INDEX Опубликовано 22 марта, 2016 Поделиться Опубликовано 22 марта, 2016 Здравствуйте.Прошу вашего совета.Пломба стояла 18 лет на 1 резце слева вверху,не причиняла неудобств. В июле 2015 переделала новую пломбу,и после сразу начались проблемы.Постоянно чувствую ,что между зубами что застряло,,чищу зубы,пользуюсь ирригатором, ничего не проходит. При повторном приеме врач осмотрела,ничего не нашла,потом решила,что возможно у меня поддесневой камень,проводила какие то манипуляции по его удалению.Поддесневых камней вроде у меня нет, проблему врач не устранила,только дырочка между зубами с внутренней стала намного больше, струя воздуха через дырочку между зубов сильная,иногда стала восполяться десна. Сделала рентген-все в норме,другой врач сказал,что имеются карманы.начинающийся парадонтоз из за зтого все проблемы.Но другие соседние зубы не беспокоят..В настоящее время .спустя 8 месяцев,в процесс вовлечена десна,сохраняется дискомфорт, стала беспокоить десна ,чувство небольшого жжения,особенно после приема пищи и это чувство жжения сохраняется не проходит,присутствует постоянно.Дискомфорт ощущается в месте соединения зуба с десной с внутренней стороны,где ранее бала поставлена новая пломба.С другими зубами проблем нет.Боюсь потерять зуб,стоит менять пломбу. Снимок от 7.12.2015 г. Ссылка на комментарий
red_butler Опубликовано 22 марта, 2016 Поделиться Опубликовано 22 марта, 2016 Снимки не информативны Ссылка на комментарий
INDEX Опубликовано 22 марта, 2016 Автор Поделиться Опубликовано 22 марта, 2016 Здравствуйте.Плохое качество снимка или что то другое.Подсажите ,что сделать,для того ,чтобы можно было просмотреть снимок. Ссылка на комментарий
red_butler Опубликовано 22 марта, 2016 Поделиться Опубликовано 22 марта, 2016 Снимок плохого качества Ссылка на комментарий
INDEX Опубликовано 22 марта, 2016 Автор Поделиться Опубликовано 22 марта, 2016 Спасибо за ответ,переделаю снимок и вышлю новый. Ссылка на комментарий
red_butler Опубликовано 22 марта, 2016 Поделиться Опубликовано 22 марта, 2016 Спасибо за ответ,переделаю снимок и вышлю новый.Делайте снимок на визиографе, что бы зубы были сняты с коронковыми частями. И выкладывайте Rg и фото Ссылка на комментарий
INDEX Опубликовано 22 марта, 2016 Автор Поделиться Опубликовано 22 марта, 2016 Благодарю за разъяснения. Ссылка на комментарий
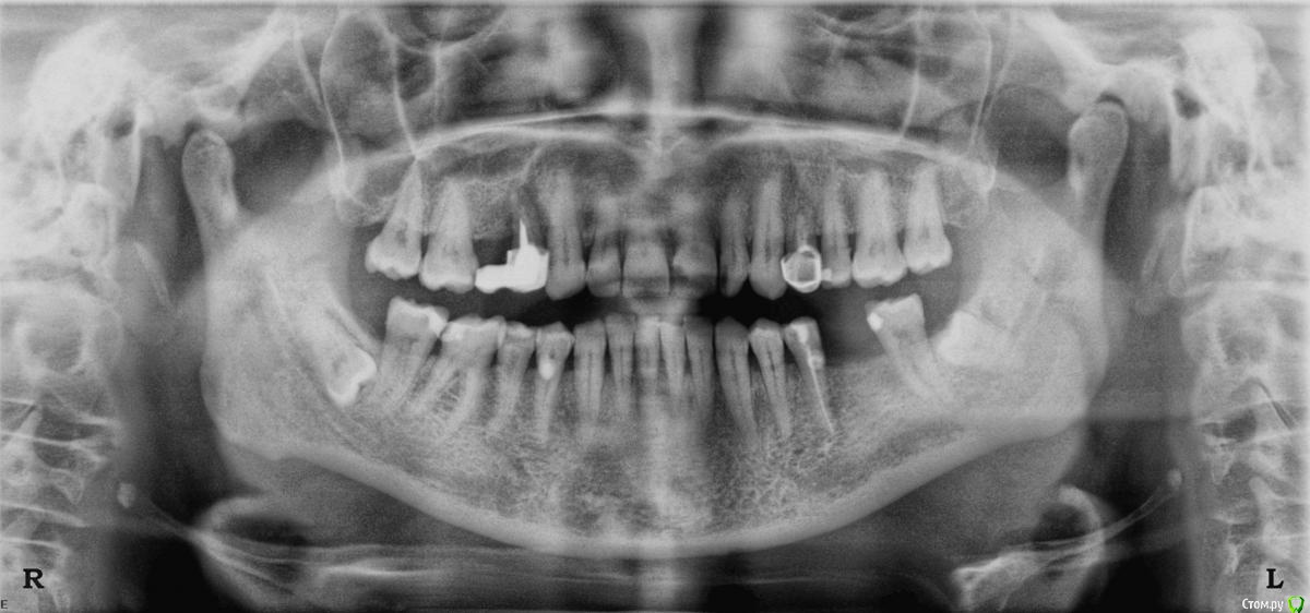
INDEX Опубликовано 31 марта, 2016 Автор Поделиться Опубликовано 31 марта, 2016 Добрый день.Для того ,что бы сделать снимок нужно направление от врача,направили на панорамный снимок,т.к. визиографию не делают.Сказали,что у меня периодонтит ,значительное убывание костной ткани.Посмотрите,какие зубы нуждаются в перелечивании,т.к многие пломбы стоят долгое время. Ссылка на комментарий
Рекомендуемые сообщения
Для публикации сообщений создайте учётную запись или авторизуйтесь
Вы должны быть пользователем, чтобы оставить комментарий
Создать аккаунт
Зарегистрируйте новый аккаунт в нашем сообществе. Это очень просто!
Регистрация нового пользователяВойти
Уже есть аккаунт? Войти в систему.
Войти