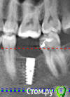
Елена83 Опубликовано 31 марта, 2016 Поделиться Опубликовано 31 марта, 2016 Здравствуйте!Мне устанавливают имплант на нижнюю 6ку. Сняли слепки для изготовления коронки, доктор сказал, что верхний зуб будет подпиливать. Только теперь начинаю беспокоиться, что это значит??Этот зуб нужно будет депульпировать? Нельзя ли нижнюю коронку изготовить более низкой, а верхний зуб оставить в прежнем выдвинутом состоянии?? Ссылка на комментарий
___49___ Опубликовано 31 марта, 2016 Поделиться Опубликовано 31 марта, 2016 (изменено) Депульпировать ...зачем ? не вижу в этом смысла. А чтобы ответить на ваш последний вопрос более полно - боюсь одиночного дентального снимка будет мало . Изменено 31 марта, 2016 пользователем ___49___ Ссылка на комментарий
red_butler Опубликовано 31 марта, 2016 Поделиться Опубликовано 31 марта, 2016 Все эти вопросы стоит задать своему врачу 1 Ссылка на комментарий
anvladd Опубликовано 31 марта, 2016 Поделиться Опубликовано 31 марта, 2016 Здравствуйте!Мне устанавливают имплант на нижнюю 6ку. Сняли слепки для изготовления коронки, доктор сказал, что верхний зуб будет подпиливать. Только теперь начинаю беспокоиться, что это значит??Этот зуб нужно будет депульпировать? Нельзя ли нижнюю коронку изготовить более низкой, а верхний зуб оставить в прежнем выдвинутом состоянии??а не пломба ли на верхнем зубе? Тогда вообще не парьтесь. Ссылка на комментарий
Рекомендуемые сообщения
Для публикации сообщений создайте учётную запись или авторизуйтесь
Вы должны быть пользователем, чтобы оставить комментарий
Создать аккаунт
Зарегистрируйте новый аккаунт в нашем сообществе. Это очень просто!
Регистрация нового пользователяВойти
Уже есть аккаунт? Войти в систему.
Войти