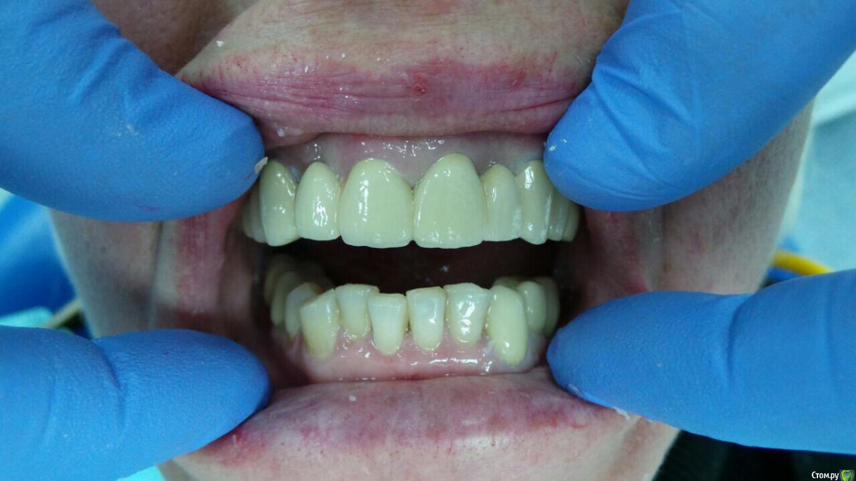
Петр Бриньковский Опубликовано 1 апреля, 2016 Поделиться Опубликовано 1 апреля, 2016 (изменено) Когда временные бисакриловые реставрации выглядят лучше керамических)) Главное, чтобы техник потом сделал все не хуже)) Изменено 1 апреля, 2016 пользователем Петр Бриньковский 1 Ссылка на комментарий
anvladd Опубликовано 1 апреля, 2016 Поделиться Опубликовано 1 апреля, 2016 да бывает ставишь постоянную коронку и понимаешь что лучше бы оставил времяшку. 1 Ссылка на комментарий
Bratok Опубликовано 1 апреля, 2016 Поделиться Опубликовано 1 апреля, 2016 Тогда логичный вопрос - зачем делать времянки очень красивыми? 3 1 Ссылка на комментарий
Aquarius Опубликовано 1 апреля, 2016 Поделиться Опубликовано 1 апреля, 2016 Еще ортопеды старой закалки говорят, не надо делать хорошие красивые времянки, типа, потом постоянные покажутся пределом совершенства)) А по сути, просто этим мало кто заморачивается. У нас одна ортопед вобще без них работает. Вопрос ТСу это прямые временные? Ссылка на комментарий
anvladd Опубликовано 1 апреля, 2016 Поделиться Опубликовано 1 апреля, 2016 Тогда логичный вопрос - зачем делать времянки очень красивыми? Оно правильно-незачем,но приносят красивые зачем то,не переделывать же. Хотя можно зашершавить,запилить некрасиво,но это время. 1 Ссылка на комментарий
chervoncevdaniil Опубликовано 1 апреля, 2016 Поделиться Опубликовано 1 апреля, 2016 (изменено) Оно правильно-незачем,но приносят красивые зачем то,не переделывать же. Хотя можно зашершавить,запилить некрасиво,но это время.вы их всегда лабараторно заказываете? Изменено 1 апреля, 2016 пользователем chervoncevdaniil Ссылка на комментарий
Карен Аванесов Опубликовано 1 апреля, 2016 Поделиться Опубликовано 1 апреля, 2016 Главное что б мягкие ткани не сдавливали, вот тоже времянки, очень даже эффективные, после хирургии разумеется. 1 Ссылка на комментарий
Петр Бриньковский Опубликовано 1 апреля, 2016 Автор Поделиться Опубликовано 1 апреля, 2016 Еще ортопеды старой закалки говорят, не надо делать хорошие красивые времянки, типа, потом постоянные покажутся пределом совершенства)) А по сути, просто этим мало кто заморачивается. У нас одна ортопед вобще без них работает. Вопрос ТСу это прямые временные?Да, прямые ,сам отмоделировал и сам отжал 1 Ссылка на комментарий
Петр Бриньковский Опубликовано 1 апреля, 2016 Автор Поделиться Опубликовано 1 апреля, 2016 Главное что б мягкие ткани не сдавливали, вот тоже времянки, очень даже эффективные, после хирургии разумеется.Как вариант))) Ссылка на комментарий
Aquarius Опубликовано 1 апреля, 2016 Поделиться Опубликовано 1 апреля, 2016 Да, прямые ,сам отмоделировал и сам отжалНу тогда прям вообще умница. Сколько терпения нужно, что акрил так полирнуть. Это же и резинки, щетки и т д. Ссылка на комментарий
Петр Бриньковский Опубликовано 1 апреля, 2016 Автор Поделиться Опубликовано 1 апреля, 2016 Ну тогда прям вообще умница. Сколько терпения нужно, что акрил так полирнуть. Это же и резинки, щетки и т д.СПасибо большое! Качественная полировка времянок снижает воспалительные процессы, да и потом в глазах пациента потом чувствуется благодарность) Кстати у DMG есть покрывной лак для времянок-дает окончательный вид полировки Ссылка на комментарий
Aquarius Опубликовано 1 апреля, 2016 Поделиться Опубликовано 1 апреля, 2016 Пётр, а двойки это просто овоиды или есть импланты? Ссылка на комментарий
anvladd Опубликовано 1 апреля, 2016 Поделиться Опубликовано 1 апреля, 2016 вы их всегда лабараторно заказываете?всегда,сидеть мне за 50 рублей и делать самому,нет уж извольте. Ссылка на комментарий
Ronin Опубликовано 1 апреля, 2016 Поделиться Опубликовано 1 апреля, 2016 Ну тогда прям вообще умница. Сколько терпения нужно, что акрил так полирнуть. Это же и резинки, щетки и т д.Не так уж и много времени, все в пределах пяти минут на самом деле, главное щетки, чтоб были хорошие, на прямой наконечник, и дело в две минуты, правда-правда)) аж до блеска! или лак от дмг тоже вариант, еще быстрее, сам его люблю)) Ссылка на комментарий
Петр Бриньковский Опубликовано 2 апреля, 2016 Автор Поделиться Опубликовано 2 апреля, 2016 Пётр, а двойки это просто овоиды или есть импланты?Двоек нет ,без имплантов-бюджетная конструкция Ссылка на комментарий
Рекомендуемые сообщения
Для публикации сообщений создайте учётную запись или авторизуйтесь
Вы должны быть пользователем, чтобы оставить комментарий
Создать аккаунт
Зарегистрируйте новый аккаунт в нашем сообществе. Это очень просто!
Регистрация нового пользователяВойти
Уже есть аккаунт? Войти в систему.
Войти