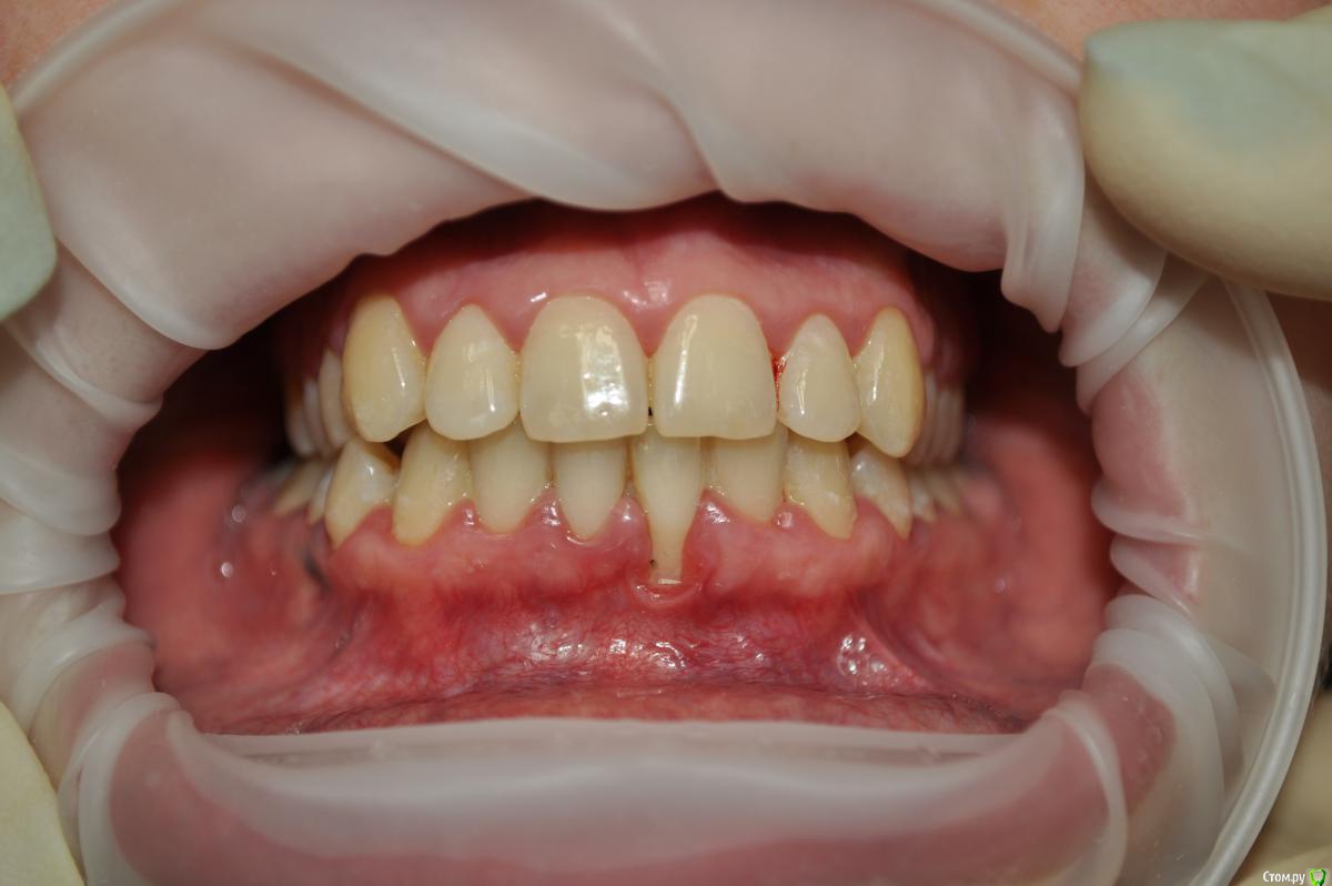
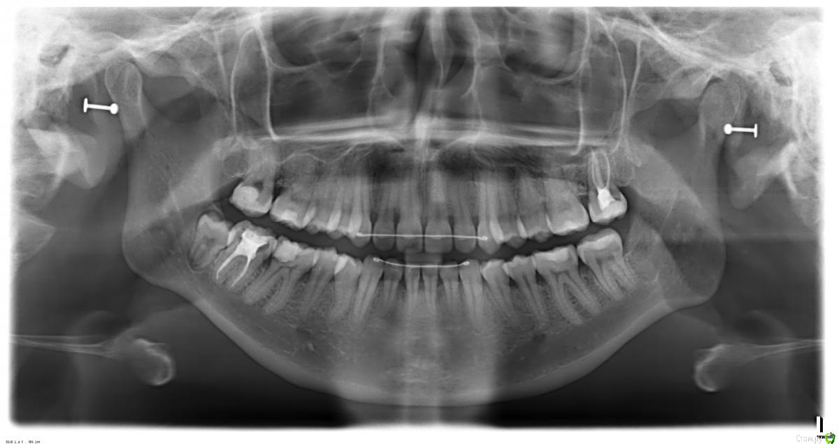
IshIm0 Опубликовано 1 апреля, 2016 Поделиться Опубликовано 1 апреля, 2016 Добрый день коллеги. Девочке 24 года, 1.5 года после ортодонтического лечения, пол года назад заметила рецессию. Как я думаю: 1 этап - вестибулопластика. 2 этап - через пол года забор сст с неба и устранение рецессии. Восьмерку кстати тоже удалять нужно. Поделитесь своим ви'дением этой ситуации, советами, "подводными камнями" ) Все ли верно по срокам? Ссылка на комментарий
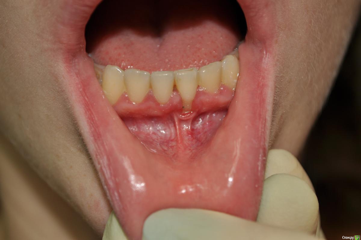
L.E.S.I.K. Опубликовано 1 апреля, 2016 Поделиться Опубликовано 1 апреля, 2016 Не вижу необходимиости в вестубулопластике 5 Ссылка на комментарий
CrazySonic Опубликовано 1 апреля, 2016 Поделиться Опубликовано 1 апреля, 2016 ну если не вестибулопластика то пластика уздечки точно нужнапо срокам док верно мыслит Ссылка на комментарий
Artem_MD Опубликовано 1 апреля, 2016 Поделиться Опубликовано 1 апреля, 2016 проф гигиена, кюретаж, через 2-3 недели если воспаление уйдет полностью сст в конвертеникаких пластик уздечек и преддверия не делайте, только рубцов лишних оставите. Ссылка на комментарий
Доктор Добрых Дел Опубликовано 1 апреля, 2016 Поделиться Опубликовано 1 апреля, 2016 Уздечка там вообще не при делах. Закрыть штанами и все дела. 2 Ссылка на комментарий
Acidrocker Опубликовано 2 апреля, 2016 Поделиться Опубликовано 2 апреля, 2016 прикрепленки рядом много, порекомендовал бы латерально-смещенный лоскут. 6 Ссылка на комментарий
IshIm0 Опубликовано 2 апреля, 2016 Автор Поделиться Опубликовано 2 апреля, 2016 В чем причина данной рецессии? Ссылка на комментарий
Доктор Добрых Дел Опубликовано 2 апреля, 2016 Поделиться Опубликовано 2 апреля, 2016 В чем причина данной рецессии? отсутствие вестибулярной кости. Ссылка на комментарий
zzkz Опубликовано 6 апреля, 2016 Поделиться Опубликовано 6 апреля, 2016 отсутствие вестибулярной кости.Её может не было изначально. Ортодонтия спровоцировала. Тож за латеральный лоскут Ссылка на комментарий
dr.moskvichev Опубликовано 7 апреля, 2016 Поделиться Опубликовано 7 апреля, 2016 Закрыть рецессию классическим коронарно-смещенным лоскутом+сст. Преддверие углубить можно и позже при необходимости 1 Ссылка на комментарий
Доктор Добрых Дел Опубликовано 8 апреля, 2016 Поделиться Опубликовано 8 апреля, 2016 Что там не так с предверием то?? По-моему шикарное преддверие зачем его резать? Ссылка на комментарий
Рекомендуемые сообщения
Для публикации сообщений создайте учётную запись или авторизуйтесь
Вы должны быть пользователем, чтобы оставить комментарий
Создать аккаунт
Зарегистрируйте новый аккаунт в нашем сообществе. Это очень просто!
Регистрация нового пользователяВойти
Уже есть аккаунт? Войти в систему.
Войти