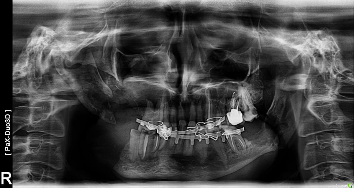
venedy2 Опубликовано 23 марта, 2016 Поделиться Опубликовано 23 марта, 2016 Добрый день, надеюсь поможете советом.В ноябре 2009 году был поставлен диагноз - недефференцированный рак носоглотки справа T4N1M0. прошел 8 курсов химиотерапии в НИИ им.Герцена (таксотер+доксирубицин+цисплатит) и 65 грей облучения( 45-шея и 65-носоглотка), операцию по удалению лимфоузлов врачи решили не проводить.Лечение завершено 16.07.2010.После облучения рот стал открываться хуже, но не критично,челюсть сместилась вправо. 12 октября 2010 появились боли в челюсти справа-оказалось зуб мудрости начал лезть и толкать остальные зубы, была проведена операция по его удалению (вскрывали десну, выпиливали зуб, 7 дней антибиотики, 14 дней стационара).В начале ноября 2011 я зевнул и сломал челюсть (в месте удаления зуба мудрости и соответственно месте облучения), в челюстно-лицевой хирургии по месту жительства(г.Тула) сказали -"ничего делать не будем,не ешь, не пей, не говори - срастется когда нибудь". Не успокоившись на этом ответе я поехал в Герцена, сделали рентген - перелом есть, онкологии нет,и направили в Стоматологический комплекс на Вутетича 9а (г.Москва). Но так как в очередной раз я ухитрился подхватить сильнейший гайморит, то обращении туда пришлось отложить до 2012г.Сейчас я прошел контрольное обследование в Герцена(18.01.2012), все в порядке, признаков опухоли, метастаз, некроза нет (только перелом который чуть сместился и отсутствие признаков консолидации), меня перевели на режим обследования раз в полгода и вновь дали направление в Стоматологический комплекс (мотивируя тем, что их специалисты присутствуют на операциях в Герцена). Попал сегодня на консультацию профессора удалено администратором и доцента удалено администратором которые первым делом спросили почемы вы пришли именно к нам,вторым назвали диски с записью рентгена и КТ "фантиками,что ты нам их показываешь", а затем отказали в какой либо операции мотивируя это тем, что при вмешательстве сразу же начнется некроз тканей или же вернется опухоль, и что необходимо удалять половину челюсти с заменой на имплантант (хотя в герцена хирург говорил лишь о пластине в месте перелома), в консультативном заключении написано:Диагноз: патологический перелом н.челюсти справаРекомендации:Больной проконсультирован проф. удалено администратором. Учитывая воспалительный инфильтрат и ранее проведенной лечение (курс лучевой и ПХТ) не(зачеркнуто) представляется возможным(зачеркнуто) нецелесообразным.Rg-снимки выданы на руки.В итоге взялись за мени в НМХЦ им. Пирогова. Перенес около 6 операций с 2012 по 2014 гг. (ставили титановую пластину- нагноилась убрали - снова ставили - снова убрали - закрыли деффект мышечным лоскутом с шеи).Постоянно свищ с выделением. В июне 2015г. вытащили осколок кости, все заросло. Был конечно лица дефект заметен - но есть можно, говорить нормально, ходил в спортзал, набрал вес. В декабре 2015 начал болеть зуб мудрости слева - пришлось удалять его и 7ку там же + 5,6 зубы на верхней челюсти справа(сильно разрушены были). Итог - на месте удаления в нижней челюсти начался остеомиелит, в феврале под общим наркозом чистка, во время операции челюсть сломалась. Месяц в шинах - сращения обломков нет. Хожу пока так. Прикрепляю ОПГ.Вопросы следующие :1. Куда можно обратиться с подобной проблематикой в России?2.Что вы скажете про эндопротезирование никелидом титана?3.Какие есть вообще варианты? Ссылка на комментарий
venedy2 Опубликовано 27 марта, 2016 Автор Поделиться Опубликовано 27 марта, 2016 Вчера место перелома начало болеть, сделал КТ челюсти. Ссылка на комментарий
Рекомендуемые сообщения
Для публикации сообщений создайте учётную запись или авторизуйтесь
Вы должны быть пользователем, чтобы оставить комментарий
Создать аккаунт
Зарегистрируйте новый аккаунт в нашем сообществе. Это очень просто!
Регистрация нового пользователяВойти
Уже есть аккаунт? Войти в систему.
Войти