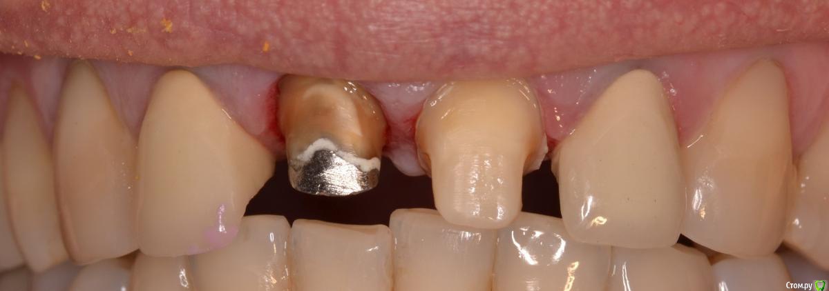
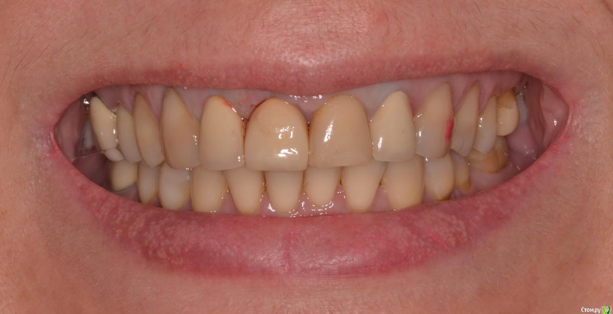
Военный Врач Опубликовано 22 марта, 2016 Поделиться Опубликовано 22 марта, 2016 сдал сегодня. сложно было согласовать форму зубов- хотелось "выпукло- плоские" 5 Ссылка на комментарий
art700 Опубликовано 22 марта, 2016 Поделиться Опубликовано 22 марта, 2016 Вкладка не ваша? Фит печальный. Ссылка на комментарий
Военный Врач Опубликовано 22 марта, 2016 Автор Поделиться Опубликовано 22 марта, 2016 Вкладка не ваша? Фит печальный.не моя, ага Ссылка на комментарий
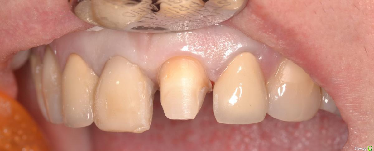
Карен Аванесов Опубликовано 22 марта, 2016 Поделиться Опубликовано 22 марта, 2016 Нормально получилось, хотя наверно кто то раскритикует. По такой проекции фото сложно судить о "плоско-выпуклости", фиксация безопасная была, через резиночку? Сосков не видно, есть фото еще? Ссылка на комментарий
skeettrap Опубликовано 22 марта, 2016 Поделиться Опубликовано 22 марта, 2016 Каким фотоаппаратом пользуетесь? Ссылка на комментарий
Военный Врач Опубликовано 23 марта, 2016 Автор Поделиться Опубликовано 23 марта, 2016 Каким фотоаппаратом пользуетесь?nikon 3100+tamron 90+ JY670 Ссылка на комментарий
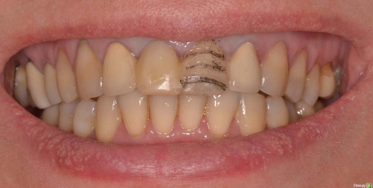
Военный Врач Опубликовано 23 марта, 2016 Автор Поделиться Опубликовано 23 марта, 2016 Нормально получилось, хотя наверно кто то раскритикует. По такой проекции фото сложно судить о "плоско-выпуклости", фиксация безопасная была, через резиночку? Сосков не видно, есть фото еще?переубедил. фиксация была с кофердаммом. фото сразу после фиксации. Ссылка на комментарий
zubovolok Опубликовано 23 марта, 2016 Поделиться Опубликовано 23 марта, 2016 сдал сегодня. сложно было согласовать форму зубов- хотелось "выпукло- плоские"почему решили лкв из 1.1 не извлекать? Ссылка на комментарий
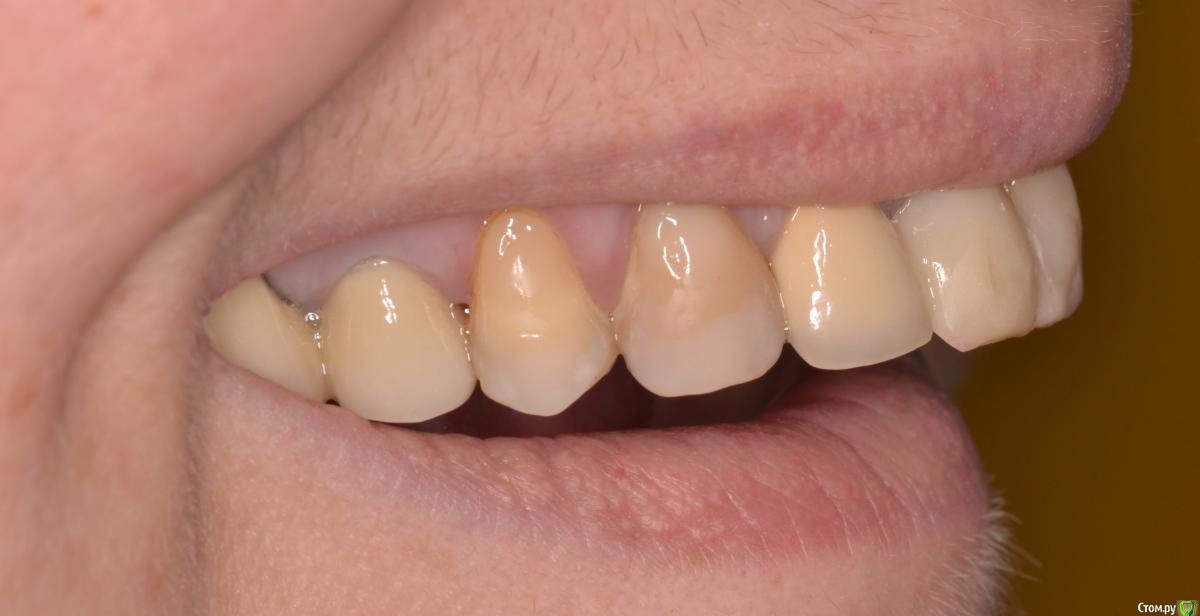
Карен Аванесов Опубликовано 23 марта, 2016 Поделиться Опубликовано 23 марта, 2016 То что всегда, потом что то найдешь, типа лучше можно было сделать,это нормальное явление, а так, это же не тотал где все зубы будут одинаковые, в такой печворк всегда сложно вписать работу. 1 Ссылка на комментарий
Военный Врач Опубликовано 24 марта, 2016 Автор Поделиться Опубликовано 24 марта, 2016 почему решили лкв из 1.1 не извлекать?какой в этом смысл? что бы это изменило? Ссылка на комментарий
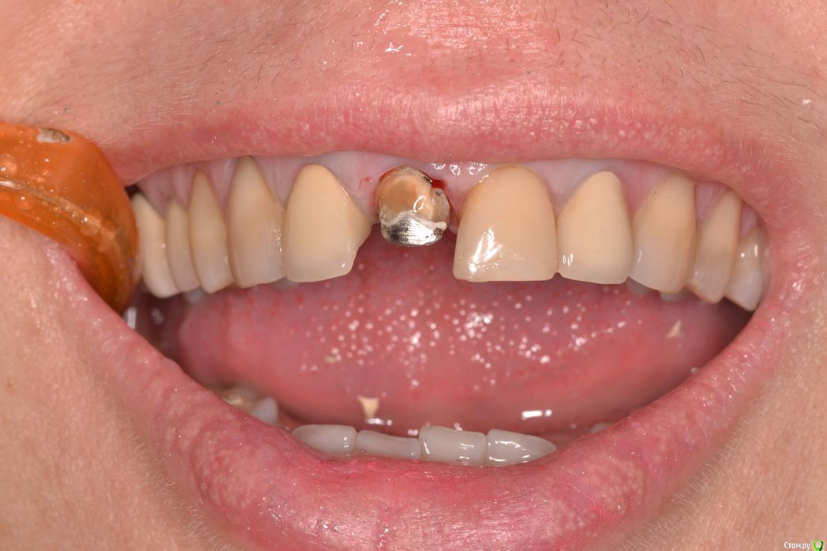
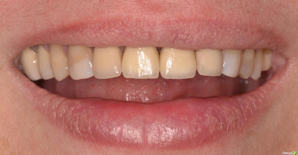
32норма Опубликовано 24 марта, 2016 Поделиться Опубликовано 24 марта, 2016 У меня опыта еще мало, но я бы этот острый краешек убралhttp://s019.radikal.ru/i618/1603/ca/614f2c7c7d80.jpg Ссылка на комментарий
Rumyanceff Опубликовано 29 марта, 2016 Поделиться Опубликовано 29 марта, 2016 (изменено) Это опаковый имакс? Иначе вкв бы светилась Изменено 29 марта, 2016 пользователем Rumyanceff Ссылка на комментарий
Freelancer1981 Опубликовано 30 марта, 2016 Поделиться Опубликовано 30 марта, 2016 У меня опыта еще мало, но я бы этот острый краешек убралhttp://s019.radikal.ru/i618/1603/ca/614f2c7c7d80.jpg+1 Ссылка на комментарий
Freelancer1981 Опубликовано 30 марта, 2016 Поделиться Опубликовано 30 марта, 2016 (изменено) Это опаковый имакс? Иначе вкв бы светиласьтаблетка HО я так думаю Изменено 30 марта, 2016 пользователем Freelancer1981 Ссылка на комментарий
Рекомендуемые сообщения
Для публикации сообщений создайте учётную запись или авторизуйтесь
Вы должны быть пользователем, чтобы оставить комментарий
Создать аккаунт
Зарегистрируйте новый аккаунт в нашем сообществе. Это очень просто!
Регистрация нового пользователяВойти
Уже есть аккаунт? Войти в систему.
Войти