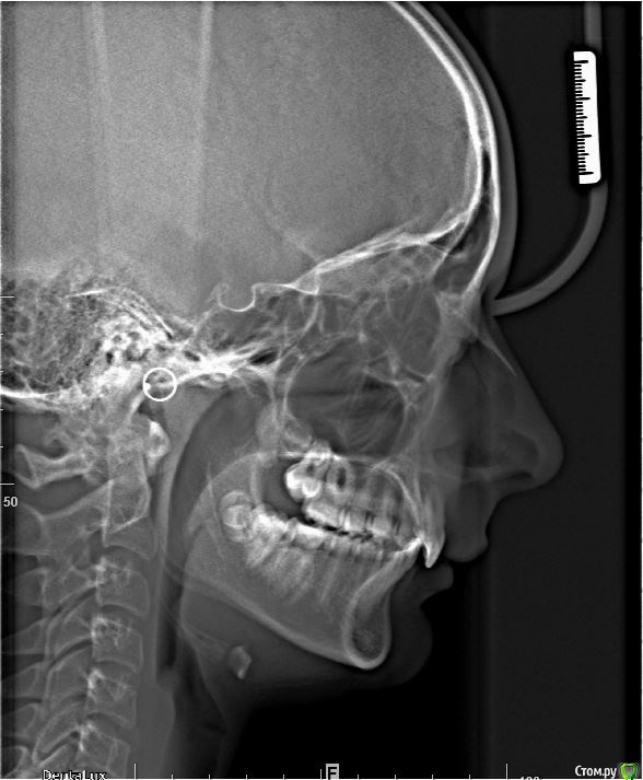
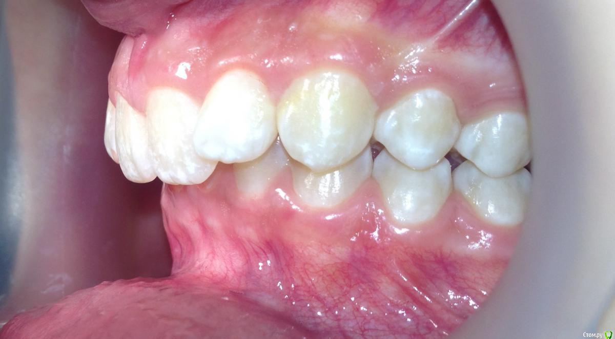
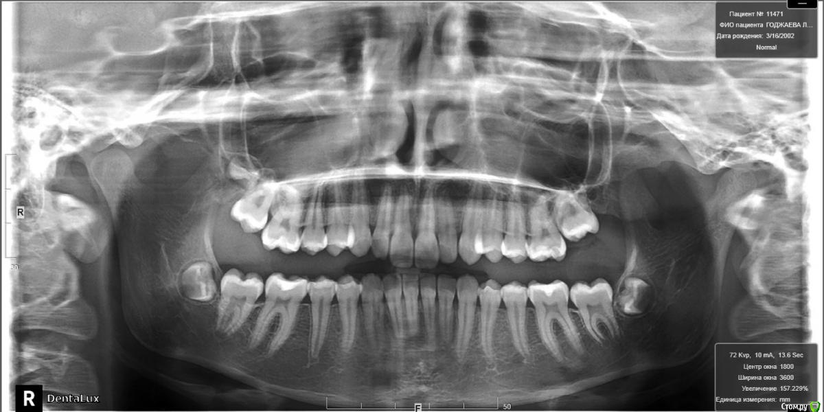
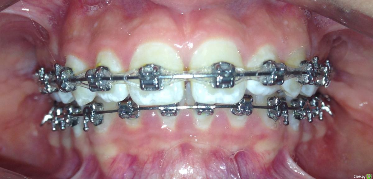
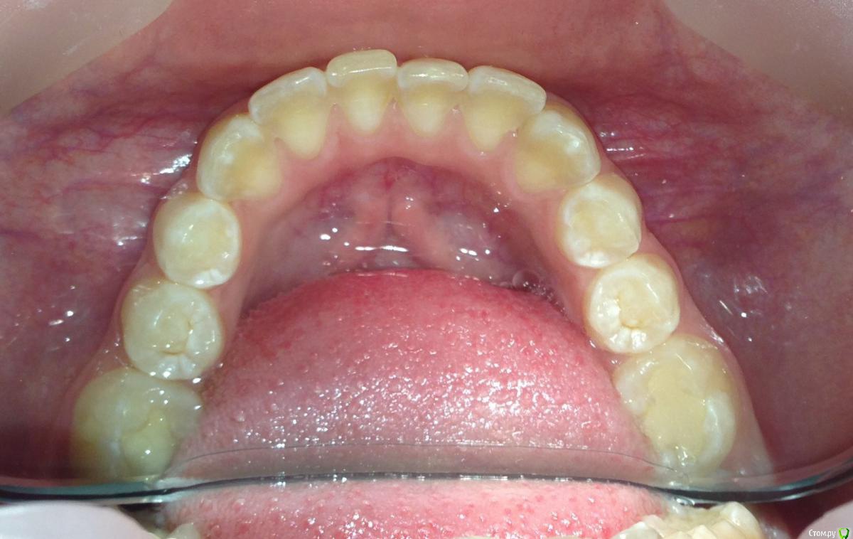
post-38874-0-87186300-1459536185_thumb.jpgpost-38874-0-15339500-1459536188_thumb.jpgpost-38874-0-82577500-1459536190_thumb.jpgpost-38874-0-61079300-1459536193_thumb.jpgpost-38874-0-22178300-1459536196_thumb.jpgpost-38874-0-56404400-1459536198_thumb.jpgpost-38874-0-43380300-1459536199_thumb.jpgpost-38874-0-04081600-1459536228_thumb.jpgpost-38874-0-34503200-1459536230_thumb.jpgpost-38874-0-34236500-1459536233_thumb.jpgpost-38874-0-95387400-1459536234_thumb.jpgpost-38874-0-86290600-1459536242_thumb.jpgpost-38874-0-47956700-1459536252_thumb.jpgpost-38874-0-98507600-1459536273_thumb.jpgpost-38874-0-52220700-1459536283_thumb.jpgpost-38874-0-12327700-1459536263_thumb.jpg

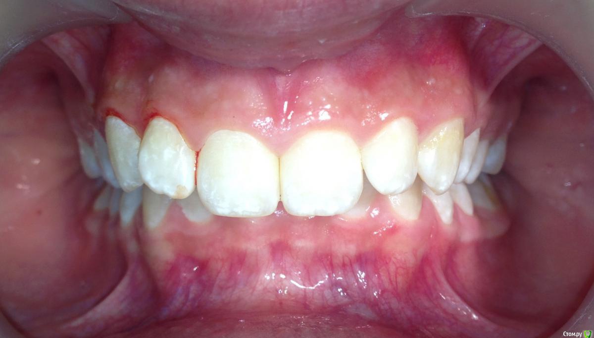
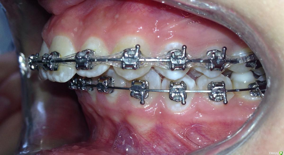
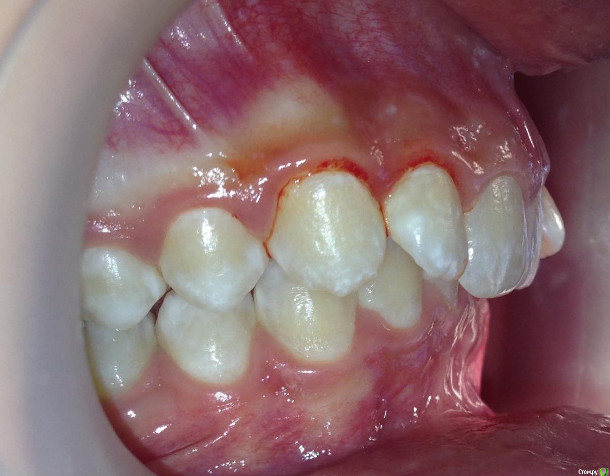
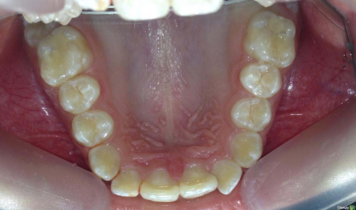
Извините за качество фото.

Пациентка 14 лет. Было принято решение лечить без удаления, тк. профиль не позволяет да и ретропозиция нч. Лечение идет. Я назначила ранние эластики слабые, на 17/25 нити на вч и 18 нити на нч. по 2 классу короткие 3,4-4,5. Пациентка пришла через месяц жалуется на щелканье челюсти во время ношения эластиков и сразу после их снятия. Т.е. если открывает рот, то челюсть скачкообразно двигается и щелчками. Последние 2 недели, когда много говорит, то вообще стала заедать. Это она так сказала. После отмены эластиков (страшно), через неделю пришла, рот открывает ровно, без девиации, щелчков нет. Вопрос: почему щелкает и что с этим делать? По поводу прикуса, посоветуйте, пожалуйста, как нормализовать? Аппарат типа гербста? может ей твинблок сделать? Эластики? К сожалению другими методами я пока что не владею. Спасибо, очень жду ваших советов.

Ссылка на комментарий

Мне кажется, Вы сами ответили на свой вопрос. Поставьте несъемный аппарат (типа твин форс или форсус...). Они легки в креплении и использовании. Даже при таких аппаратах бывает рецедив, не то что от эластиков (поэтому их не использую при дистальном).

  • Поддерживаю 1
Ссылка на комментарий

Мне кажется, Вы сами ответили на свой вопрос. Поставьте несъемный аппарат (типа твин форс или форсус...). Они легки в креплении и использовании. Даже при таких аппаратах бывает рецедив, не то что от эластиков (поэтому их не использую при дистальном).

Яна, спасибо за ответ. А по поводу хруста и щелчков можете что-нибудь сказать? Почему так происходит? не будет ли такого от аппарата?

Ссылка на комментарий

Конечно, через интеонет трудно ответить, ведь щелчки бывают разные (в начале фазы открывания, в конце, в начале фазы закрывания, в конце закрывания? То есть если у нее смещена головка кзади ппи щакрытом рте, то при открывании у нее сразу должен быть щелчок (головка догнала диск), пожевала .., потом во время закрытия в самом конце опять щелчок (головка съехала с диска и стала в свое привычное положение). Это обычная картина при втором классе. Несьемные аппараты не будут давать уходить челюсти назад, щелчков быть не должно. После снятия аппарата зафиксируете новое положение челюсти бугорками антагонистов

  • Поддерживаю 1
Ссылка на комментарий

Конечно, через интеонет трудно ответить, ведь щелчки бывают разные (в начале фазы открывания, в конце, в начале фазы закрывания, в конце закрывания? То есть если у нее смещена головка кзади ппи щакрытом рте, то при открывании у нее сразу должен быть щелчок (головка догнала диск), пожевала .., потом во время закрытия в самом конце опять щелчок (головка съехала с диска и стала в свое привычное положение). Это обычная картина при втором классе. Несьемные аппараты не будут давать уходить челюсти назад, щелчков быть не должно. После снятия аппарата зафиксируете новое положение челюсти бугорками антагонистов

Иными словами МРТ ВНЧС (чтобы не гадать), достаточно интересные заключения приходят уже лет в 15-16.

Ссылка на комментарий

Для публикации сообщений создайте учётную запись или авторизуйтесь

Вы должны быть пользователем, чтобы оставить комментарий

Создать аккаунт

Зарегистрируйте новый аккаунт в нашем сообществе. Это очень просто!

Регистрация нового пользователя

Войти

Уже есть аккаунт? Войти в систему.

Войти
×
×
  • Создать...
Вверх