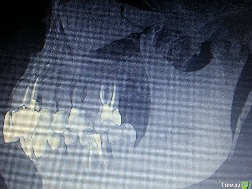
Вадим Анат Опубликовано 29 марта, 2016 Поделиться Опубликовано 29 марта, 2016 Здравствуйте.Стоматолог в областной стоматологической клинике 26 марта провела мне эндодонтическое лечение зуба 3.5. Сегодня перед тем как поставить постоянную пломбу сделали снимок. Врач посмотрела сказала, что всё хорошо. Я спросила, нормально ли то, что канал не запломбирован до верхушки корня. Она ответила, что не всегда рентген отображает реальную ситуацию. Стоматолог сходила к заведующей на консультацию и заведующая ответила, что всё нормально можно оставить так. Поставили постоянную пломбу.Посмотрите снимок действительно ли всё нормально?И ещё, когда она лечила канал, начала проталкивать гуттаперчу, говорила, что там ступенька и корень уходит дальше вбок и начала дальше проталкивать гуттаперчу. Зуб не болит Ссылка на комментарий
red_butler Опубликовано 29 марта, 2016 Поделиться Опубликовано 29 марта, 2016 Снимок плохого качества.Основным при эндодонтическом лечении является не пломбирование корневых каналов, а полноценная механическая и медикаментозная обработка корневых каналов в условиях изоляции коффердамом. Корневой канал может открываться не только на верхушке корня, и в этом случае на снимках будет выглядеть что пломбирование выполнено не до конца. Сделайте контрольный снимок через полгода. И бегом к пародонтологу. Ссылка на комментарий
Вадим Анат Опубликовано 29 марта, 2016 Автор Поделиться Опубликовано 29 марта, 2016 Лечение проводилось без коффердама. На ваш взгляд там не больше 2мм до верхушки корня.К пародонтологу я бегаю с завидной регулярностью. Лечение проводилось начиная от уколов антибиотиков и витаминов в десну( 2002-2004 гг.), иссечением уздечки, вектор, антибиотики, чистки. Вот так добегалась до лоскутной операции на обе челюсти. Ещё в 2008 г. по результатам диагностики Florida Proub глубина карманов была более 6 мм, но мне упорно продолжали делать чистки, антибиотики, вектор. Это я сейчас знаю, что при такой глубине карманов уже требовалось хирургическое вмешательство.Диагноз- генерализованный хронический пародонтит. Резорбция костной ткани межзубных перегородок 1/2 высоты корня зуба. На сегодняшний день пародонтолог мне кость не нарастит. Успешно проведённая лоскутная операция остановит дальнейшую резорбцию и то не факт. Я была на консультации у хирурга имплантолога по поводу проблемного зуба 1.5. зуб витальный, но глубина кармана с одной стороны 12 мм. (т.е лечить его или удалять и ставить имлант) он посмотрел КТ, ОПТГ отправил к терапевту(удалять или нет на его усмотрение) и пародонтологу. И ничего не сказал про то, что мне необходимо делать лоскутную операцию. Замкнутый круг. В четверг иду на вектор и к нему на повторную консультацию. И ещё можно вопрос - действительно ли при горизонтальной резорбции невозможно нарастить кость при помощи мембран или ещё чего-нибудь?Моё заболевание на стыке специализаций, но к сожалению комплексного подхода в его лечении я не вижу. Ссылка на комментарий
red_butler Опубликовано 29 марта, 2016 Поделиться Опубликовано 29 марта, 2016 На ваш взгляд там не больше 2мм до верхушки корня.Я этого не говорил, по Вашему снимку судить об этом не могу И ещё можно вопрос - действительно ли при горизонтальной резорбции невозможно нарастить кость при помощи мембран или ещё чего-нибудь?покажите ОПГ Ссылка на комментарий
Вадим Анат Опубликовано 29 марта, 2016 Автор Поделиться Опубликовано 29 марта, 2016 Я этого не говорил, по Вашему снимку судить об этом не могу покажите ОПГ Ссылка на комментарий
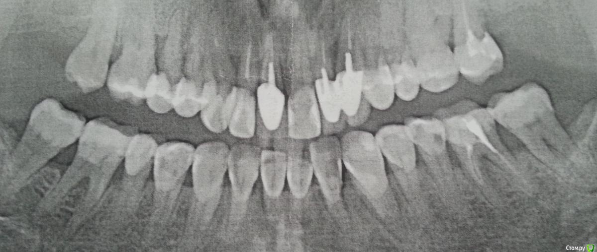
Вадим Анат Опубликовано 29 марта, 2016 Автор Поделиться Опубликовано 29 марта, 2016 Вот. Ссылка на комментарий
red_butler Опубликовано 29 марта, 2016 Поделиться Опубликовано 29 марта, 2016 Вот.по этому снимку все не так уж плохо, поддерживающая терапия продлит жизнь зубов. Но как раньше уже не будет. Что с прикусом?Да, кстати что у вас с полом, или шифруетесь? Я была Ссылка на комментарий
Вадим Анат Опубликовано 29 марта, 2016 Автор Поделиться Опубликовано 29 марта, 2016 по этому снимку все не так уж плохо, поддерживающая терапия продлит жизнь зубов. Но как раньше уже не будет. Что с прикусом?Да, кстати что у вас с полом, или шифруетесь? Нет не шифруюсь. Муж регистрировался задавал вопрос, думал, что у него перимплантит. Он год назад полностью на две челюсти импланты установил. Ну я просто с его аккаунта. С прикусом не знаю нормально это или нет. Верхняя заходит на нижнюю. А Вы, как считаете стоит ли мне делать лоскутную операцию на обе челюсти без возможности нарастить костную ткань? У меня все зубы отреставрированы. А после лоскутной операции, десна поднимется, корни обнажаться надо будет полностью заново реставрировать весь рот. Я даже не представляю сколько мне этот проект по стоимости встанет. Или делать каждые три месяца вектор и поэтапно (по мере необходимости) ставить импланты. Мне кажется это даже бюджетней получиться и надёжней. Как Вы считаете? Ссылка на комментарий
Рекомендуемые сообщения
Для публикации сообщений создайте учётную запись или авторизуйтесь
Вы должны быть пользователем, чтобы оставить комментарий
Создать аккаунт
Зарегистрируйте новый аккаунт в нашем сообществе. Это очень просто!
Регистрация нового пользователяВойти
Уже есть аккаунт? Войти в систему.
Войти