МарияМирабелла Опубликовано 22 марта, 2016 Поделиться Опубликовано 22 марта, 2016 http://s018.radikal.ru/i509/1603/a6/a14d27558d01.jpg Доброго вечера, уважаемые консультанты. Хотела бы у вас спросить: сыну 10 лет. Подскажите, пожалуйста нужна ли нам консультация ортодонта или у него всё в порядке с прикусом?Заранее благодаою за ответ. Досвидания. Ссылка на комментарий
ЕленаВалерьевна Опубликовано 23 марта, 2016 Поделиться Опубликовано 23 марта, 2016 (изменено) скорее всего Вы неверно сфотографировали, но даже так видно, что есть изменения. на консультацию сходите, лишним не будет. Изменено 23 марта, 2016 пользователем ЕленаВалерьевна 3 1 Ссылка на комментарий
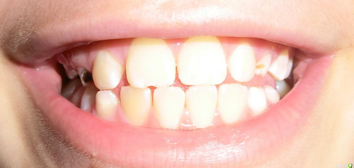
red_butler Опубликовано 24 марта, 2016 Поделиться Опубликовано 24 марта, 2016 скорее всего Вы неверно сфотографировали, но даже так видно, что есть изменения. на консультацию сходите, лишним не будет.не понял за что автор темы дислайк поставила. Подскажите, пожалуйста нужна ли нам консультация ортодонта или у него всё в порядке с прикусом? Имелось в виду что зубы на фото должны быть сомкнутыми - http://forum.stom.ru/topic/4655-patcientam/ Ссылка на комментарий
МарияМирабелла Опубликовано 24 марта, 2016 Автор Поделиться Опубликовано 24 марта, 2016 не понял за что автор темы дислайк поставила. Простите, где дислайк я поставила??? Ссылка на комментарий
МарияМирабелла Опубликовано 24 марта, 2016 Автор Поделиться Опубликовано 24 марта, 2016 http://s020.radikal.ru/i713/1603/bf/96626a29a04b.jpg Ссылка на комментарий
Brigita Опубликовано 24 марта, 2016 Поделиться Опубликовано 24 марта, 2016 консультация нужна. Но Вам нужны и остальные данные, почитайте по ссылке. Ссылка на комментарий
red_butler Опубликовано 24 марта, 2016 Поделиться Опубликовано 24 марта, 2016 Простите, где дислайк я поставила???Я ошибся Ссылка на комментарий
Рекомендуемые сообщения
Для публикации сообщений создайте учётную запись или авторизуйтесь
Вы должны быть пользователем, чтобы оставить комментарий
Создать аккаунт
Зарегистрируйте новый аккаунт в нашем сообществе. Это очень просто!
Регистрация нового пользователяВойти
Уже есть аккаунт? Войти в систему.
Войти