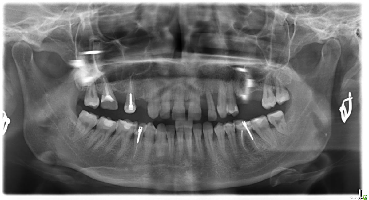
Dorin Опубликовано 28 марта, 2016 Поделиться Опубликовано 28 марта, 2016 Добрый день! Посмотрите, пожалуйста, снимок! Что возможно сделать в моей ситуации (интересует левая сторона)? С правой, вроде бы, хирурга ничего не смутило: ставить имплант + коронки, там, где это необходимо. А вот слева...я наивно полагала, что возможно просто удалить травмированный зуб и поставить на его место имплант, оказалось, что все гораздо печальнее...Доктор предлагает удалить слева 3 зуба и поставить конструкцию из 4-х имплантов и 1 коронки + синус-лифтинг, при условии, что ортопеды возьмутся спасать передний резец. На ваш взгляд, возможно ли в этой ситуации какое-то другое решение проблемы?Заранее благодарю за ответ! Ссылка на комментарий
Bier Опубликовано 29 марта, 2016 Поделиться Опубликовано 29 марта, 2016 можно поставить меньше имплантатов и обойтись без синуслифтинга, но зубы надо удалять, Док прав. Ссылка на комментарий
Dorin Опубликовано 29 марта, 2016 Автор Поделиться Опубликовано 29 марта, 2016 можно поставить меньше имплантатов и обойтись без синуслифтинга, но зубы надо удалять, Док прав.Спасибо! Ну, я за 2 дня психологически с этим почти смирилась Если не делать синус-лифтинг, куда вкручивать импланты, учитывая, что там совсем беда с костью? Ссылка на комментарий
Bier Опубликовано 30 марта, 2016 Поделиться Опубликовано 30 марта, 2016 синуслифтинг - это не просто наращивание кости, это поднятие пазухи, пазуха у вас низко только в области 6го зуба, можно туда имплантат не ставить, сделать подвесной зубик.Но я бы сделал синуслифтинг. Ссылка на комментарий
Dorin Опубликовано 30 марта, 2016 Автор Поделиться Опубликовано 30 марта, 2016 (изменено) синуслифтинг - это не просто наращивание кости, это поднятие пазухи, пазуха у вас низко только в области 6го зуба, можно туда имплантат не ставить, сделать подвесной зубик.Но я бы сделал синуслифтинг.Спасибо за ответ!И еще: все-таки, на ваш взляд, тот вариант, что рекомендовал мой хирург является предпочтительным, т.е. 4 импланта+1 коронка? И еще один вопрос : собственно, сейчас проживаю в подмосковном городе, в котором 2 нормальные стоматологические клиники. В первой (на косультации у хирурга была в ней) работают с имплантами superline, во второй (туда на консультацию пока только записалась) работают с semados, стоит ли делать выбор, исходя из этого? В Москву мотаться, теоретически, возможно, но практически - сложно (т.к. работа, дети и т.д.) Изменено 30 марта, 2016 пользователем Dorin Ссылка на комментарий
red_butler Опубликовано 31 марта, 2016 Поделиться Опубликовано 31 марта, 2016 И еще: все-таки, на ваш взляд, тот вариант, что рекомендовал мой хирург является предпочтительным, т.е. 4 импланта+1 коронка? Можно и тремя обойтись. В первой (на косультации у хирурга была в ней) работают с имплантами superline, во второй (туда на консультацию пока только записалась) работают с semados, стоит ли делать выбор, исходя из этого? Нет, искать стоит врача.Покажите фото зубов с десной, и фото улыбки. Ссылка на комментарий
Dorin Опубликовано 12 апреля, 2016 Автор Поделиться Опубликовано 12 апреля, 2016 Можно и тремя обойтись.Нет, искать стоит врача.Покажите фото зубов с десной, и фото улыбки.Спасибо за ответ! Как-то не сразу увидела... Фотографировать уже нечего - зубы удалили. Теперь у меня возникли вопросы касательно ортопедии ) Ссылка на комментарий
Рекомендуемые сообщения
Для публикации сообщений создайте учётную запись или авторизуйтесь
Вы должны быть пользователем, чтобы оставить комментарий
Создать аккаунт
Зарегистрируйте новый аккаунт в нашем сообществе. Это очень просто!
Регистрация нового пользователяВойти
Уже есть аккаунт? Войти в систему.
Войти