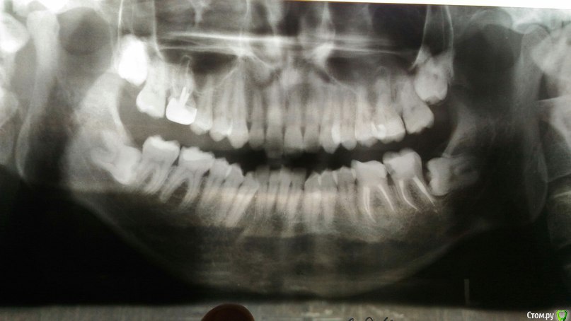
Дмитрий1990 Опубликовано 25 марта, 2016 Поделиться Опубликовано 25 марта, 2016 Здравствуйте! Сегодня нашел шишку у себя на десне над верхним зубом, сходил к врачу... она сказала что дело плохо, зуб надо удалять... отправила к другому врачу, что бы решил как лучше его удалить, но к нему я пойду только завтра. Там как я понял у меня загноились три корня и так просто его не удалишь могут быть последствия. Подскажите что лучше сделать и какие могут быть последствия. Благодарю! Ссылка на комментарий
Ker Опубликовано 25 марта, 2016 Поделиться Опубликовано 25 марта, 2016 Подскажите что лучше сделать и какие могут быть последствия. Благодарю!Лечить. Последствием может стать вылеченный зуб, либо всё-же удаление.Нужен хороший доктор. 3 Ссылка на комментарий
Дмитрий1990 Опубликовано 25 марта, 2016 Автор Поделиться Опубликовано 25 марта, 2016 Лечить. Последствием может стать вылеченный зуб, либо всё-же удаление.Нужен хороший доктор.Врач так уверенно говорила что вылечить его уже нельзя. Хотя зуб снаружи целый и боли ни какой нет, только если нажать на шишку. Ссылка на комментарий
red_butler Опубликовано 25 марта, 2016 Поделиться Опубликовано 25 марта, 2016 Врач так уверенно говорила что вылечить его уже нельзя. Хотя зуб снаружи целый и боли ни какой нет, только если нажать на шишку.Зуб лечить, врача сменить. 5 Ссылка на комментарий
anvladd Опубликовано 25 марта, 2016 Поделиться Опубликовано 25 марта, 2016 Скорее всего лечить она его не хотела 2 Ссылка на комментарий
Bier Опубликовано 26 марта, 2016 Поделиться Опубликовано 26 марта, 2016 К хорошему эндодонтисту нужно. 1 Ссылка на комментарий
___49___ Опубликовано 26 марта, 2016 Поделиться Опубликовано 26 марта, 2016 И 8ки удалите . Ссылка на комментарий
Рекомендуемые сообщения
Для публикации сообщений создайте учётную запись или авторизуйтесь
Вы должны быть пользователем, чтобы оставить комментарий
Создать аккаунт
Зарегистрируйте новый аккаунт в нашем сообществе. Это очень просто!
Регистрация нового пользователяВойти
Уже есть аккаунт? Войти в систему.
Войти