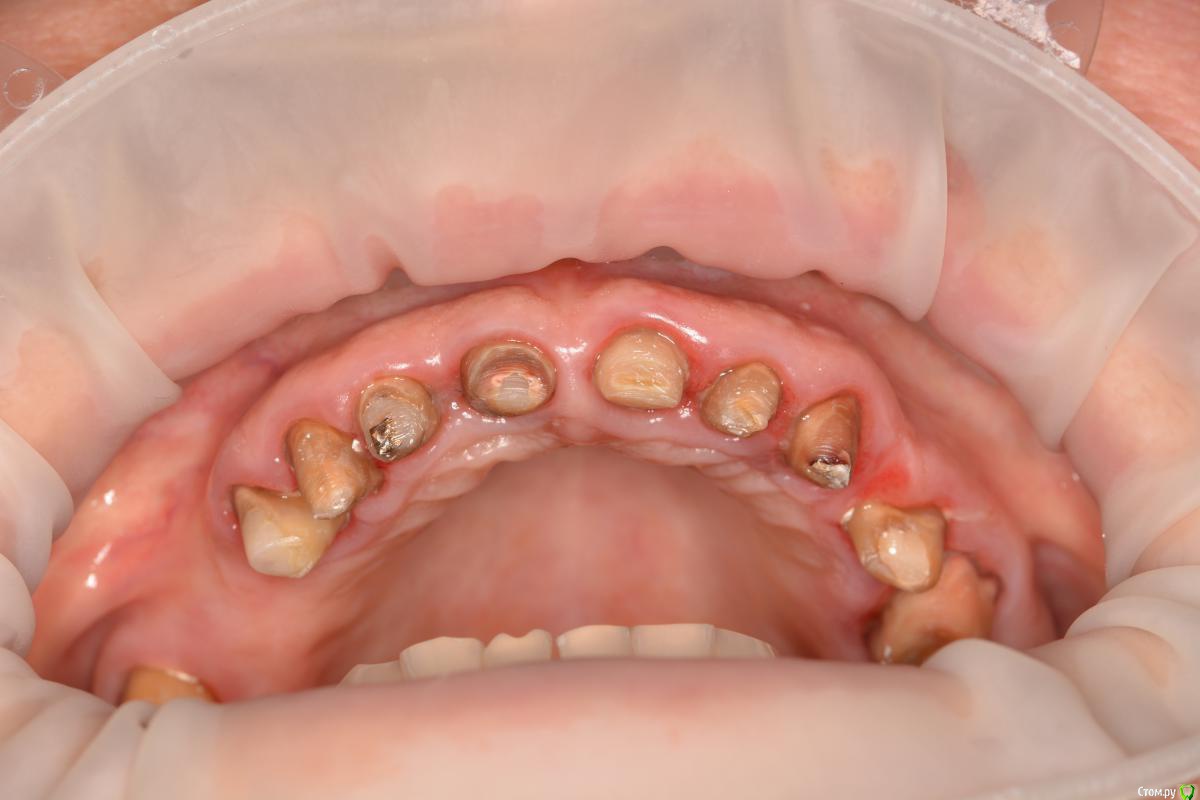
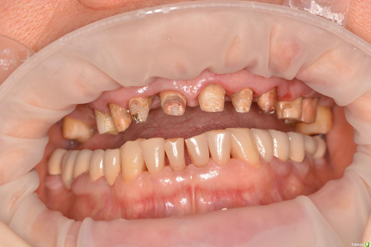
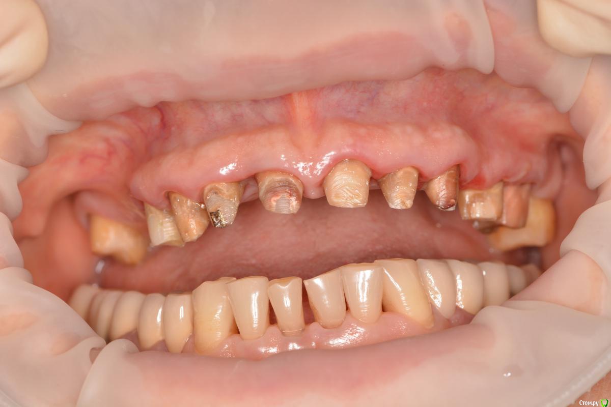
Alexandr1984 Опубликовано 29 марта, 2016 Поделиться Опубликовано 29 марта, 2016 Коллеги, что можно здесь сделать? Речь о верхней челюсти.Пациент родственник. Хотелось бы добиться наилучшей эстетики, особенно во фронте. Ранее стоял металлокерамический мост (подкова). более 15 лет. Можно ли протезировать одиночками?Мысль такая: зубы были шинированы мостом, возможно связочный аппарат частично атрофировался. Не появится ли подвижность при протезировании одиночными коронками? В 1-м сегменте планируется имплантация с синусом. Применим ли имакс к этим зубам? если да, то как фиксировать под десной по адгезивному протоколу? И что делать с темным цветом культей? заранее спасибо) Ссылка на комментарий
Военный Врач Опубликовано 29 марта, 2016 Поделиться Опубликовано 29 марта, 2016 десна хорошая,толстая, многое простит. Адгезивного протокола тут как-бэ не получится. начинать стандартно- слепки-воск-ключ-времяхи-синус-имплантациия и далее по тексту Ссылка на комментарий
Freelancer1981 Опубликовано 29 марта, 2016 Поделиться Опубликовано 29 марта, 2016 (изменено) Снимки нужны,орпеделение цс,вакспа,мокап,зубы,что были под коронками придется восстанавливать,т.к.видно что перепреп,вкладки или адгезивно на стекловолокне.Можно разбить работу,сделать верх мокап длительного ношения и заняться низом,а потом перейти к верх.зубам.Тем более там планируется синус.Верхние коронки скорее всего фронт сделал бы циркон с облицовкой,если хотите эстетику. Изменено 29 марта, 2016 пользователем Freelancer1981 Ссылка на комментарий
art700 Опубликовано 29 марта, 2016 Поделиться Опубликовано 29 марта, 2016 десна хорошая,толстая, многое простит. Адгезивного протокола тут как-бэ не получится. начинать стандартно- слепки-воск-ключ-времяхи-синус-имплантациия и далее по текстуЯ бы удлинил еще хирургически 2 Ссылка на комментарий
art700 Опубликовано 29 марта, 2016 Поделиться Опубликовано 29 марта, 2016 И к чему тут адгезивно клеить? Эмали то нет Ссылка на комментарий
Alexandr1984 Опубликовано 29 марта, 2016 Автор Поделиться Опубликовано 29 марта, 2016 десна хорошая,толстая, многое простит. Адгезивного протокола тут как-бэ не получится. начинать стандартно- слепки-воск-ключ-времяхи-синус-имплантациия и далее по текстуа по поводу одиночек? стоит или мостом шинировать? я так понимаю циркон наиболее актуален будет! Ссылка на комментарий
Alexandr1984 Опубликовано 29 марта, 2016 Автор Поделиться Опубликовано 29 марта, 2016 Снимки нужны,орпеделение цс,вакспа,мокап,зубы,что были под коронками придется восстанавливать,т.к.видно что перепреп,вкладки или адгезивно на стекловолокне.Можно разбить работу,сделать верх мокап длительного ношения и заняться низом,а потом перейти к верх.зубам.Тем более там планируется синус.Верхние коронки скорее всего фронт сделал бы циркон с облицовкой,если хотите эстетику.если не восстанавливать культи, чем чревато? ведь при таком препе для техника будет много места играть с керамикой) Ссылка на комментарий
Alexandr1984 Опубликовано 29 марта, 2016 Автор Поделиться Опубликовано 29 марта, 2016 Я бы удлинил еще хирургическидля чего? не совсем понимаю) Ссылка на комментарий
Alexandr1984 Опубликовано 29 марта, 2016 Автор Поделиться Опубликовано 29 марта, 2016 Коллеги, и что бы вы сделали с провалом десны между 11 и 12 зубами? там глубокий карман, который после протезирования будет давать визуальный дефект! Ссылка на комментарий
art700 Опубликовано 29 марта, 2016 Поделиться Опубликовано 29 марта, 2016 для чего? не совсем понимаю)Преп поддесневой. С биошириной знакомы? Ссылка на комментарий
DoctorT Опубликовано 29 марта, 2016 Поделиться Опубликовано 29 марта, 2016 почикать десенку на предмет удлинения, на времяхах сосочки вырастить и далее по плану) Ссылка на комментарий
Карен Аванесов Опубликовано 29 марта, 2016 Поделиться Опубликовано 29 марта, 2016 На эти зубы все что хочешь пойдет, только их сначала подготовить надо, как, коллеги уже написали. Конечно одиночки! Темный дентин техник опаком "перебьет", если пресс делать. Ссылка на комментарий
chervoncevdaniil Опубликовано 30 марта, 2016 Поделиться Опубликовано 30 марта, 2016 На эти зубы все что хочешь пойдет, только их сначала подготовить надо, как, коллеги уже написали. Конечно одиночки! Темный дентин техник опаком "перебьет", если пресс делать.Коллеги,по вашему мнению когда все таки имеет смысл шинировать?У меня в клинике есть доктор,который очень любит с клыка по клык единой конструкцией сделать,мотивируя это тем,что у люжей старшего возраста может быть подвижность.Как вы считаете?У меня отдаленных результатов нет,но мне тоже нравится одиночки(эстетичнее,ремонтопригоднее,проще добиться пассивной посадки) Ссылка на комментарий
Freelancer1981 Опубликовано 30 марта, 2016 Поделиться Опубликовано 30 марта, 2016 Коллеги,по вашему мнению когда все таки имеет смысл шинировать?У меня в клинике есть доктор,который очень любит с клыка по клык единой конструкцией сделать,мотивируя это тем,что у люжей старшего возраста может быть подвижность.Как вы считаете?У меня отдаленных результатов нет,но мне тоже нравится одиночки(эстетичнее,ремонтопригоднее,проще добиться пассивной посадну и пусть шинирует дальше))для всего свои показания,для этого есть определенные методики,с которыми мы все знакомы.одиночки естесс-но лучше Ссылка на комментарий
Freelancer1981 Опубликовано 30 марта, 2016 Поделиться Опубликовано 30 марта, 2016 (изменено) если не восстанавливать культи, чем чревато? ведь при таком препе для техника будет много места играть с керамикой)если вы собираетесь делать поправильному,восстанавливать(судя по фото),длину вам нужно как минимум в 2 раза от исходной высоты культей плюс вы же еще уступы будете делать,соответственно культя будет истончаться,зубы депульпированы...чем все может закончится,знаете?))ко мне иногда приходят такие пациенты с работами в руках,сделанные где то в др.месте с остатками зубов в коронках Изменено 30 марта, 2016 пользователем Freelancer1981 Ссылка на комментарий
chervoncevdaniil Опубликовано 30 марта, 2016 Поделиться Опубликовано 30 марта, 2016 ну и пусть шинирует дальше))для всего свои показания,для этого есть определенные методики,с которыми мы все знакомы.одиночки естесс-но лучшеКогда по вашему мнению показано шинирование и о каких методиках речь? Ссылка на комментарий
Freelancer1981 Опубликовано 30 марта, 2016 Поделиться Опубликовано 30 марта, 2016 Когда по вашему мнению показано шинирование и о каких методиках речь?Рентген,визуальный осмотр,кт если надо. Ссылка на комментарий
Карен Аванесов Опубликовано 30 марта, 2016 Поделиться Опубликовано 30 марта, 2016 Если с удлинением перестараться, то тогда лучше вязать, особенно вверх. Ссылка на комментарий
Alexandr1984 Опубликовано 30 марта, 2016 Автор Поделиться Опубликовано 30 марта, 2016 Если с удлинением перестараться, то тогда лучше вязать, особенно вверх.ни как в толк не возьму - разве высоты культей не достаточно? с какой целью удлинение нужно? если правильно понимаю для открытия уступов под пресс керамику. Ссылка на комментарий
Карен Аванесов Опубликовано 30 марта, 2016 Поделиться Опубликовано 30 марта, 2016 С такой местами конусностью и низкой высотой культей, плюс подсыревшим местами дентином, и передавленным местами подковой пародонтом, с надежной фиксацией единичек и здоровьем пародонта будут проблемы. Все делается в комплексе. и еще как вы пресс с коффером то при такой ситуации будете фиксировать? Ссылка на комментарий
Карен Аванесов Опубликовано 30 марта, 2016 Поделиться Опубликовано 30 марта, 2016 Эта работа для вас будет интересной, в плане опыта, если конечно опять подкову не сделаете. Планируйте все четко и работайте. Ссылка на комментарий
Rumyanceff Опубликовано 30 марта, 2016 Поделиться Опубликовано 30 марта, 2016 (изменено) А возможно ли вообще зафиксировать пресс адгезивно к резарциненным зубам Изменено 30 марта, 2016 пользователем Rumyanceff Ссылка на комментарий
Alexandr1984 Опубликовано 30 марта, 2016 Автор Поделиться Опубликовано 30 марта, 2016 С такой местами конусностью и низкой высотой культей, плюс подсыревшим местами дентином, и передавленным местами подковой пародонтом, с надежной фиксацией единичек и здоровьем пародонта будут проблемы. Все делается в комплексе. и еще как вы пресс с коффером то при такой ситуации будете фиксировать?да, нереально! буду с нашим хирургом обсуждать. как вы считаете, альтернативой может быть протезирование цирконом под десну? (если с удлинением не срастется) Ссылка на комментарий
Карен Аванесов Опубликовано 30 марта, 2016 Поделиться Опубликовано 30 марта, 2016 В тупик ваш вопрос ставит, а как оттиски снять, как зафиксировать нормально при таком раскладе, для этого и нужна пародонтальная хирургия, облегчает она работу. Ссылка на комментарий
Карен Аванесов Опубликовано 30 марта, 2016 Поделиться Опубликовано 30 марта, 2016 Можно. Ссылка на комментарий
Рекомендуемые сообщения
Для публикации сообщений создайте учётную запись или авторизуйтесь
Вы должны быть пользователем, чтобы оставить комментарий
Создать аккаунт
Зарегистрируйте новый аккаунт в нашем сообществе. Это очень просто!
Регистрация нового пользователяВойти
Уже есть аккаунт? Войти в систему.
Войти