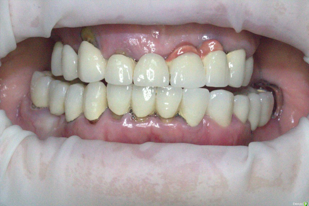
kemak Опубликовано 27 марта, 2016 Поделиться Опубликовано 27 марта, 2016 Добрый вечер коллеги, хочу поделится с вами работой. Пациент с другого города, после осмотра было принято снять старую конструкцию пролечить зубы, некоторые пошли под удаление, спланировали протезы с телескопической фиксацией. пациентка уехала довольная, за три дня привыкла к ним уже. 5 Ссылка на комментарий
Карен Аванесов Опубликовано 27 марта, 2016 Поделиться Опубликовано 27 марта, 2016 Фото подготовленных култышек под первичные коронки есть? и по объединению коронок вопрос, зачем? Ссылка на комментарий
chervoncevdaniil Опубликовано 27 марта, 2016 Поделиться Опубликовано 27 марта, 2016 Гальвано колпачки в протезе?очень сложная работа,мне нравится Ссылка на комментарий
Карен Аванесов Опубликовано 27 марта, 2016 Поделиться Опубликовано 27 марта, 2016 Это очень сложные работы, без нормального техника не сделать. Ссылка на комментарий
Доктор Дмитрий Опубликовано 27 марта, 2016 Поделиться Опубликовано 27 марта, 2016 Красиво и сложно. А во вторичке фрикционные штифты есть? Ссылка на комментарий
Сева северный Опубликовано 27 марта, 2016 Поделиться Опубликовано 27 марта, 2016 Первичные телескопы фиксировали сразу? Ссылка на комментарий
kemak Опубликовано 28 марта, 2016 Автор Поделиться Опубликовано 28 марта, 2016 Первичные телескопы фиксировали сразу?Фиксировал вместе с протезами, сначала изготовили первичные колпачки, затем с ними получили оттиск, изготовили вторичные золотые колпачки, изготовили дугу, вклеили вторичные, потом примерка, далее вазелин во вторичные коронки, туда первичные и фиксируем на цемент. Ссылка на комментарий
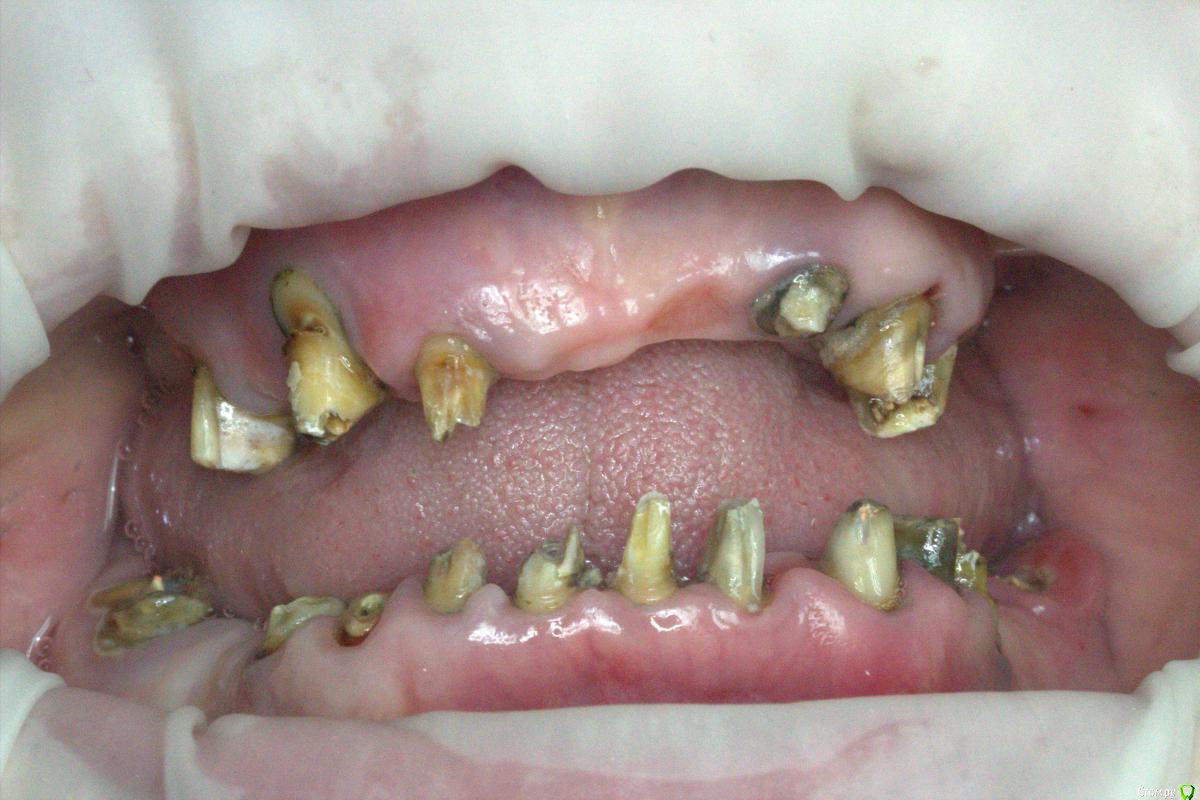
kemak Опубликовано 28 марта, 2016 Автор Поделиться Опубликовано 28 марта, 2016 Фото подготовленных култышек под первичные коронки есть? и по объединению коронок вопрос, зачем? Фото подготовленных култышек под первичные коронки есть? и по объединению коронок вопрос, зачем?Посмотрю фотографии. Слишком маленькие зубы,еще и рядом стоят, расстояния мало, тяжело было бы отлить и смоделировать, слишком мало места, да и забыв она одеть его на пару дней, зубы могли бы разъехаться. Ссылка на комментарий
kemak Опубликовано 28 марта, 2016 Автор Поделиться Опубликовано 28 марта, 2016 Красиво и сложно. А во вторичке фрикционные штифты есть?нету, зачем они в этой работе. Ссылка на комментарий
kemak Опубликовано 28 марта, 2016 Автор Поделиться Опубликовано 28 марта, 2016 Гальвано колпачки в протезе?очень сложная работа,мне нравитсяСпасибо, нет, в протезе тоже отлитые колпачки, но толщиной практически 0,1. другая моя работа, вот так вот выглядит протез, этой работы к сожалению нету фото протезов. Ссылка на комментарий
Сева северный Опубликовано 28 марта, 2016 Поделиться Опубликовано 28 марта, 2016 Про фиксацию..спросил в свете одной схожей работы. которую по стечению обстоятельств делали около2-х месяцев, кстати все первичные телескопы, хоть и стояли рядом,были раздельными. Так вот там был небольшой недосад.. Видимо зубы разошлись.....Для себя я тогда отметил, что следующий раз я дам походить какое то время, с еще не зафиксированными первичками. Ссылка на комментарий
art700 Опубликовано 28 марта, 2016 Поделиться Опубликовано 28 марта, 2016 Преп бы посмотреть под колпаки. Ссылка на комментарий
kemak Опубликовано 28 марта, 2016 Автор Поделиться Опубликовано 28 марта, 2016 Преп бы посмотреть под колпаки.там культевые вкладки везде, от зубов практически ничего не осталось после лечения. Ссылка на комментарий
Modern Doctor Опубликовано 28 марта, 2016 Поделиться Опубликовано 28 марта, 2016 Хорошая работа! Тоже люблю телескопы! И смотрятся протезы очень гармонично! 1 Ссылка на комментарий
Рекомендуемые сообщения
Для публикации сообщений создайте учётную запись или авторизуйтесь
Вы должны быть пользователем, чтобы оставить комментарий
Создать аккаунт
Зарегистрируйте новый аккаунт в нашем сообществе. Это очень просто!
Регистрация нового пользователяВойти
Уже есть аккаунт? Войти в систему.
Войти