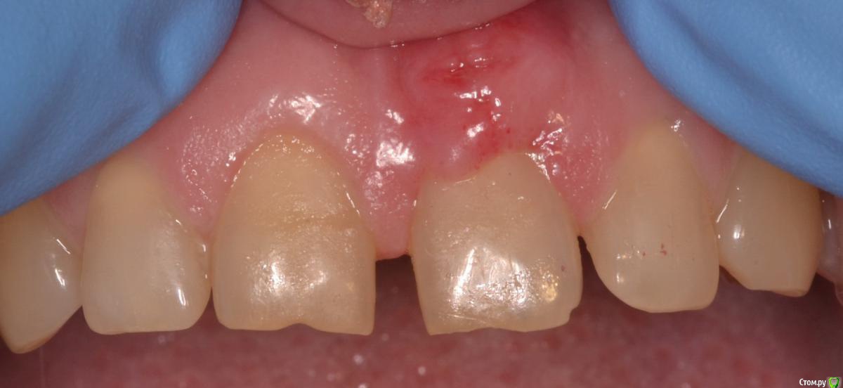
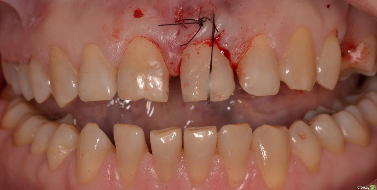
Военный Врач Опубликовано 23 марта, 2016 Поделиться Опубликовано 23 марта, 2016 расстояние между фото 9 суток 5 Ссылка на комментарий
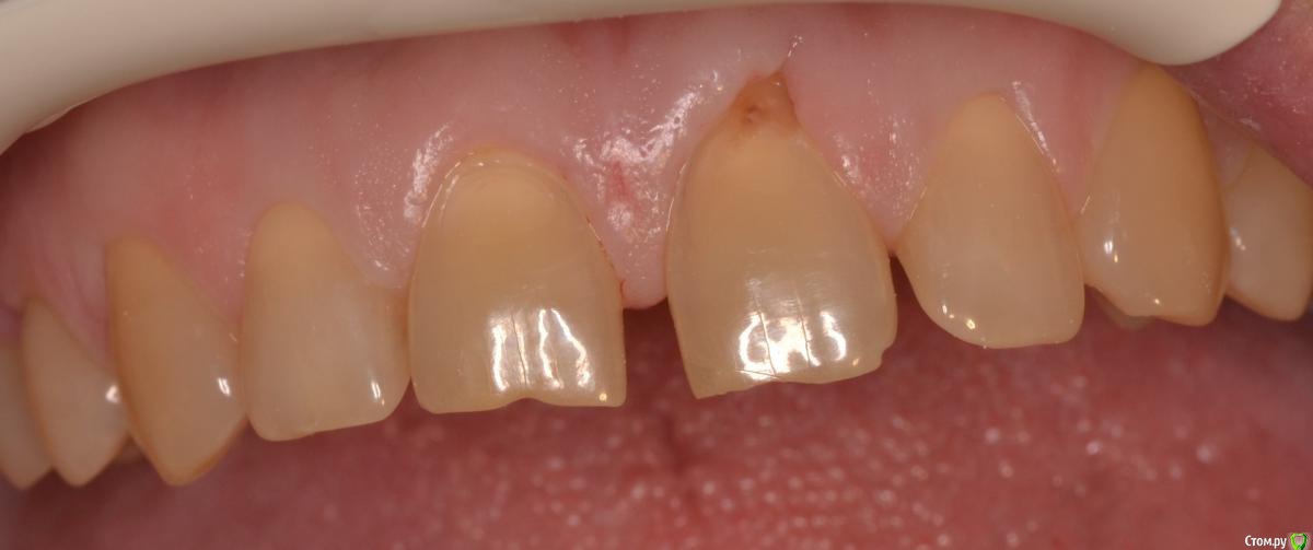
Evikrol Опубликовано 23 марта, 2016 Поделиться Опубликовано 23 марта, 2016 Какой протокол обработки корня, там не кариес? 1 Ссылка на комментарий
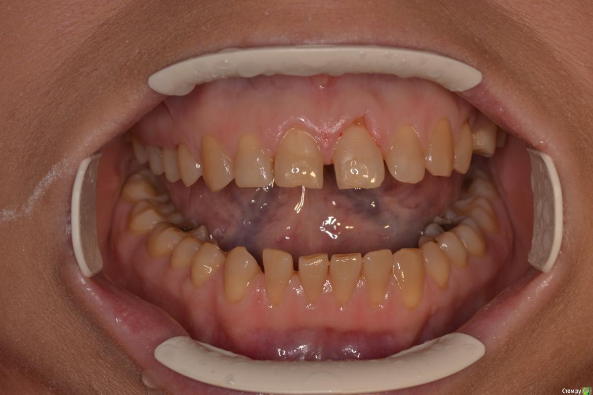
Карен Аванесов Опубликовано 23 марта, 2016 Поделиться Опубликовано 23 марта, 2016 Хорошо заживает, АБ назначал? Ссылка на комментарий
Военный Врач Опубликовано 25 марта, 2016 Автор Поделиться Опубликовано 25 марта, 2016 Хорошо заживает, АБ назначал?нет... Ссылка на комментарий
Военный Врач Опубликовано 25 марта, 2016 Автор Поделиться Опубликовано 25 марта, 2016 Какой протокол обработки корня, там не кариес?корень скейлинг. кариес если и был- то убран. хлоргекс, как обычно. Ссылка на комментарий
Рекомендуемые сообщения
Для публикации сообщений создайте учётную запись или авторизуйтесь
Вы должны быть пользователем, чтобы оставить комментарий
Создать аккаунт
Зарегистрируйте новый аккаунт в нашем сообществе. Это очень просто!
Регистрация нового пользователяВойти
Уже есть аккаунт? Войти в систему.
Войти